Rabbit PTTG1 Polyclonal Antibody | anti-PTTG1 antibody
PTTG1 Polyclonal Antibody
Gene Names
PTTG1; EAP1; PTTG; HPTTG; TUTR1
Reactivity
Human, Mouse, Rat
Applications
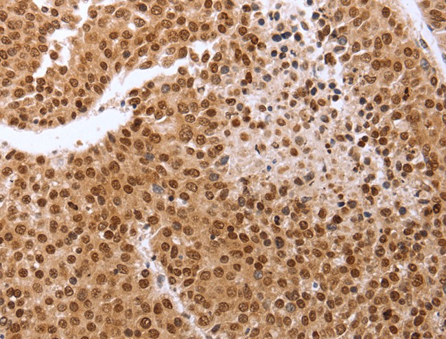
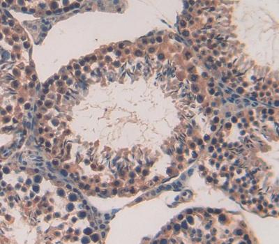
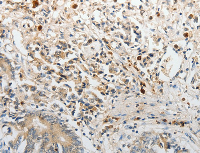
Immunohistochemistry, ELISA
Purity
Antigen affinity purification
Synonyms
PTTG1, Antibody; PTTG1 Polyclonal Antibody; EAP1; PTTG; HPTTG; TUTR1; anti-PTTG1 antibody
Host
Rabbit
Reactivity
Human, Mouse, Rat
Clonality
Polyclonal
Isotype
IgG
Purity/Purification
Antigen affinity purification
Concentration
2.1mg/mL (varies by lot)
Sequence Length
202
Applicable Applications for anti-PTTG1 antibody
IHC (Immunohistochemistry), ELISA
Immunogen
Synthetic peptide of human PTTG1
Buffer
PBS with 0.05% sodium azide, 50% glycerol, pH7.3
Preparation and Storage
Store at -20 degree C (regular) and -80 degree C (long term). Avoid freeze / thaw cycles.
Related Product Information for anti-PTTG1 antibody
The encoded protein is a homolog of yeast securin proteins, which prevent separins from promoting sister chromatid separation. It is an anaphase-promoting complex (APC) substrate that associates with a separin until activation of the APC. The gene product has transforming activity in vitro and tumorigenic activity in vivo, and the gene is highly expressed in various tumors. The gene product contains 2 PXXP motifs, which are required for its transforming and tumorigenic activities, as well as for its stimulation of basic fibroblast growth factor expression. It also contains a destruction box (D box) that is required for its degradation by the APC. The acidic C-terminal region of the encoded protein can act as a transactivation domain. The gene product is mainly a cytosolic protein, although it partially localizes in the nucleus.
Product Categories/Family for anti-PTTG1 antibody
NCBI and Uniprot Product Information
NCBI GI #
NCBI GeneID
Molecular Weight
22,024 Da
NCBI Official Full Name
PTTG1, partial
NCBI Official Synonym Full Names
pituitary tumor-transforming 1
NCBI Official Symbol
PTTG1
NCBI Official Synonym Symbols
EAP1; PTTG; HPTTG; TUTR1
NCBI Protein Information
securin; ESP1-associated protein 1; pituitary tumor-transforming gene 1 protein; tumor-transforming protein 1
UniProt Protein Name
PTTG1 protein
UniProt Gene Name
PTTG1
UniProt Entry Name
Q6IAL9_HUMAN
Customer Reviews
Loading reviews...
Share Your Experience
Similar Products
Product Notes
The PTTG1 pttg1 (Catalog #AAA168745) is an Antibody produced from Rabbit and is intended for research purposes only. The product is available for immediate purchase. The PTTG1 Polyclonal Antibody reacts with Human, Mouse, Rat and may cross-react with other species as described in the data sheet. AAA Biotech's PTTG1 can be used in a range of immunoassay formats including, but not limited to, IHC (Immunohistochemistry), ELISA. Researchers should empirically determine the suitability of the PTTG1 pttg1 for an application not listed in the data sheet. Researchers commonly develop new applications and it is an integral, important part of the investigative research process. It is sometimes possible for the material contained within the vial of "PTTG1, Polyclonal Antibody" to become dispersed throughout the inside of the vial, particularly around the seal of said vial, during shipment and storage. We always suggest centrifuging these vials to consolidate all of the liquid away from the lid and to the bottom of the vial prior to opening. Please be advised that certain products may require dry ice for shipping and that, if this is the case, an additional dry ice fee may also be required.Precautions
All products in the AAA Biotech catalog are strictly for research-use only, and are absolutely not suitable for use in any sort of medical, therapeutic, prophylactic, in-vivo, or diagnostic capacity. By purchasing a product from AAA Biotech, you are explicitly certifying that said products will be properly tested and used in line with industry standard. AAA Biotech and its authorized distribution partners reserve the right to refuse to fulfill any order if we have any indication that a purchaser may be intending to use a product outside of our accepted criteria.Disclaimer
Though we do strive to guarantee the information represented in this datasheet, AAA Biotech cannot be held responsible for any oversights or imprecisions. AAA Biotech reserves the right to adjust any aspect of this datasheet at any time and without notice. It is the responsibility of the customer to inform AAA Biotech of any product performance issues observed or experienced within 30 days of receipt of said product. To see additional details on this or any of our other policies, please see our Terms & Conditions page.Item has been added to Shopping Cart
If you are ready to order, navigate to Shopping Cart and get ready to checkout.
