Rabbit POLD1 Polyclonal Antibody | anti-POLD1 antibody
POLD1 Antibody
Phosphate buffered saline, pH 7.4, 150mM NaCl, 0.02% sodium azide and 50% glycerol.
IF (Immunofluorescence)
(AAA326977 staining Hela cells by IF/ICC. The sample were fixed with PFA and permeabilized in 0.1% Triton X-100, then blocked in 10% serum for 45 minutes at 25 degree C. The primary antibody was diluted at 1/200 and incubated with the sample for 1 hour at 37 degree C. An Alexa Fluor 594 conjugated goat anti-rabbit IgG (H+L) antibody, diluted at 1/600, was used as secondary antibody.)
WB (Western Blot)
(Western blot analysis of Hela whole cell lysates, using POLD1 Antibody. The lane on the left is treated with the antigen-specific peptide.)
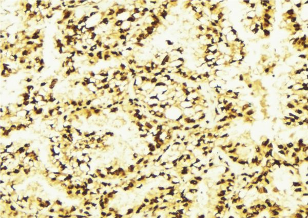
IHC (Immunohistochemistry)
(AAA326977 at 1/100 staining Human lung tissue by IHC-P. The sample was formaldehyde fixed and a heat mediated antigen retrieval step in citrate buffer was performed. The sample was then blocked and incubated with the antibody for 1.5 hours at 22 degree C. An HRP conjugated goat anti-rabbit antibody was used as the secondary.)
Function: As the catalytic component of the trimeric (Pol-delta3 complex) and tetrameric DNA polymerase delta complexes (Pol-delta4 complex), plays a crucial role in high fidelity genome replication, including in lagging strand synthesis, and repair. Exhibits both DNA polymerase and 3'-to 5'-exonuclease activities (PubMed:16510448, PubMed:19074196, PubMed:20334433, PubMed:24035200, PubMed:24022480). Requires the presence of accessory proteins POLD2, POLD3 and POLD4 for full activity. Depending upon the absence (Pol-delta3) or the presence of POLD4 (Pol-delta4), displays differences in catalytic activity. Most notably, expresses higher proofreading activity in the context of Pol-delta3 compared with that of Pol-delta4 (PubMed:19074196, PubMed:20334433). Although both Pol-delta3 and Pol-delta4 process Okazaki fragments in vitro, Pol-delta3 may be better suited to fulfill this task, exhibiting near-absence of strand displacement activity compared to Pol-delta4 and stalling on encounter with the 5'-blocking oligonucleotides. Pol-delta3 idling process may avoid the formation of a gap, while maintaining a nick that can be readily ligated (PubMed:24035200). Along with DNA polymerase kappa, DNA polymerase delta carries out approximately half of nucleotide excision repair (NER) synthesis following UV irradiation (PubMed:20227374). Under conditions of DNA replication stress, in the presence of POLD3 and POLD4, may catalyze the repair of broken replication forks through break-induced replication (BIR) (PubMed:24310611). Involved in the translesion synthesis (TLS) of templates carrying O6-methylguanine or abasic sites (PubMed:19074196).
Subunit Structure: Component of the tetrameric DNA polymerase delta complex (Pol-delta4), which consists of POLD1/p125, POLD2/p50, POLD3/p66/p68 and POLD4/p12, with POLD1 bearing both DNA polymerase and 3' to 5' proofreading exonuclease activities (PubMed:11595739, PubMed:12522211, PubMed:17317665, PubMed:22801543). Within Pol-delta4, directly interacts with POLD2 and POLD4 (PubMed:11328591, PubMed:12403614, PubMed:16510448). Following genotoxic stress by DNA-damaging agents, such as ultraviolet light and methyl methanesulfonate, or by replication stress induced by treatment with hydroxyurea or aphidicolin, Pol-delta4 is converted into a trimeric form of the complex (Pol-delta3) by POLD4 degradation. Pol-delta3 is the major form at S phase replication sites and DNA damage sites (PubMed:22801543, PubMed:17317665). POLD1 displays different catalytic properties depending upon the complex it is found in (PubMed:17317665). It exhibits higher proofreading activity and fidelity than Pol-delta4, making it particularly well suited to respond to DNA damage (PubMed:19074196, PubMed:20334433). Directly interacts with PCNA, as do POLD3 and POLD4; this interaction stimulates Pol-delta4 polymerase activity (PubMed:11328591, PubMed:12403614, PubMed:12522211, PubMed:16510448, PubMed:24022480, PubMed:24939902). As POLD2 and POLD4, directly interacts with WRNIP1; this interaction stimulates DNA polymerase delta-mediated DNA synthesis, independently of the presence of PCNA. This stimulation may be due predominantly to an increase of initiation frequency and also to increased processivity (PubMed:15670210). Also observed as a dimeric complex with POLD2 (Pol-delta2 complex). Pol-delta2 is relatively insensitive to the PCNA stimulation (2-5-fold) compared to Pol-delta4 that is stimulated by over 50-fold (PubMed:12403614). The DNA polymerase delta complex interacts with POLDIP2; this interaction is probably mediated through direct binding to POLD2 (PubMed:12522211).
Similarity: The CysB motif binds 1 4Fe-4S cluster and is required for the formation of polymerase complexes. Belongs to the DNA polymerase type-B family.
NCBI and Uniprot Product Information
Predicted: 124 kDa
Customer Reviews
Loading reviews...
Share Your Experience
Similar Products
Product Notes
The POLD1 pold1 (Catalog #AAA326977) is an Antibody produced from Rabbit and is intended for research purposes only. The product is available for immediate purchase. The POLD1 Antibody reacts with Human, Mouse, Rat and may cross-react with other species as described in the data sheet. AAA Biotech's POLD1 can be used in a range of immunoassay formats including, but not limited to, ELISA, ICC (Immunocytochemistry), IF (Immunofluorescence), IHC (Immunohistochemistry), WB (Western Blot). Researchers should empirically determine the suitability of the POLD1 pold1 for an application not listed in the data sheet. Researchers commonly develop new applications and it is an integral, important part of the investigative research process. It is sometimes possible for the material contained within the vial of "POLD1, Polyclonal Antibody" to become dispersed throughout the inside of the vial, particularly around the seal of said vial, during shipment and storage. We always suggest centrifuging these vials to consolidate all of the liquid away from the lid and to the bottom of the vial prior to opening. Please be advised that certain products may require dry ice for shipping and that, if this is the case, an additional dry ice fee may also be required.Precautions
All products in the AAA Biotech catalog are strictly for research-use only, and are absolutely not suitable for use in any sort of medical, therapeutic, prophylactic, in-vivo, or diagnostic capacity. By purchasing a product from AAA Biotech, you are explicitly certifying that said products will be properly tested and used in line with industry standard. AAA Biotech and its authorized distribution partners reserve the right to refuse to fulfill any order if we have any indication that a purchaser may be intending to use a product outside of our accepted criteria.Disclaimer
Though we do strive to guarantee the information represented in this datasheet, AAA Biotech cannot be held responsible for any oversights or imprecisions. AAA Biotech reserves the right to adjust any aspect of this datasheet at any time and without notice. It is the responsibility of the customer to inform AAA Biotech of any product performance issues observed or experienced within 30 days of receipt of said product. To see additional details on this or any of our other policies, please see our Terms & Conditions page.Item has been added to Shopping Cart
If you are ready to order, navigate to Shopping Cart and get ready to checkout.
