Rabbit Peroxiredoxin 3 Polyclonal Antibody | anti-PRDX3 antibody
Anti-Peroxiredoxin 3 antibody
WB (Western Blot)
(Anti-Peroxiredoxin 3 antibody, AAA45480, Western blottingAll lanes: Anti Peroxiredoxin 3 (AAA45480) at 0.5ug/mlLane 1: Rat Brain Tissue Lysate at 50ugLane 2: Rat Lung Tissue Lysate at 50ugLane 3: Rat Kidney Tissue Lysate at 50ugLane 4: HELA Whole Cell Lysate at 40ugLane 5: JURKAT Whole Cell Lysate at 40ugLane 6: 293T Whole Cell Lysate at 40ugLane 7: MCF-7 Whole Cell Lysate at 40ugLane 8: A549 Whole Cell Lysate at 40ugLane 9: U20S Whole Cell Lysate at 40ugPredicted bind size: 28KDObserved bind size: 28KD)
IHC (Immunohistochemisry)
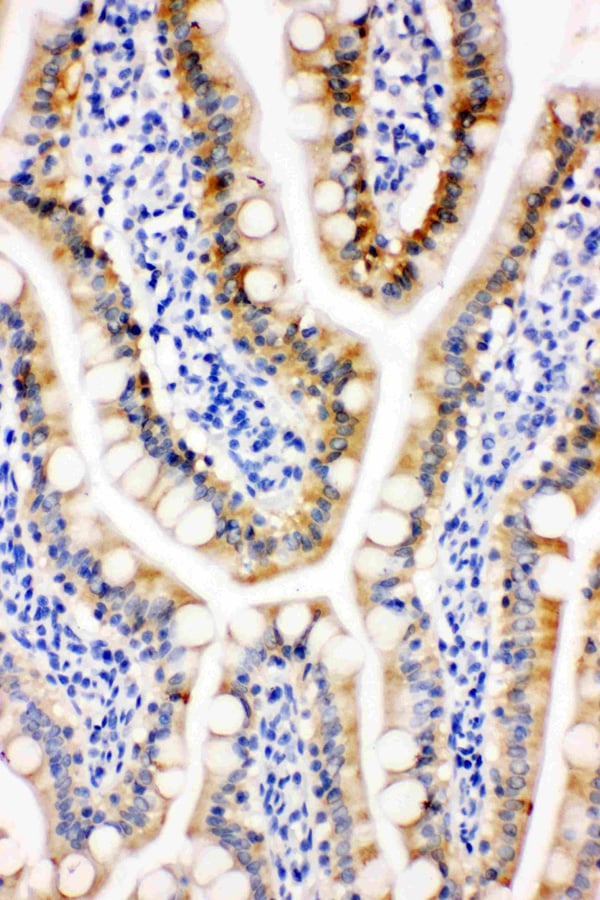
(Anti-Peroxiredoxin 3 antibody, AAA45480, IHC(P)IHC(P): Rat Intestine Tissue)
IHC (Immunohiostchemistry)
(Anti-Peroxiredoxin 3 antibody, AAA45480, IHC(P)IHC(P): Rat Intestine Tissue)
IHC (Immunohistochemistry)
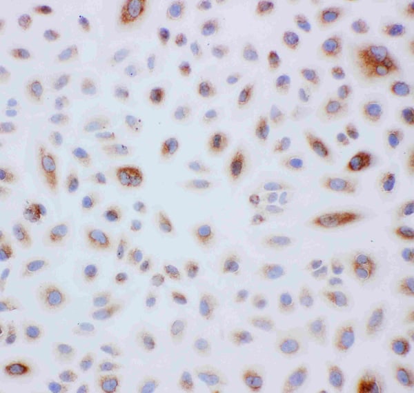
(Anti-Peroxiredoxin 3 antibody, AAA45480, IHC(P)IHC(P): Human Mammary Cancer Tissue)
Background: PRDX3(peroxiredoxin 3) also known as AOP-1, MER5, SP-22 or PRX3, is localized exclusively in mitochondria. The deduced 256-amino acid human AOP1 protein shares 86% amino acid sequence similarity with mouse Aop1, and significant similarity with both the human proliferation-associated gene A product and the mouse stress-induced peritoneal macrophage protein Msp23. The PRDX3 gene is mapped on 10q26.11. Expression of PRDX3 is induced by MYC and is reduced in c-myc -/- cells. Chromatin immunoprecipitation analysis spanning the entire PRDX3 genomic sequence revealed that MYC binds preferentially to a 930-bp region surrounding exon 1. Results using mitochondria-specific fluorescent probes demonstrated that PRDX3 is essential for maintaining mitochondrial mass and membrane potential in transformed rat and human cells. These data provided evidence that PRDX3 is a MYC target gene that is required to maintain normal mitochondrial function.
NCBI and Uniprot Product Information
Customer Reviews
Loading reviews...
Share Your Experience
Similar Products
Product Notes
The PRDX3 prdx3 (Catalog #AAA45480) is an Antibody produced from Rabbit and is intended for research purposes only. The product is available for immediate purchase. The Anti-Peroxiredoxin 3 antibody reacts with Human, Mouse, Rat and may cross-react with other species as described in the data sheet. AAA Biotech's Peroxiredoxin 3 can be used in a range of immunoassay formats including, but not limited to, IHC (Immunohistochemistry), WB (Western Blot). Researchers should empirically determine the suitability of the PRDX3 prdx3 for an application not listed in the data sheet. Researchers commonly develop new applications and it is an integral, important part of the investigative research process. It is sometimes possible for the material contained within the vial of "Peroxiredoxin 3, Polyclonal Antibody" to become dispersed throughout the inside of the vial, particularly around the seal of said vial, during shipment and storage. We always suggest centrifuging these vials to consolidate all of the liquid away from the lid and to the bottom of the vial prior to opening. Please be advised that certain products may require dry ice for shipping and that, if this is the case, an additional dry ice fee may also be required.Precautions
All products in the AAA Biotech catalog are strictly for research-use only, and are absolutely not suitable for use in any sort of medical, therapeutic, prophylactic, in-vivo, or diagnostic capacity. By purchasing a product from AAA Biotech, you are explicitly certifying that said products will be properly tested and used in line with industry standard. AAA Biotech and its authorized distribution partners reserve the right to refuse to fulfill any order if we have any indication that a purchaser may be intending to use a product outside of our accepted criteria.Disclaimer
Though we do strive to guarantee the information represented in this datasheet, AAA Biotech cannot be held responsible for any oversights or imprecisions. AAA Biotech reserves the right to adjust any aspect of this datasheet at any time and without notice. It is the responsibility of the customer to inform AAA Biotech of any product performance issues observed or experienced within 30 days of receipt of said product. To see additional details on this or any of our other policies, please see our Terms & Conditions page.Item has been added to Shopping Cart
If you are ready to order, navigate to Shopping Cart and get ready to checkout.
