Rabbit PKM2 Polyclonal Antibody | anti-PKM2 antibody
Phospho-PKM2 (Tyr370) Antibody
Predicted: Pig, Bovine, Sheep, Rabbit, Dog, Chicken, Xenopus
Predicted: Pig, Bovine, Sheep, Rabbit, Dog, Chicken, Xenopus
WB (Western Blot)
(Western blot analysis of Phospho-PKM2(Tyr370) in lysates of Jurkat?, using Phospho-PKM2(Tyr370) Antibody.)
IHC (Immunohistochemisry)
(At 1/100 staining human gastric cancer tissue sections by IHC-P. The tissue was formaldehyde fixed and a heat mediated antigen retrieval step in citrate buffer was performed. The tissue was then blocked and incubated with the antibody for 1.5 hours at 22 degree C. An HRP conjugated goat anti-rabbit antibody was used as the secondary)
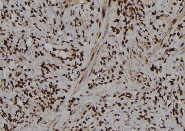
IHC (Immunohiostchemistry)
(At 1/100 staining human lung cancer tissue sections by IHC-P. The tissue was formaldehyde fixed and a heat mediated antigen retrieval step in citrate buffer was performed. The tissue was then blocked and incubated with the antibody for 1.5 hours at 22 degree C. An HRP conjugated goat anti-rabbit antibody was used as the secondary)
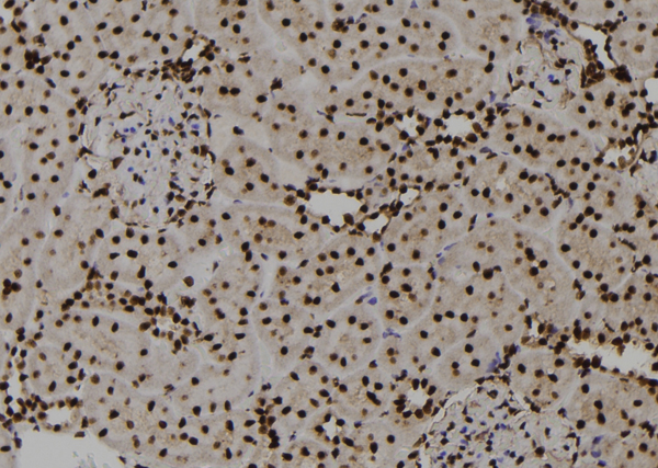
IHC (Immunohistochemistry)
(At 1/100 staining rat kidney tissue sections by IHC-P. The tissue was formaldehyde fixed and a heat mediated antigen retrieval step in citrate buffer was performed. The tissue was then blocked and incubated with the antibody for 1.5 hours at 22 degree C. An HRP conjugated goat anti-rabbit antibody was used as the secondary)
Post Translational Modifications: ISGylated. Under hypoxia, hydroxylated by EGLN3. Acetylation at Lys-305 is stimulated by high glucose concentration, it decreases enzyme activity and promotes its lysosomal-dependent degradation via chaperone-mediated autophagy. FGFR1-dependent tyrosine phosphorylation is reduced by interaction with TRIM35.
Subunit Structure: Monomer and homotetramer. Exists as a monomer in the absence of D-fructose 1,6-bisphosphate (FBP), and reversibly associates to form a homotetramer in the presence of FBP. The monomeric form binds T3. Tetramer formation induces pyruvate kinase activity. The tetrameric form has high affinity for the substrate and is associated within the glycolytic enzyme complex. Exists in a nearly inactive dimeric form in tumor cells and the dimeric form has less affinity for the substrate. Binding to certain oncoproteins such as HPV-16 E7 oncoprotein can trigger dimerization. FBP stimulates the formation of tetramers from dimers. Interacts with HERC1, POU5F1 and PML. Interacts (isoform M2) with EGLN3; the interaction hydroxylates PKM under hypoxia and enhances binding to HIF1A. Interacts (isoform M2) with HIF1A; the interaction is enhanced by binding of EGLN3, promoting enhanced transcription activity under hypoxia. Interacts (isoform M2, but not isoform M1) with TRIM35; this interaction prevents FGFR1-dependent tyrosine phosphorylation (PubMed:25263439).
Similarity: Belongs to the pyruvate kinase family.
NCBI and Uniprot Product Information
Predicted: 58 kDa
Customer Reviews
Loading reviews...
Share Your Experience
Similar Products
Product Notes
The PKM2 pkm (Catalog #AAA328386) is an Antibody produced from Rabbit and is intended for research purposes only. The product is available for immediate purchase. The Phospho-PKM2 (Tyr370) Antibody reacts with Human, Mouse, Rat Predicted: Pig, Bovine, Sheep, Rabbit, Dog, Chicken, Xenopus and may cross-react with other species as described in the data sheet. AAA Biotech's PKM2 can be used in a range of immunoassay formats including, but not limited to, ELISA (Peptide ELISA), IHC (Immunohistochemistry), WB (Western Blot). Researchers should empirically determine the suitability of the PKM2 pkm for an application not listed in the data sheet. Researchers commonly develop new applications and it is an integral, important part of the investigative research process. It is sometimes possible for the material contained within the vial of "PKM2, Polyclonal Antibody" to become dispersed throughout the inside of the vial, particularly around the seal of said vial, during shipment and storage. We always suggest centrifuging these vials to consolidate all of the liquid away from the lid and to the bottom of the vial prior to opening. Please be advised that certain products may require dry ice for shipping and that, if this is the case, an additional dry ice fee may also be required.Precautions
All products in the AAA Biotech catalog are strictly for research-use only, and are absolutely not suitable for use in any sort of medical, therapeutic, prophylactic, in-vivo, or diagnostic capacity. By purchasing a product from AAA Biotech, you are explicitly certifying that said products will be properly tested and used in line with industry standard. AAA Biotech and its authorized distribution partners reserve the right to refuse to fulfill any order if we have any indication that a purchaser may be intending to use a product outside of our accepted criteria.Disclaimer
Though we do strive to guarantee the information represented in this datasheet, AAA Biotech cannot be held responsible for any oversights or imprecisions. AAA Biotech reserves the right to adjust any aspect of this datasheet at any time and without notice. It is the responsibility of the customer to inform AAA Biotech of any product performance issues observed or experienced within 30 days of receipt of said product. To see additional details on this or any of our other policies, please see our Terms & Conditions page.Item has been added to Shopping Cart
If you are ready to order, navigate to Shopping Cart and get ready to checkout.
