Rabbit Protein Tyrosine Phosphatase Type IVA 2 Polyclonal Antibody | anti-PTP4A2 antibody
Polyclonal Antibody to Protein Tyrosine Phosphatase Type IVA 2 (PTP4A2)
Gene Names
PTP4A2; HH13; OV-1; PRL2; HH7-2; PRL-2; PTP4A; HU-PP-1; PTPCAAX2; ptp-IV1a; ptp-IV1b
Reactivity
Human, Mouse, Rat
Applications
ELISA, Immunohistochemistry, Immunocytochemistry, Western Blot
Purity
Affinity Chromatography
Synonyms
Protein Tyrosine Phosphatase Type IVA 2, Antibody; Polyclonal Antibody to Protein Tyrosine Phosphatase Type IVA 2 (PTP4A2); HH13; HH7-2; HU-PP-1; OV-1; PRL-2; PRL2; PTP4A; PTPCAAX2; ptp-IV1a; ptp-IV1b; Protein-tyrosine phosphatase of regenerating liver 2; Protein-tyrosine phosphatase 4a2; anti-PTP4A2 antibody
Host
Rabbit
Reactivity
Human, Mouse, Rat
Clonality
Polyclonal
Specificity
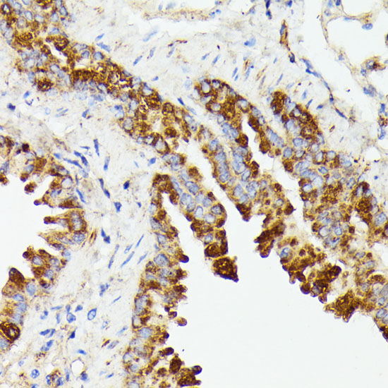
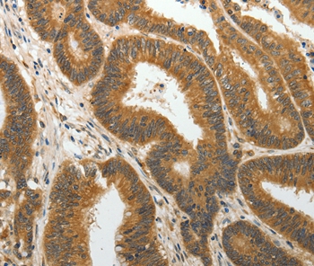
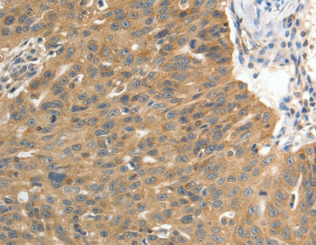
The antibody is a rabbit polyclonal antibody raised against PTP4A2. It has been selected for its ability to recognize PTP4A2 in immunohistochemical staining and western blotting.
Purity/Purification
Affinity Chromatography
Form/Format
Supplied as solution form in PBS, pH7.4, Containing 0.02% NaN3, 50% glycerol.
Concentration
500ug/mL (varies by lot)
Sequence Length
136
Applicable Applications for anti-PTP4A2 antibody
ELISA, IHC (Immunohistochemistry), ICC (Immunocytochemistry), WB (Western Blot)
Fragment
PTP4A2 (Met1~Gln167)
Conjugate
No Conjugate
Cross Reactivity
Human
Immunoglobulin Type
IgG
Quality Control
Content: The quality control contains recombinant PTP4A2 (Met1~Gln167) disposed in loading buffer.
Usage: 10uL per well when 3,3'-Diaminobenzidine(DAB) as the substrate.
5uL per well when used in enhanced chemilumescent (ECL).
Note: The quality control is specifically manufactured as the positive control. Not used for other purposes.
Loading Buffer: 100mM Tris(pH8.8), 2% SDS, 200mM NaCl, 50% glycerol,BPB 0.01%, NaN3 0.02%.
Usage: 10uL per well when 3,3'-Diaminobenzidine(DAB) as the substrate.
5uL per well when used in enhanced chemilumescent (ECL).
Note: The quality control is specifically manufactured as the positive control. Not used for other purposes.
Loading Buffer: 100mM Tris(pH8.8), 2% SDS, 200mM NaCl, 50% glycerol,BPB 0.01%, NaN3 0.02%.
Conjugated Antibody
The APC conjugated antibody version of this item is also available as
Preparation and Storage
Store at 4 degree C for frequent use. Stored at -20 degree C in a manual defrost freezer for one year without detectable loss of activity. Avoid repeated freeze-thaw cycles.
NCBI and Uniprot Product Information
NCBI GI #
NCBI GeneID
NCBI Accession #
NCBI GenBank Nucleotide #
UniProt Accession #
Molecular Weight
16,367 Da
NCBI Official Full Name
protein tyrosine phosphatase type IVA 2 isoform 3
NCBI Official Synonym Full Names
protein tyrosine phosphatase type IVA, member 2
NCBI Official Symbol
PTP4A2
NCBI Official Synonym Symbols
HH13; OV-1; PRL2; HH7-2; PRL-2; PTP4A; HU-PP-1; PTPCAAX2; ptp-IV1a; ptp-IV1b
NCBI Protein Information
protein tyrosine phosphatase type IVA 2
UniProt Protein Name
Protein tyrosine phosphatase type IVA 2
UniProt Gene Name
PTP4A2
UniProt Synonym Gene Names
PRL2; PTPCAAX2; PRL-2
Customer Reviews
Loading reviews...
Share Your Experience
Similar Products
Product Notes
The PTP4A2 ptp4a2 (Catalog #AAA145859) is an Antibody produced from Rabbit and is intended for research purposes only. The product is available for immediate purchase. The Polyclonal Antibody to Protein Tyrosine Phosphatase Type IVA 2 (PTP4A2) reacts with Human, Mouse, Rat and may cross-react with other species as described in the data sheet. AAA Biotech's Protein Tyrosine Phosphatase Type IVA 2 can be used in a range of immunoassay formats including, but not limited to, ELISA, IHC (Immunohistochemistry), ICC (Immunocytochemistry), WB (Western Blot). Researchers should empirically determine the suitability of the PTP4A2 ptp4a2 for an application not listed in the data sheet. Researchers commonly develop new applications and it is an integral, important part of the investigative research process. It is sometimes possible for the material contained within the vial of "Protein Tyrosine Phosphatase Type IVA 2, Polyclonal Antibody" to become dispersed throughout the inside of the vial, particularly around the seal of said vial, during shipment and storage. We always suggest centrifuging these vials to consolidate all of the liquid away from the lid and to the bottom of the vial prior to opening. Please be advised that certain products may require dry ice for shipping and that, if this is the case, an additional dry ice fee may also be required.Precautions
All products in the AAA Biotech catalog are strictly for research-use only, and are absolutely not suitable for use in any sort of medical, therapeutic, prophylactic, in-vivo, or diagnostic capacity. By purchasing a product from AAA Biotech, you are explicitly certifying that said products will be properly tested and used in line with industry standard. AAA Biotech and its authorized distribution partners reserve the right to refuse to fulfill any order if we have any indication that a purchaser may be intending to use a product outside of our accepted criteria.Disclaimer
Though we do strive to guarantee the information represented in this datasheet, AAA Biotech cannot be held responsible for any oversights or imprecisions. AAA Biotech reserves the right to adjust any aspect of this datasheet at any time and without notice. It is the responsibility of the customer to inform AAA Biotech of any product performance issues observed or experienced within 30 days of receipt of said product. To see additional details on this or any of our other policies, please see our Terms & Conditions page.Item has been added to Shopping Cart
If you are ready to order, navigate to Shopping Cart and get ready to checkout.
