Rabbit PPT2 Polyclonal Antibody | anti-PPT2 antibody
PPT2 Polyclonal Antibody
Gene Names
PPT2; G14; PPT-2; C6orf8
Reactivity
Human, Mouse, Rat
Applications
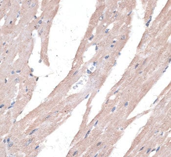
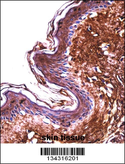
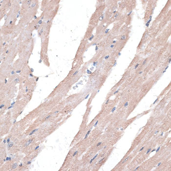
Immunohistochemistry, Western Blot
Purity
Affinity purification
Synonyms
PPT2, Antibody; PPT2 Polyclonal Antibody; PPT2; C6orf8; G14; PPT-2; lysosomal thioesterase PPT2; anti-PPT2 antibody
Host
Rabbit
Reactivity
Human, Mouse, Rat
Clonality
Polyclonal
Isotype
IgG
Purity/Purification
Affinity purification
Form/Format
PBS with 50% glycerol, pH7.4
Sequence Length
302
Applicable Applications for anti-PPT2 antibody
IHC (Immunohistochemistry), WB (Western Blot)
Immunogen
Recombinant fusion protein of human PPT2 (NP_005146.4).
Conjugation
Unconjugated
Preparation and Storage
Store at -20 degree C. Avoid freeze/thaw cycles.
Related Product Information for anti-PPT2 antibody
This gene encodes a member of the palmitoyl-protein thioesterase family. The encoded glycosylated lysosomal protein has palmitoyl-CoA hydrolase activity in vitro, but does not hydrolyze palmitate from cysteine residues in proteins. Alternative splicing results in multiple transcript variants. Read-through transcription also exists between this gene and the downstream EGFL8 (EGF-like-domain, multiple 8) gene.
Product Categories/Family for anti-PPT2 antibody
NCBI and Uniprot Product Information
NCBI GI #
NCBI GeneID
NCBI Accession #
NCBI GenBank Nucleotide #
UniProt Accession #
Molecular Weight
36kDa
NCBI Official Full Name
lysosomal thioesterase PPT2 isoform a
NCBI Official Synonym Full Names
palmitoyl-protein thioesterase 2
NCBI Official Symbol
PPT2
NCBI Official Synonym Symbols
G14; PPT-2; C6orf8
NCBI Protein Information
lysosomal thioesterase PPT2
UniProt Protein Name
Lysosomal thioesterase PPT2
UniProt Gene Name
PPT2
UniProt Entry Name
PPT2_HUMAN
Customer Reviews
Loading reviews...
Share Your Experience
Similar Products
Product Notes
The PPT2 ppt2 (Catalog #AAA311107) is an Antibody produced from Rabbit and is intended for research purposes only. The product is available for immediate purchase. The PPT2 Polyclonal Antibody reacts with Human, Mouse, Rat and may cross-react with other species as described in the data sheet. AAA Biotech's PPT2 can be used in a range of immunoassay formats including, but not limited to, IHC (Immunohistochemistry), WB (Western Blot). Researchers should empirically determine the suitability of the PPT2 ppt2 for an application not listed in the data sheet. Researchers commonly develop new applications and it is an integral, important part of the investigative research process. It is sometimes possible for the material contained within the vial of "PPT2, Polyclonal Antibody" to become dispersed throughout the inside of the vial, particularly around the seal of said vial, during shipment and storage. We always suggest centrifuging these vials to consolidate all of the liquid away from the lid and to the bottom of the vial prior to opening. Please be advised that certain products may require dry ice for shipping and that, if this is the case, an additional dry ice fee may also be required.Precautions
All products in the AAA Biotech catalog are strictly for research-use only, and are absolutely not suitable for use in any sort of medical, therapeutic, prophylactic, in-vivo, or diagnostic capacity. By purchasing a product from AAA Biotech, you are explicitly certifying that said products will be properly tested and used in line with industry standard. AAA Biotech and its authorized distribution partners reserve the right to refuse to fulfill any order if we have any indication that a purchaser may be intending to use a product outside of our accepted criteria.Disclaimer
Though we do strive to guarantee the information represented in this datasheet, AAA Biotech cannot be held responsible for any oversights or imprecisions. AAA Biotech reserves the right to adjust any aspect of this datasheet at any time and without notice. It is the responsibility of the customer to inform AAA Biotech of any product performance issues observed or experienced within 30 days of receipt of said product. To see additional details on this or any of our other policies, please see our Terms & Conditions page.Item has been added to Shopping Cart
If you are ready to order, navigate to Shopping Cart and get ready to checkout.
