Rabbit anti-Human, Rat PDE5A Polyclonal Antibody | anti-PDE5A antibody
Anti-PDE5A Antibody
By Heat: Boiling the paraffin sections in 10mM citrate buffer, pH6.0, for 20mins is required for the staining of formalin/paraffin sections.
Other applications have not been tested.
IHC (Immunohiostchemistry)
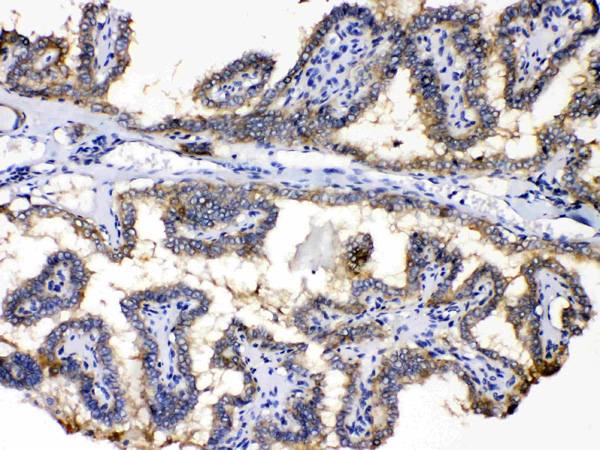
(PDE5A was detected in paraffin-embedded sections of human thyroid cancer tissues using rabbit anti- PDE5A Antigen Affinity purified polyclonal antibody at 1ug/mL. The immunohistochemical section was developed using SABC method.)
WB (Western Blot)
(Western blot analysis of PDE5A expression in rat lung extract (lane 1) and PANC-1 whole cell lysates(lane 2). PDE5A at 100KD was detected using rabbit anti- PDE5A Antigen Affinity purified polyclonal antibody at 0.5ug/mL. The blot was developed using chemiluminescence (ECL) method.)
Background: cGMP-specific phosphodiesterase type 5 is an enzyme from the phosphodiesterase class. It is found in various tissues, most prominently the corpus cavernosum and the retina. It has also been recently discovered to play a vital role in the cardiovascular system. Furthermore, PDE5A also plays a role in signal transduction by regulating the intracellular concentration of cyclic nucleotides. This PDE5A gene is mapped to 4q26.
2. Lin, C.-S., Chow, S., Lau, A., Tu, R., Lue, T. F. Human PDE5A gene encodes three PDE5 isoforms from two alternate promoters.Int. J. Impotence Res. 14: 15-24, 2002.
3. Loughney, K., Hill, T. R., Florio, V. A., Uher, L., Rosman, G. J., Wolda, S. L., Jones, B. A., Howard, M. L., McAllister-Lucas, L. M., Sonnenburg, W. K., Francis, S. H., Corbin, J. D., Beavo, J. A., Ferguson, K. Isolation and characterization of cDNAs encodingPDE5A, a human cGMP-binding, cGMP-specific 3-prime, 5-prime-cyclic nucleotide phosphodiesterase. Gene 216: 139-147, 1998.
NCBI and Uniprot Product Information
Customer Reviews
Loading reviews...
Share Your Experience
Similar Products
Product Notes
The PDE5A pde5a (Catalog #AAA46741) is an Antibody produced from Rabbit and is intended for research purposes only. The product is available for immediate purchase. The Anti-PDE5A Antibody reacts with Human, Rat and may cross-react with other species as described in the data sheet. AAA Biotech's PDE5A can be used in a range of immunoassay formats including, but not limited to, IHC (Immunohistochemistry), WB (Western Blot). Researchers should empirically determine the suitability of the PDE5A pde5a for an application not listed in the data sheet. Researchers commonly develop new applications and it is an integral, important part of the investigative research process. It is sometimes possible for the material contained within the vial of "PDE5A, Polyclonal Antibody" to become dispersed throughout the inside of the vial, particularly around the seal of said vial, during shipment and storage. We always suggest centrifuging these vials to consolidate all of the liquid away from the lid and to the bottom of the vial prior to opening. Please be advised that certain products may require dry ice for shipping and that, if this is the case, an additional dry ice fee may also be required.Precautions
All products in the AAA Biotech catalog are strictly for research-use only, and are absolutely not suitable for use in any sort of medical, therapeutic, prophylactic, in-vivo, or diagnostic capacity. By purchasing a product from AAA Biotech, you are explicitly certifying that said products will be properly tested and used in line with industry standard. AAA Biotech and its authorized distribution partners reserve the right to refuse to fulfill any order if we have any indication that a purchaser may be intending to use a product outside of our accepted criteria.Disclaimer
Though we do strive to guarantee the information represented in this datasheet, AAA Biotech cannot be held responsible for any oversights or imprecisions. AAA Biotech reserves the right to adjust any aspect of this datasheet at any time and without notice. It is the responsibility of the customer to inform AAA Biotech of any product performance issues observed or experienced within 30 days of receipt of said product. To see additional details on this or any of our other policies, please see our Terms & Conditions page.Item has been added to Shopping Cart
If you are ready to order, navigate to Shopping Cart and get ready to checkout.
