Rabbit anti-Human, Mouse PLPPR5 Polyclonal Antibody | anti-PLPPR5 antibody
PLPPR5 Polyclonal Antibody
Gene Names
PLPPR5; PAP2; PRG5; LPPR5; PAP2D
Reactivity
Human, Mouse
Applications
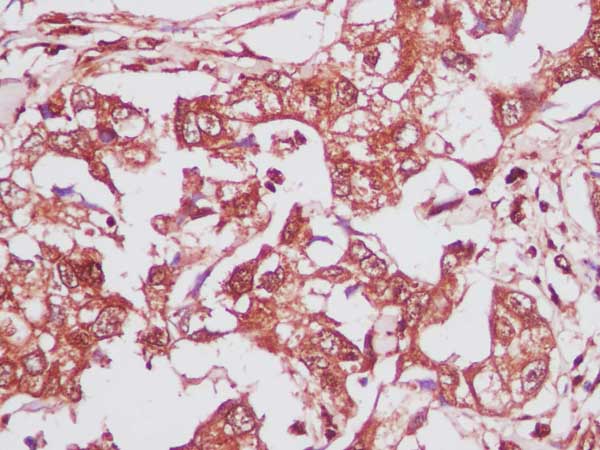
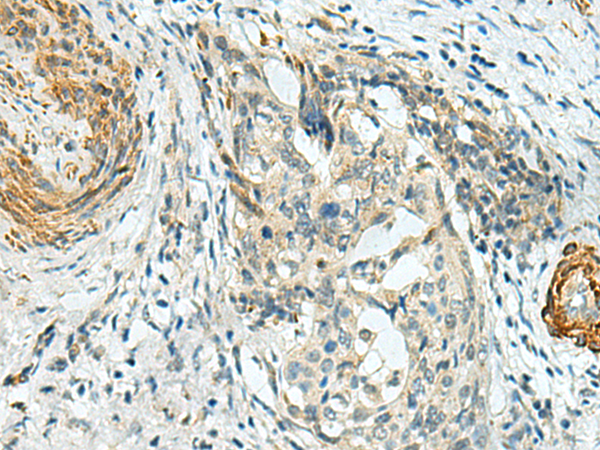
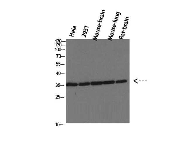
ELISA, Immunohistochemistry, Western Blot
Purity
Antigen Affinity Purification
Synonyms
PLPPR5, Antibody; PLPPR5 Polyclonal Antibody; Lipid phosphate phosphatase related protein type 5; Lipid phosphate phosphatase-related protein type 5; Lppr5; LPPR5; PAP2; Phosphatidic acid phosphatase 2d; Phosphatidic acid phosphatase related 5; Phosphatidic acid phosphatase type 2; Phosphatidic acid phosphatase type 2d; Plasticity related protein 5; Plasticity-related gene 5 protein; PRG 5; PRG-5; PRG5; anti-PLPPR5 antibody
Host
Rabbit
Reactivity
Human, Mouse
Clonality
Polyclonal
Isotype
IgG
Purity/Purification
Antigen Affinity Purification
Form/Format
PBS with 0.05% NaN3 and 40% Glycerol, pH7.4
Concentration
1.8mg/mL (varies by lot)
Sequence Length
321
Applicable Applications for anti-PLPPR5 antibody
ELISA, IHC (Immunohistochemistry), WB (Western Blot)
Immunogen
Synthetic peptide of human PLPPR5
Conjugation
Unconjugated
Preparation and Storage
Store at -20 degree C. Avoid freeze/thaw cycles.
Related Product Information for anti-PLPPR5 antibody
The protein encoded by this gene is a type 2 member of the phosphatidic acid phosphatase (PAP) family. All type 2 members of this protein family contain 6 transmembrane regions, and a consensus N-glycosylation site. PAPs convert phosphatidic acid to diacylglycerol, and function in de novo synthesis of glycerolipids as well as in receptor-activated signal transduction mediated by phospholipase D. Alternate transcriptional splice variants, encoding different isoforms, have been characterized.
Product Categories/Family for anti-PLPPR5 antibody
NCBI and Uniprot Product Information
NCBI GI #
NCBI GeneID
UniProt Accession #
Molecular Weight
36 kDa
NCBI Official Full Name
Phospholipid phosphatase-related protein type 5
NCBI Official Synonym Full Names
phospholipid phosphatase related 5
NCBI Official Symbol
PLPPR5
NCBI Official Synonym Symbols
PAP2; PRG5; LPPR5; PAP2D
NCBI Protein Information
phospholipid phosphatase-related protein type 5
UniProt Protein Name
Lipid phosphate phosphatase-related protein type 5
UniProt Gene Name
LPPR5
UniProt Synonym Gene Names
PAP2D; PRG-5
UniProt Entry Name
LPPR5_HUMAN
Customer Reviews
Loading reviews...
Share Your Experience
Similar Products
Product Notes
The PLPPR5 lppr5 (Catalog #AAA176787) is an Antibody produced from Rabbit and is intended for research purposes only. The product is available for immediate purchase. The PLPPR5 Polyclonal Antibody reacts with Human, Mouse and may cross-react with other species as described in the data sheet. AAA Biotech's PLPPR5 can be used in a range of immunoassay formats including, but not limited to, ELISA, IHC (Immunohistochemistry), WB (Western Blot). Researchers should empirically determine the suitability of the PLPPR5 lppr5 for an application not listed in the data sheet. Researchers commonly develop new applications and it is an integral, important part of the investigative research process. It is sometimes possible for the material contained within the vial of "PLPPR5, Polyclonal Antibody" to become dispersed throughout the inside of the vial, particularly around the seal of said vial, during shipment and storage. We always suggest centrifuging these vials to consolidate all of the liquid away from the lid and to the bottom of the vial prior to opening. Please be advised that certain products may require dry ice for shipping and that, if this is the case, an additional dry ice fee may also be required.Precautions
All products in the AAA Biotech catalog are strictly for research-use only, and are absolutely not suitable for use in any sort of medical, therapeutic, prophylactic, in-vivo, or diagnostic capacity. By purchasing a product from AAA Biotech, you are explicitly certifying that said products will be properly tested and used in line with industry standard. AAA Biotech and its authorized distribution partners reserve the right to refuse to fulfill any order if we have any indication that a purchaser may be intending to use a product outside of our accepted criteria.Disclaimer
Though we do strive to guarantee the information represented in this datasheet, AAA Biotech cannot be held responsible for any oversights or imprecisions. AAA Biotech reserves the right to adjust any aspect of this datasheet at any time and without notice. It is the responsibility of the customer to inform AAA Biotech of any product performance issues observed or experienced within 30 days of receipt of said product. To see additional details on this or any of our other policies, please see our Terms & Conditions page.Item has been added to Shopping Cart
If you are ready to order, navigate to Shopping Cart and get ready to checkout.
