Rabbit anti-Human pan CDH Polyclonal Antibody | anti-pan CDH antibody
pan CDH Antibody
Gene Names
CDH23; USH1D; CDHR23
Reactivity
Human
Applications
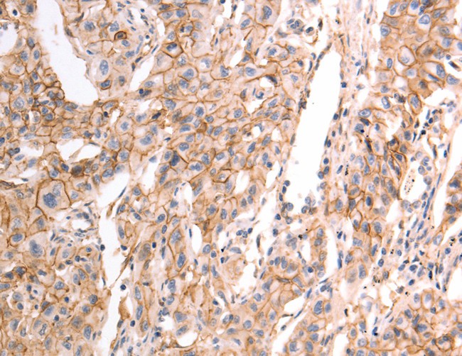
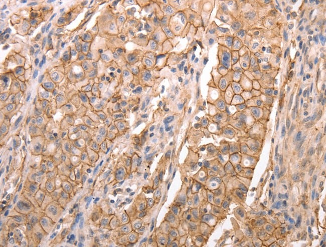
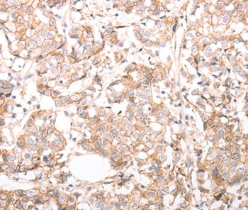
Immunohistochemistry
Purity
Antigen affinity purification.
Synonyms
pan CDH, Antibody; pan CDH Antibody; KIAA1774; KIAA1812; anti-pan CDH antibody
Host
Rabbit
Reactivity
Human
Clonality
Polyclonal
Specificity
The antibody detects endogenous levels of total pan CDH protein.
Purity/Purification
Antigen affinity purification.
Form/Format
Rabbit IgG in pH7.3 PBS, 0.05% NaN3, 50% Glycerol.
Concentration
0.6 mg/ml (varies by lot)
Sequence Length
1381
Applicable Applications for anti-pan CDH antibody
IHC (Immunohistochemistry)
Immunogen Type
Peptide
Immunogen Description
Synthetic peptide corresponding to residues near the C terminal of human pan-cadherin
Target Name
pan CDH
Preparation and Storage
Store at -20 degree C
Related Product Information for anti-pan CDH antibody
This gene is a classical cadherin from the cadherin superfamily. The encoded protein is a calcium dependent cell-cell adhesion glycoprotein comprised of five extracellular cadherin repeats, a transmembrane region and a highly conserved cytoplasmic tail. Mutations in this gene are correlated with gastric, breast, colorectal, thyroid and ovarian cancer. Loss of function is thought to contribute to progression in cancer by increasing proliferation, invasion, and/or metastasis. The ectodomain of this protein mediates bacterial adhesion to mammalian cells and the cytoplasmic domain is required for internalization. Identified transcript variants arise from mutation at consensus splice sites.
Product Categories/Family for anti-pan CDH antibody
NCBI and Uniprot Product Information
NCBI GI #
NCBI GeneID
NCBI Accession #
NCBI GenBank Nucleotide #
UniProt Accession #
Molecular Weight
23,900 Da
NCBI Official Full Name
cadherin-23 isoform 3
NCBI Official Synonym Full Names
cadherin-related 23
NCBI Official Symbol
CDH23
NCBI Official Synonym Symbols
USH1D; CDHR23
NCBI Protein Information
cadherin-23
UniProt Protein Name
Cadherin-23
UniProt Gene Name
CDH23
UniProt Synonym Gene Names
KIAA1774; KIAA1812
UniProt Entry Name
CAD23_HUMAN
Customer Reviews
Loading reviews...
Share Your Experience
Similar Products
Product Notes
The pan CDH cdh23 (Catalog #AAA308248) is an Antibody produced from Rabbit and is intended for research purposes only. The product is available for immediate purchase. The pan CDH Antibody reacts with Human and may cross-react with other species as described in the data sheet. AAA Biotech's pan CDH can be used in a range of immunoassay formats including, but not limited to, IHC (Immunohistochemistry). Researchers should empirically determine the suitability of the pan CDH cdh23 for an application not listed in the data sheet. Researchers commonly develop new applications and it is an integral, important part of the investigative research process. It is sometimes possible for the material contained within the vial of "pan CDH, Polyclonal Antibody" to become dispersed throughout the inside of the vial, particularly around the seal of said vial, during shipment and storage. We always suggest centrifuging these vials to consolidate all of the liquid away from the lid and to the bottom of the vial prior to opening. Please be advised that certain products may require dry ice for shipping and that, if this is the case, an additional dry ice fee may also be required.Precautions
All products in the AAA Biotech catalog are strictly for research-use only, and are absolutely not suitable for use in any sort of medical, therapeutic, prophylactic, in-vivo, or diagnostic capacity. By purchasing a product from AAA Biotech, you are explicitly certifying that said products will be properly tested and used in line with industry standard. AAA Biotech and its authorized distribution partners reserve the right to refuse to fulfill any order if we have any indication that a purchaser may be intending to use a product outside of our accepted criteria.Disclaimer
Though we do strive to guarantee the information represented in this datasheet, AAA Biotech cannot be held responsible for any oversights or imprecisions. AAA Biotech reserves the right to adjust any aspect of this datasheet at any time and without notice. It is the responsibility of the customer to inform AAA Biotech of any product performance issues observed or experienced within 30 days of receipt of said product. To see additional details on this or any of our other policies, please see our Terms & Conditions page.Item has been added to Shopping Cart
If you are ready to order, navigate to Shopping Cart and get ready to checkout.
