PAX6 Polyclonal Antibody | anti-PAX6 antibody
Anti-PAX6 Antibody
IHC (Immunohistochemistry)
(Anti- PAX6 Picoband antibody, AAA46310, IHC(P)IHC(P): Human Pancreatic Cancer Tissue)
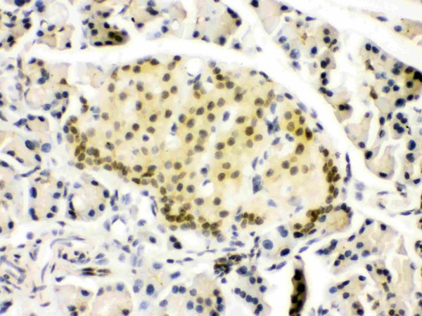
IHC (Immunohistochemisry)
(Anti- PAX6 Picoband antibody, AAA46310, IHC(P)IHC(P): Rat Pancreas Tissue)
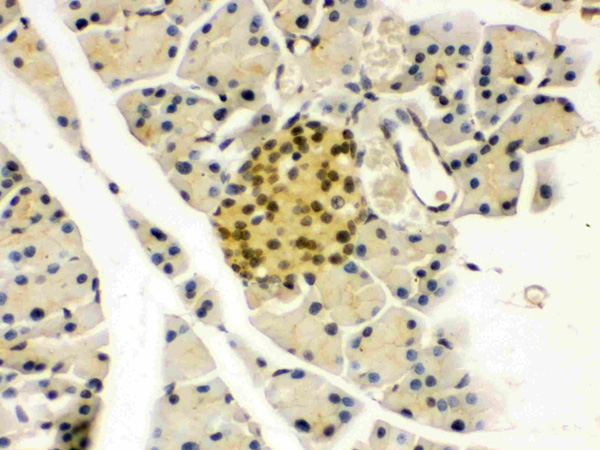
IHC (Immunohiostchemistry)
(Anti- PAX6 Picoband antibody, AAA46310, IHC(P)IHC(P): Mouse Pancreas Tissue)
WB (Western Blot)
(Anti- PAX6 Picoband antibody, AAA46310, Western blottingAll lanes: Anti PAX6 (AAA46310) at 0.5ug/mlLane 1: Rat Brain Tissue Lysate at 50ugLane 2: Mouse Brain Tissue Lysate at 50ugLane 3: U87 Whole Cell Lysate at 40ugLane 4: HELA Whole Cell Lysate at 40ugPredicted bind size: 47KDObserved bind size: 47KD)
Background: Paired box protein Pax-6, also known as aniridia type II protein (AN2) or oculorhombin, is a protein that in humans is encoded by the PAX6 gene. This gene encodes a homeobox and paired domain-containing protein that binds DNA and functions as a regulator of transcription. Activity of this protein is key in the development of neural tissues, particularly the eye. In addition, this gene is regulated by multiple enhancers located up to hundreds of kilobases distant from this locus. Mutations in this gene or in the enhancer regions can cause ocular disorders such as aniridia and Peter's anomaly. Use of alternate promoters and alternative splicing result in multiple transcript variants encoding different isoforms.
NCBI and Uniprot Product Information
Customer Reviews
Loading reviews...
Share Your Experience
Similar Products
Product Notes
The PAX6 pax6 (Catalog #AAA46310) is an Antibody and is intended for research purposes only. The product is available for immediate purchase. The Anti-PAX6 Antibody reacts with Human, Mouse, Rat and may cross-react with other species as described in the data sheet. AAA Biotech's PAX6 can be used in a range of immunoassay formats including, but not limited to, IHC (Immunohistochemistry), WB (Western Blot). Researchers should empirically determine the suitability of the PAX6 pax6 for an application not listed in the data sheet. Researchers commonly develop new applications and it is an integral, important part of the investigative research process. It is sometimes possible for the material contained within the vial of "PAX6, Polyclonal Antibody" to become dispersed throughout the inside of the vial, particularly around the seal of said vial, during shipment and storage. We always suggest centrifuging these vials to consolidate all of the liquid away from the lid and to the bottom of the vial prior to opening. Please be advised that certain products may require dry ice for shipping and that, if this is the case, an additional dry ice fee may also be required.Precautions
All products in the AAA Biotech catalog are strictly for research-use only, and are absolutely not suitable for use in any sort of medical, therapeutic, prophylactic, in-vivo, or diagnostic capacity. By purchasing a product from AAA Biotech, you are explicitly certifying that said products will be properly tested and used in line with industry standard. AAA Biotech and its authorized distribution partners reserve the right to refuse to fulfill any order if we have any indication that a purchaser may be intending to use a product outside of our accepted criteria.Disclaimer
Though we do strive to guarantee the information represented in this datasheet, AAA Biotech cannot be held responsible for any oversights or imprecisions. AAA Biotech reserves the right to adjust any aspect of this datasheet at any time and without notice. It is the responsibility of the customer to inform AAA Biotech of any product performance issues observed or experienced within 30 days of receipt of said product. To see additional details on this or any of our other policies, please see our Terms & Conditions page.Item has been added to Shopping Cart
If you are ready to order, navigate to Shopping Cart and get ready to checkout.
