Rabbit PRDX3 Polyclonal Antibody | anti-PRDX3 antibody
PRDX3 Antibody
Phosphate buffered saline, pH 7.4, 150mM NaCl, 0.02% sodium azide and 50% glycerol.
WB (Western Blot)
(Western blot analysis of extracts from rat brain, rat spleen, mouse spleen, using PRDX3 Antibody.)
WB (Western Blot)
(Western blot analysis of Mouse liver tissue lysates, using PRDX3 Antibody. The lane on the left is treated with the antigen-specific peptide.)
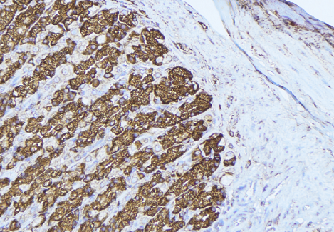
IHC (Immunohistochemistry)
(AAA326901 at 1/100 staining Human gastric tissue by IHC-P. The sample was formaldehyde fixed and a heat mediated antigen retrieval step in citrate buffer was performed. The sample was then blocked and incubated with the antibody for 1.5 hours at 22 degree C. An HRP conjugated goat anti-rabbit antibody was used as the secondary.)
Function: Thiol-specific peroxidase that catalyzes the reduction of hydrogen peroxide and organic hydroperoxides to water and alcohols, respectively. Plays a role in cell protection against oxidative stress by detoxifying peroxides (PubMed:7733872, PubMed:17707404). Acts synergistically with MAP3K13 to regulate the activation of NF-kappa-B in the cytosol (PubMed:12492477).
Subunit Structure: Homodimer; disulfide-linked, upon oxidation. 6 homodimers assemble to form a ring-like dodecamer (PubMed:17707404, PubMed:27238969). Interacts with NEK6 (PubMed:20873783). Interacts with LRRK2 (PubMed:21850687). Interacts with MAP3K13 (PubMed:12492477). Interacts with RPS6KC1 (via PX domain) (PubMed:15750338).
Post-translational Modifications: Phosphorylated by LRRK2; phosphorylation reduces perodixase activity. The enzyme can be inactivated by further oxidation of the cysteine sulfenic acid (C(P)-SOH) to sulphinic acid (C(P)-SO2H) and sulphonic acid (C(P)-SO3H) instead of its condensation to a disulfide bond.
Similarity: Belongs to the peroxiredoxin family. AhpC/Prx1 subfamily.
NCBI and Uniprot Product Information
Predicted: 28 kDa
Customer Reviews
Loading reviews...
Share Your Experience
Similar Products
Product Notes
The PRDX3 prdx3 (Catalog #AAA326901) is an Antibody produced from Rabbit and is intended for research purposes only. The product is available for immediate purchase. The PRDX3 Antibody reacts with Human, Mouse, Rat and may cross-react with other species as described in the data sheet. AAA Biotech's PRDX3 can be used in a range of immunoassay formats including, but not limited to, ELISA, IHC (Immunohistochemistry), WB (Western Blot). Researchers should empirically determine the suitability of the PRDX3 prdx3 for an application not listed in the data sheet. Researchers commonly develop new applications and it is an integral, important part of the investigative research process. It is sometimes possible for the material contained within the vial of "PRDX3, Polyclonal Antibody" to become dispersed throughout the inside of the vial, particularly around the seal of said vial, during shipment and storage. We always suggest centrifuging these vials to consolidate all of the liquid away from the lid and to the bottom of the vial prior to opening. Please be advised that certain products may require dry ice for shipping and that, if this is the case, an additional dry ice fee may also be required.Precautions
All products in the AAA Biotech catalog are strictly for research-use only, and are absolutely not suitable for use in any sort of medical, therapeutic, prophylactic, in-vivo, or diagnostic capacity. By purchasing a product from AAA Biotech, you are explicitly certifying that said products will be properly tested and used in line with industry standard. AAA Biotech and its authorized distribution partners reserve the right to refuse to fulfill any order if we have any indication that a purchaser may be intending to use a product outside of our accepted criteria.Disclaimer
Though we do strive to guarantee the information represented in this datasheet, AAA Biotech cannot be held responsible for any oversights or imprecisions. AAA Biotech reserves the right to adjust any aspect of this datasheet at any time and without notice. It is the responsibility of the customer to inform AAA Biotech of any product performance issues observed or experienced within 30 days of receipt of said product. To see additional details on this or any of our other policies, please see our Terms & Conditions page.Item has been added to Shopping Cart
If you are ready to order, navigate to Shopping Cart and get ready to checkout.
