Rabbit anti-Mouse Pyruvate Dehydrogenase Complex Component X Polyclonal Antibody | anti-PDHX antibody
Polyclonal Antibody to Pyruvate Dehydrogenase Complex Component X (PDHX)
Gene Names
Pdhx; E3bp; Pdx1; AI481367
Reactivity
Mouse
Applications
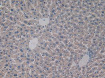
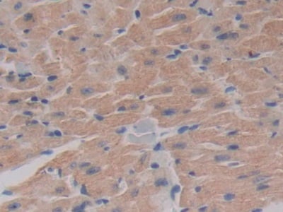
ELISA, Immunohistochemistry, Immunocytochemistry, Western Blot
Purity
Affinity Chromatography
Synonyms
Pyruvate Dehydrogenase Complex Component X, Antibody; Polyclonal Antibody to Pyruvate Dehydrogenase Complex Component X (PDHX); anti-PDHX antibody
Host
Rabbit
Reactivity
Mouse
Clonality
Polyclonal
Specificity
The antibody is a rabbit polyclonal antibody raised against PDHX. It has beenselected for its ability to recognize PDHX in immunohistochemical staining andwestern blotting.
Purity/Purification
Affinity Chromatography
Form/Format
Liquid
Concentration
500ug/mL (varies by lot)
Sequence
Antigen: The target protein is fused with two N-terminal Tags, His-tag and T7-tag and its sequence is listed below.
MGSSHHHHHH SSGLVPRGSH MASMTGGQQM GRGSEF- LKQMGKITE SRPASAPPPS LSASVPPQAT AGPSYPRPMT PPVSIPGQPN AAGTFTEIPA SNIRRVIAKR LTESKSTVPH AYATADCDLG AVLKVRRDLV KDDIKVSVND FIIRAAAVTL KQMPGVNVTW DGEGPKQLPS VDISVAVATD KGLITPIIKD AAAKGIQEIA DSVKVLSKKA RDGKLMPEEY QGGSFSISNL
MGSSHHHHHH SSGLVPRGSH MASMTGGQQM GRGSEF- LKQMGKITE SRPASAPPPS LSASVPPQAT AGPSYPRPMT PPVSIPGQPN AAGTFTEIPA SNIRRVIAKR LTESKSTVPH AYATADCDLG AVLKVRRDLV KDDIKVSVND FIIRAAAVTL KQMPGVNVTW DGEGPKQLPS VDISVAVATD KGLITPIIKD AAAKGIQEIA DSVKVLSKKA RDGKLMPEEY QGGSFSISNL
Applicable Applications for anti-PDHX antibody
ELISA, IHC (Immunohistochemistry), ICC (Immunocytochemistry), WB (Western Blot)
Fragment
PDHX (Leu222~Met471)
Organism Species
Mus musculus (Mouse)
Cross Reactivity
Mouse
Conjugate
No Conjugate
Immunogen
Recombinant PDHX (Leu222~Met471) expressed in E Coli.
Conjugated Antibody
The APC conjugated antibody version of this item is also available as
Preparation and Storage
Store at 4 degree C for frequent use. Stored at -20 degree C to -80 degree C in a manual defrost freezer for one year without detectable loss of activity. Avoid repeated freeze-thaw cycles.
WB (Western Blot)
(Western Blot: Sample: Lane1: Mouse Heart Tissue; Lane2: Mouse Brain Tissue; Lane3: Mouse Kidney Tissue.)
NCBI and Uniprot Product Information
NCBI GI #
NCBI GeneID
NCBI Accession #
NCBI GenBank Nucleotide #
UniProt Accession #
Molecular Weight
53,999 Da
NCBI Official Full Name
pyruvate dehydrogenase protein X component, mitochondrial
NCBI Official Synonym Full Names
pyruvate dehydrogenase complex, component X
NCBI Official Symbol
Pdhx
NCBI Official Synonym Symbols
E3bp; Pdx1; AI481367
NCBI Protein Information
pyruvate dehydrogenase protein X component, mitochondrial
UniProt Protein Name
Pyruvate dehydrogenase protein X component, mitochondrial
UniProt Gene Name
Pdhx
Similar Products
Product Notes
The PDHX pdhx (Catalog #AAA141463) is an Antibody produced from Rabbit and is intended for research purposes only. The product is available for immediate purchase. The Polyclonal Antibody to Pyruvate Dehydrogenase Complex Component X (PDHX) reacts with Mouse and may cross-react with other species as described in the data sheet. AAA Biotech's Pyruvate Dehydrogenase Complex Component X can be used in a range of immunoassay formats including, but not limited to, ELISA, IHC (Immunohistochemistry), ICC (Immunocytochemistry), WB (Western Blot). Researchers should empirically determine the suitability of the PDHX pdhx for an application not listed in the data sheet. Researchers commonly develop new applications and it is an integral, important part of the investigative research process. The amino acid sequence is listed below: Antigen: The target protein is fused with two N-terminal Tags, His-tag and T7-tag and its sequence is listed below. MGSSHHHHHH SSGLVPRGSH MASMTGGQQM GRGSEF- LKQMGKITE SRPASAPPPS LSASVPPQAT AGPSYPRPMT PPVSIPGQPN AAGTFTEIPA SNIRRVIAKR LTESKSTVPH AYATADCDLG AVLKVRRDLV KDDIKVSVND FIIRAAAVTL KQMPGVNVTW DGEGPKQLPS VDISVAVATD KGLITPIIKD AAAKGIQEIA DSVKVLSKKA RDGKLMPEEY QGGSFSISNL. It is sometimes possible for the material contained within the vial of "Pyruvate Dehydrogenase Complex Component X, Polyclonal Antibody" to become dispersed throughout the inside of the vial, particularly around the seal of said vial, during shipment and storage. We always suggest centrifuging these vials to consolidate all of the liquid away from the lid and to the bottom of the vial prior to opening. Please be advised that certain products may require dry ice for shipping and that, if this is the case, an additional dry ice fee may also be required.Precautions
All products in the AAA Biotech catalog are strictly for research-use only, and are absolutely not suitable for use in any sort of medical, therapeutic, prophylactic, in-vivo, or diagnostic capacity. By purchasing a product from AAA Biotech, you are explicitly certifying that said products will be properly tested and used in line with industry standard. AAA Biotech and its authorized distribution partners reserve the right to refuse to fulfill any order if we have any indication that a purchaser may be intending to use a product outside of our accepted criteria.Disclaimer
Though we do strive to guarantee the information represented in this datasheet, AAA Biotech cannot be held responsible for any oversights or imprecisions. AAA Biotech reserves the right to adjust any aspect of this datasheet at any time and without notice. It is the responsibility of the customer to inform AAA Biotech of any product performance issues observed or experienced within 30 days of receipt of said product. To see additional details on this or any of our other policies, please see our Terms & Conditions page.Item has been added to Shopping Cart
If you are ready to order, navigate to Shopping Cart and get ready to checkout.
