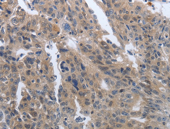
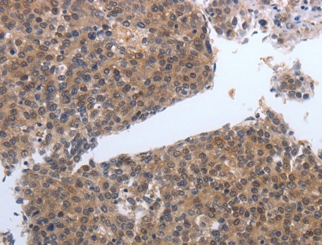
Rabbit PDGFB Polyclonal Antibody | anti-PDGFB antibody
PDGFB Polyclonal Antibody
Gene Names
PDGFB; SIS; SSV; IBGC5; PDGF2; c-sis; PDGF-2
Reactivity
Human, Mouse, Rat
Applications
Immunohistochemistry, ELISA
Purity
Antigen affinity purification
Synonyms
PDGFB, Antibody; PDGFB Polyclonal Antibody; SIS, SSV, PDGF2, c-sis; anti-PDGFB antibody
Host
Rabbit
Reactivity
Human, Mouse, Rat
Clonality
Polyclonal
Isotype
IgG
Purity/Purification
Antigen affinity purification
Concentration
1.4mg/mL (varies by lot)
Sequence Length
241
Applicable Applications for anti-PDGFB antibody
IHC (Immunohistochemistry), ELISA
Immunogen
Synthetic peptide of human PDGFB
Buffer
PBS with 0.05% sodium azide, 50% glycerol, pH7.3
Preparation and Storage
Store at -20 degree C (regular) and -80 degree C (long term). Avoid freeze / thaw cycles.
Related Product Information for anti-PDGFB antibody
The protein encoded by this gene is a member of the platelet-derived growth factor family. The four members of this family are mitogenic factors for cells of mesenchymal origin and are characterized by a motif of eight cysteines. This gene product can exist either as a homodimer (PDGF-BB) or as a heterodimer with the platelet-derived growth factor alpha polypeptide (PDGF-AB), where the dimers are connected by disulfide bonds. Mutations in this gene are associated with meningioma. Reciprocal translocations between chromosomes 22 and 7, at sites where this gene and that for COL1A1 are located, are associated with a particular type of skin tumor called dermatofibrosarcoma protuberans resulting from unregulated expression of growth factor. Two alternatively spliced transcript variants encoding different isoforms have been identified for this gene.
Product Categories/Family for anti-PDGFB antibody
NCBI and Uniprot Product Information
NCBI GI #
NCBI GeneID
Molecular Weight
25,502 Da
NCBI Official Full Name
PDGFB
NCBI Official Synonym Full Names
platelet-derived growth factor beta polypeptide
NCBI Official Symbol
PDGFB
NCBI Official Synonym Symbols
SIS; SSV; IBGC5; PDGF2; c-sis; PDGF-2
NCBI Protein Information
platelet-derived growth factor subunit B; PDGF subunit B; PDGF, B chain; becaplermin; platelet-derived growth factor 2; platelet-derived growth factor B chain; platelet-derived growth factor beta polypeptide (simian sarcoma viral (v-sis) oncogene homolog); platelet-derived growth factor, beta polypeptide (oncogene SIS); proto-oncogene c-Sis
UniProt Protein Name
Platelet-derived growth factor subunit B
UniProt Gene Name
PDGFB
UniProt Synonym Gene Names
PDGF2; SIS; PDGF subunit B
UniProt Entry Name
PDGFB_HUMAN
Similar Products
Product Notes
The PDGFB pdgfb (Catalog #AAA168050) is an Antibody produced from Rabbit and is intended for research purposes only. The product is available for immediate purchase. The PDGFB Polyclonal Antibody reacts with Human, Mouse, Rat and may cross-react with other species as described in the data sheet. AAA Biotech's PDGFB can be used in a range of immunoassay formats including, but not limited to, IHC (Immunohistochemistry), ELISA. Researchers should empirically determine the suitability of the PDGFB pdgfb for an application not listed in the data sheet. Researchers commonly develop new applications and it is an integral, important part of the investigative research process. It is sometimes possible for the material contained within the vial of "PDGFB, Polyclonal Antibody" to become dispersed throughout the inside of the vial, particularly around the seal of said vial, during shipment and storage. We always suggest centrifuging these vials to consolidate all of the liquid away from the lid and to the bottom of the vial prior to opening. Please be advised that certain products may require dry ice for shipping and that, if this is the case, an additional dry ice fee may also be required.Precautions
All products in the AAA Biotech catalog are strictly for research-use only, and are absolutely not suitable for use in any sort of medical, therapeutic, prophylactic, in-vivo, or diagnostic capacity. By purchasing a product from AAA Biotech, you are explicitly certifying that said products will be properly tested and used in line with industry standard. AAA Biotech and its authorized distribution partners reserve the right to refuse to fulfill any order if we have any indication that a purchaser may be intending to use a product outside of our accepted criteria.Disclaimer
Though we do strive to guarantee the information represented in this datasheet, AAA Biotech cannot be held responsible for any oversights or imprecisions. AAA Biotech reserves the right to adjust any aspect of this datasheet at any time and without notice. It is the responsibility of the customer to inform AAA Biotech of any product performance issues observed or experienced within 30 days of receipt of said product. To see additional details on this or any of our other policies, please see our Terms & Conditions page.Item has been added to Shopping Cart
If you are ready to order, navigate to Shopping Cart and get ready to checkout.
