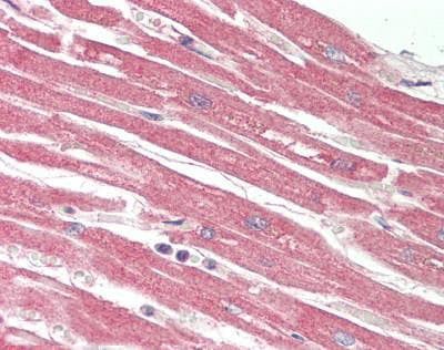
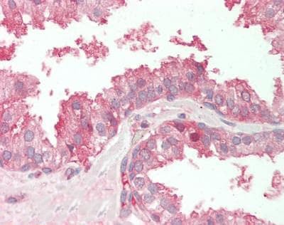
Rabbit anti-Human PVR / CD155 Polyclonal Antibody | anti-PVR / CD155 antibody
Anti-PVR / CD155 Antibody IHC-plus
Gene Names
PVR; PVS; HVED; CD155; NECL5; TAGE4; Necl-5
Reactivity
Human
Applications
Western Blot, Immunohistochemistry
Purity
Affinity purified
Synonyms
PVR / CD155, Antibody; Anti-PVR / CD155 Antibody IHC-plus; Rabbit Polyclonal (IgG) to Human PVR / CD155; Human PVR / CD155; Hpvr; HVED; Nectin-like 5; Nectin-like protein 5; Poliovirus receptors beta; Poliovirus receptor; PVS; Necl-5; CD155 antigen; NECL5; TAGE4; anti-PVR / CD155 antibody
Host
Rabbit
Reactivity
Human
Clonality
Polyclonal
Isotype
IgG
Specificity
Human PVR / CD155
Purity/Purification
Affinity purified
Form/Format
PBS, pH 7.3, 0.02% sodium azide, 50% glycerol.
Concentration
1 mg/ml (varies by lot)
Sequence Length
417
Applicable Applications for anti-PVR / CD155 antibody
WB (Western Blot), IHC (Immunohistochemistry)
Immunogen
PVR / CD155 antibody was raised against recombinant human PVR.
Immunogen Description
Recombinant human PVR.
Immunogen Type
Recombinant protein
Target Species
Human
Preparation and Storage
Long term: -80 degree C
Short term: -20 degree C
Avoid freeze-thaw cycles.
Short term: -20 degree C
Avoid freeze-thaw cycles.
Related Product Information for anti-PVR / CD155 antibody
PVR Antibody, CD155 Antibody, Hpvr Antibody, HVED Antibody, Nectin-like 5 Antibody, Nectin-like protein 5 Antibody, Poliovirus receptors beta Antibody, Poliovirus receptor Antibody, PVS Antibody, Necl-5 Antibody, CD155 antigen Antibody, NECL5 Antibody, TAGE4 Antibody Description: Mediates NK cell adhesion and triggers NK cell effector functions. Binds two different NK cell receptors: CD96 and CD226. These interactions accumulates at the cell-cell contact site, leading to the formation of a mature immunological synapse between NK cell and target cell. This may trigger adhesion and secretion of lytic granules and IFN-gamma and activate cytoxicity of activated NK cells. May also promote NK cell-target cell modular exchange, and PVR transfer to the NK cell.
NCBI and Uniprot Product Information
NCBI GI #
NCBI GeneID
NCBI Accession #
NCBI GenBank Nucleotide #
Molecular Weight
42,864 Da
NCBI Official Full Name
poliovirus receptor isoform alpha
NCBI Official Synonym Full Names
poliovirus receptor
NCBI Official Symbol
PVR
NCBI Official Synonym Symbols
PVS; HVED; CD155; NECL5; TAGE4; Necl-5
NCBI Protein Information
poliovirus receptor
UniProt Protein Name
Poliovirus receptor
UniProt Gene Name
PVR
UniProt Synonym Gene Names
PVS; NECL-5
UniProt Entry Name
PVR_HUMAN
Customer Reviews
Loading reviews...
Share Your Experience
Similar Products
Product Notes
The PVR / CD155 pvr (Catalog #AAA52652) is an Antibody produced from Rabbit and is intended for research purposes only. The product is available for immediate purchase. The Anti-PVR / CD155 Antibody IHC-plus reacts with Human and may cross-react with other species as described in the data sheet. AAA Biotech's PVR / CD155 can be used in a range of immunoassay formats including, but not limited to, WB (Western Blot), IHC (Immunohistochemistry). Researchers should empirically determine the suitability of the PVR / CD155 pvr for an application not listed in the data sheet. Researchers commonly develop new applications and it is an integral, important part of the investigative research process. It is sometimes possible for the material contained within the vial of "PVR / CD155, Polyclonal Antibody" to become dispersed throughout the inside of the vial, particularly around the seal of said vial, during shipment and storage. We always suggest centrifuging these vials to consolidate all of the liquid away from the lid and to the bottom of the vial prior to opening. Please be advised that certain products may require dry ice for shipping and that, if this is the case, an additional dry ice fee may also be required.Precautions
All products in the AAA Biotech catalog are strictly for research-use only, and are absolutely not suitable for use in any sort of medical, therapeutic, prophylactic, in-vivo, or diagnostic capacity. By purchasing a product from AAA Biotech, you are explicitly certifying that said products will be properly tested and used in line with industry standard. AAA Biotech and its authorized distribution partners reserve the right to refuse to fulfill any order if we have any indication that a purchaser may be intending to use a product outside of our accepted criteria.Disclaimer
Though we do strive to guarantee the information represented in this datasheet, AAA Biotech cannot be held responsible for any oversights or imprecisions. AAA Biotech reserves the right to adjust any aspect of this datasheet at any time and without notice. It is the responsibility of the customer to inform AAA Biotech of any product performance issues observed or experienced within 30 days of receipt of said product. To see additional details on this or any of our other policies, please see our Terms & Conditions page.Item has been added to Shopping Cart
If you are ready to order, navigate to Shopping Cart and get ready to checkout.
