Rabbit PRDX3 Antibody | anti-PRDX3 antibody
PRDX3 Antibody
Gene Names
PRDX3; AOP1; MER5; AOP-1; SP-22; HBC189; PRO1748; prx-III
Reactivity
Human, Mouse, Rat
Applications
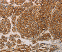
Immunohistochemistry, Western Blot
Purity
Affinity purification
Synonyms
PRDX3; N/A; PRDX3 Antibody; AOP1; MER5; AOP-1; SP-22; HBC189; PRO1748; prx-III; anti-PRDX3 antibody
Host
Rabbit
Reactivity
Human, Mouse, Rat
Isotype
IgG
Purity/Purification
Affinity purification
Sequence Length
198
Applicable Applications for anti-PRDX3 antibody
IHC (Immunohistochemistry), WB (Western Blot)
Immunogen
A synthetic peptide of human PRDX3
Storage Buffer
PBS with 0.02% sodium azide, 50% glycerol, pH7.3.
Preparation and Storage
Store at-20 degree C or-80 degree C. Avoid freeze/thaw cycles.
Related Product Information for anti-PRDX3 antibody
This gene encodes a protein with antioxidant function and is localized in the mitochondrion. This gene shows significant nucleotide sequence similarity to the gene coding for the C22 subunit of Salmonella typhimurium alkylhydroperoxide reductase. Expression of this gene product in E. coli deficient in the C22-subunit gene rescued resistance of the bacteria to alkylhydroperoxide. The human and mouse genes are highly conserved, and they map to the regions syntenic between mouse and human chromosomes. Sequence comparisons with recently cloned mammalian homologues suggest that these genes consist of a family that is responsible for regulation of cellular proliferation, differentiation, and antioxidant functions. Two transcript variants encoding two different isoforms have been found for this gene.
Product Categories/Family for anti-PRDX3 antibody
NCBI and Uniprot Product Information
NCBI GI #
NCBI GeneID
NCBI Accession #
NCBI GenBank Nucleotide #
Molecular Weight
28kDa
NCBI Official Full Name
thioredoxin-dependent peroxide reductase, mitochondrial isoform c
NCBI Official Synonym Full Names
peroxiredoxin 3
NCBI Official Symbol
PRDX3
NCBI Official Synonym Symbols
AOP1; MER5; AOP-1; SP-22; HBC189; PRO1748; prx-III
NCBI Protein Information
thioredoxin-dependent peroxide reductase, mitochondrial
UniProt Protein Name
Thioredoxin-dependent peroxide reductase, mitochondrial
UniProt Gene Name
PRDX3
UniProt Synonym Gene Names
AOP1; AOP-1; Prx-III
Customer Reviews
Loading reviews...
Share Your Experience
Similar Products
Product Notes
The PRDX3 prdx3 (Catalog #AAA266932) is an Antibody produced from Rabbit and is intended for research purposes only. The product is available for immediate purchase. The PRDX3 Antibody reacts with Human, Mouse, Rat and may cross-react with other species as described in the data sheet. AAA Biotech's PRDX3 can be used in a range of immunoassay formats including, but not limited to, IHC (Immunohistochemistry), WB (Western Blot). Researchers should empirically determine the suitability of the PRDX3 prdx3 for an application not listed in the data sheet. Researchers commonly develop new applications and it is an integral, important part of the investigative research process. It is sometimes possible for the material contained within the vial of "PRDX3, Antibody" to become dispersed throughout the inside of the vial, particularly around the seal of said vial, during shipment and storage. We always suggest centrifuging these vials to consolidate all of the liquid away from the lid and to the bottom of the vial prior to opening. Please be advised that certain products may require dry ice for shipping and that, if this is the case, an additional dry ice fee may also be required.Precautions
All products in the AAA Biotech catalog are strictly for research-use only, and are absolutely not suitable for use in any sort of medical, therapeutic, prophylactic, in-vivo, or diagnostic capacity. By purchasing a product from AAA Biotech, you are explicitly certifying that said products will be properly tested and used in line with industry standard. AAA Biotech and its authorized distribution partners reserve the right to refuse to fulfill any order if we have any indication that a purchaser may be intending to use a product outside of our accepted criteria.Disclaimer
Though we do strive to guarantee the information represented in this datasheet, AAA Biotech cannot be held responsible for any oversights or imprecisions. AAA Biotech reserves the right to adjust any aspect of this datasheet at any time and without notice. It is the responsibility of the customer to inform AAA Biotech of any product performance issues observed or experienced within 30 days of receipt of said product. To see additional details on this or any of our other policies, please see our Terms & Conditions page.Item has been added to Shopping Cart
If you are ready to order, navigate to Shopping Cart and get ready to checkout.
