Rabbit PHCA Polyclonal Antibody | anti-PHCA antibody
PHCA antibody
Applications
ELISA, Immunofluorescence, Immunohistochemistry, Western Blot
Synonyms
PHCA, Antibody; PHCA antibody; Polyclonal PHCA; Anti-PHCA; Alkaline Ceramidase 3; Alkaline Phytoceramidase; Alkaline CDase 3; AlkCDase 3; anti-PHCA antibody
Host
Rabbit
Clonality
Polyclonal
Isotype
IgG
Specificity
PHCA antibody detects endogenous levels of total PHCA protein
Form/Format
Supplied in PBS buffer (without Mg2+and Ca2+), pH 7.4, 150mM NaCl with 0.02% sodium azide and 50% glycerol
Concentration
1 mg/ml (varies by lot)
Sequence Length
559
Applicable Applications for anti-PHCA antibody
ELISA, IF (Immunofluorescence), IHC (Immunohistochemistry), WB (Western Blot)
Biological Significance
PHCA hydrolyzes only phytoceramide into phytosphingosine and free fatty acid. Does not have reverse activity.
Cross-Reactivity
Mouse
Immunogen
PHCA antibody was raised in Rabbit using synthesized peptide derived from internal of human PHCA as the immunogen
Preparation and Storage
Aliquot and store at -20 degree C. Avoid repeated freeze thaw cycles
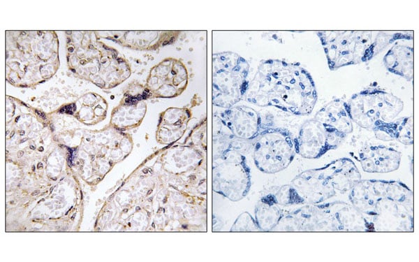
IHC (Immunohistochemistry)
(Immunohistochemistry analysis of paraffin-embedded human placenta tissue using PHCA antibody.)
Related Product Information for anti-PHCA antibody
Rabbit polyclonal PHCA antibody
Product Categories/Family for anti-PHCA antibody
NCBI and Uniprot Product Information
NCBI GI #
NCBI GeneID
NCBI Accession #
NCBI GenBank Nucleotide #
NCBI Official Full Name
PhcA
NCBI Official Symbol
phcA
NCBI Protein Information
PhcA
Customer Reviews
Loading reviews...
Share Your Experience
Similar Products
Product Notes
The PHCA (Catalog #AAA224300) is an Antibody produced from Rabbit and is intended for research purposes only. The product is available for immediate purchase. AAA Biotech's PHCA can be used in a range of immunoassay formats including, but not limited to, ELISA, IF (Immunofluorescence), IHC (Immunohistochemistry), WB (Western Blot). Researchers should empirically determine the suitability of the PHCA for an application not listed in the data sheet. Researchers commonly develop new applications and it is an integral, important part of the investigative research process. It is sometimes possible for the material contained within the vial of "PHCA, Polyclonal Antibody" to become dispersed throughout the inside of the vial, particularly around the seal of said vial, during shipment and storage. We always suggest centrifuging these vials to consolidate all of the liquid away from the lid and to the bottom of the vial prior to opening. Please be advised that certain products may require dry ice for shipping and that, if this is the case, an additional dry ice fee may also be required.Precautions
All products in the AAA Biotech catalog are strictly for research-use only, and are absolutely not suitable for use in any sort of medical, therapeutic, prophylactic, in-vivo, or diagnostic capacity. By purchasing a product from AAA Biotech, you are explicitly certifying that said products will be properly tested and used in line with industry standard. AAA Biotech and its authorized distribution partners reserve the right to refuse to fulfill any order if we have any indication that a purchaser may be intending to use a product outside of our accepted criteria.Disclaimer
Though we do strive to guarantee the information represented in this datasheet, AAA Biotech cannot be held responsible for any oversights or imprecisions. AAA Biotech reserves the right to adjust any aspect of this datasheet at any time and without notice. It is the responsibility of the customer to inform AAA Biotech of any product performance issues observed or experienced within 30 days of receipt of said product. To see additional details on this or any of our other policies, please see our Terms & Conditions page.Item has been added to Shopping Cart
If you are ready to order, navigate to Shopping Cart and get ready to checkout.
