Rabbit anti-Human, Rat PCK1 Polyclonal Antibody | anti-PCK1 antibody
PCK1 Polyclonal Antibody
Gene Names
Pck1; GTP; PCK; Pepck; PEPCK-C; RATPEPCK
Reactivity
Human, Rat
Applications
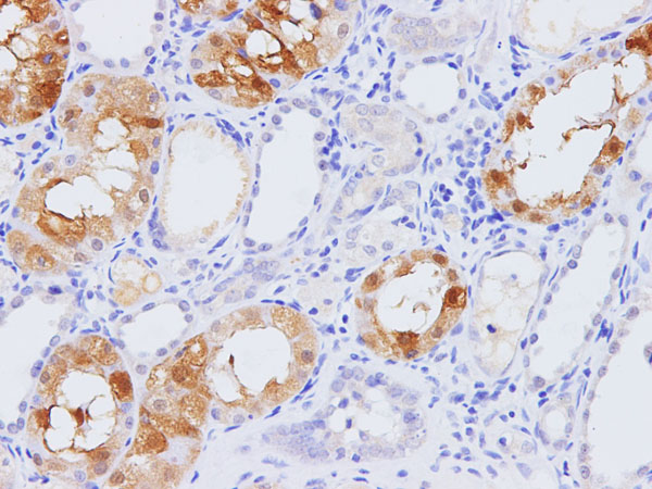
Immunohistochemistry
Purity
Antigen Affinity Purification
Synonyms
PCK1, Antibody; PCK1 Polyclonal Antibody; cytosolic [GTP]; GTP; PCK1; PCKGC; PEP carboxykinase; PEPCK-C; PEPCK1; PEPCKC; Phosphoenolpyruvate carboxykinase 1 (soluble); Phosphoenolpyruvate carboxykinase 1; Phosphoenolpyruvate carboxykinase; cytosolic; Phosphoenolpyruvate carboxylase; Phosphopyruvate carboxylase; anti-PCK1 antibody
Host
Rabbit
Reactivity
Human, Rat
Clonality
Polyclonal
Isotype
IgG
Purity/Purification
Antigen Affinity Purification
Form/Format
PBS with 0.05% Proclin300, 50% glycerol, pH7.3.
Concentration
1 mg/mL (varies by lot)
Sequence Length
622
Applicable Applications for anti-PCK1 antibody
IHC (Immunohistochemistry)
Immunogen
Recombinant Rat Phosphoenolpyruvate carboxykinase, cytosolic [GTP] protein
Conjugation
Unconjugated
Preparation and Storage
Store at -20 degree C. Avoid freeze/thaw cycles.
Related Product Information for anti-PCK1 antibody
This gene is a main control point for the regulation of gluconeogenesis. The cytosolic enzyme encoded by this gene, along with GTP, catalyzes the formation of phosphoenolpyruvate from oxaloacetate, with the release of carbon dioxide and GDP. The expression of this gene can be regulated by insulin, glucocorticoids, glucagon, cAMP, and diet. Defects in this gene are a cause of cytosolic phosphoenolpyruvate carboxykinase deficiency. A mitochondrial isozyme of the encoded protein also has been characterized.
Product Categories/Family for anti-PCK1 antibody
NCBI and Uniprot Product Information
NCBI GI #
NCBI GeneID
NCBI Accession #
NCBI GenBank Nucleotide #
UniProt Accession #
Molecular Weight
69,416 Da
NCBI Official Full Name
phosphoenolpyruvate carboxykinase, cytosolic
NCBI Official Synonym Full Names
phosphoenolpyruvate carboxykinase 1
NCBI Official Symbol
Pck1
NCBI Official Synonym Symbols
GTP; PCK; Pepck; PEPCK-C; RATPEPCK
NCBI Protein Information
phosphoenolpyruvate carboxykinase, cytosolic [GTP]
UniProt Protein Name
Phosphoenolpyruvate carboxykinase, cytosolic [GTP]
UniProt Gene Name
Pck1
UniProt Synonym Gene Names
PEPCK-C
Similar Products
Product Notes
The PCK1 pck1 (Catalog #AAA174069) is an Antibody produced from Rabbit and is intended for research purposes only. The product is available for immediate purchase. The PCK1 Polyclonal Antibody reacts with Human, Rat and may cross-react with other species as described in the data sheet. AAA Biotech's PCK1 can be used in a range of immunoassay formats including, but not limited to, IHC (Immunohistochemistry). Researchers should empirically determine the suitability of the PCK1 pck1 for an application not listed in the data sheet. Researchers commonly develop new applications and it is an integral, important part of the investigative research process. It is sometimes possible for the material contained within the vial of "PCK1, Polyclonal Antibody" to become dispersed throughout the inside of the vial, particularly around the seal of said vial, during shipment and storage. We always suggest centrifuging these vials to consolidate all of the liquid away from the lid and to the bottom of the vial prior to opening. Please be advised that certain products may require dry ice for shipping and that, if this is the case, an additional dry ice fee may also be required.Precautions
All products in the AAA Biotech catalog are strictly for research-use only, and are absolutely not suitable for use in any sort of medical, therapeutic, prophylactic, in-vivo, or diagnostic capacity. By purchasing a product from AAA Biotech, you are explicitly certifying that said products will be properly tested and used in line with industry standard. AAA Biotech and its authorized distribution partners reserve the right to refuse to fulfill any order if we have any indication that a purchaser may be intending to use a product outside of our accepted criteria.Disclaimer
Though we do strive to guarantee the information represented in this datasheet, AAA Biotech cannot be held responsible for any oversights or imprecisions. AAA Biotech reserves the right to adjust any aspect of this datasheet at any time and without notice. It is the responsibility of the customer to inform AAA Biotech of any product performance issues observed or experienced within 30 days of receipt of said product. To see additional details on this or any of our other policies, please see our Terms & Conditions page.Item has been added to Shopping Cart
If you are ready to order, navigate to Shopping Cart and get ready to checkout.
