Rabbit anti-Human rad21 Polyclonal Antibody | anti-rad21 antibody
rad21 Antibody
Phosphate buffered saline, pH 7.4, 150mM NaCl, 0.02% sodium azide and 50% glycerol.
IF (Immunofluorescence)
(AAA327190 staining Hela cells by IF/ICC. The sample were fixed with PFA and permeabilized in 0.1% Triton X-100, then blocked in 10% serum for 45 minutes at 25 degree C. The primary antibody was diluted at 1/200 and incubated with the sample for 1 hour at 37 degree C. An Alexa Fluor 594 conjugated goat anti-rabbit IgG (H+L) antibody, diluted at 1/600, was used as secondary antibody.)
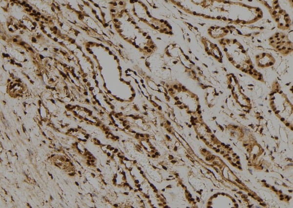
IHC (Immunohistochemistry)
(AAA327190 at 1/100 staining Human kidney tissue by IHC-P. The sample was formaldehyde fixed and a heat mediated antigen retrieval step in citrate buffer was performed. The sample was then blocked and incubated with the antibody for 1.5 hours at 22 degree C. An HRP conjugated goat anti-rabbit antibody was used as the secondary.)
Subunit Structure: Cohesin complexes are composed of the SMC1 (SMC1A or SMC1B) and SMC3 heterodimer attached via their hinge domain, RAD21 which link them, and one STAG protein (STAG1, STAG2 or STAG3), which interacts with RAD21 (PubMed:11590136). Found in a complex with SMC1A, SMC3, CDCA5, PDS5A/SCC-112 and PDS5B/APRIN (PubMed:15837422). Interacts with PDS5B and WAPL; the interaction is direct (PubMed:19696148). Interacts with SMC1A and SMC3 (By similarity). Interacts with DDX11 (PubMed:17105772). Found in a cohesin complex with SMC1A, SMC3 and STAG1 (PubMed:22628566).
Post-translational Modifications: Cleaved by separase/ESPL1 at the onset of anaphase. Cleaved by caspase-3 and caspase-7 at the beginning of apoptosis. The cleavage by ESPL1 and caspase-3 take place at different sites. Phosphorylated; becomes hyperphosphorylated in M phase of cell cycle. The large dissociation of cohesin from chromosome arms during prophase may be partly due to its phosphorylation by PLK.
Similarity: The C-terminal part associates with the head of SMC1A, while the N-terminal part binds to the head of SMC3. Belongs to the rad21 family.
NCBI and Uniprot Product Information
Predicted: 72 kDa
Customer Reviews
Loading reviews...
Share Your Experience
Similar Products
Product Notes
The rad21 rad21 (Catalog #AAA327190) is an Antibody produced from Rabbit and is intended for research purposes only. The product is available for immediate purchase. The rad21 Antibody reacts with Human and may cross-react with other species as described in the data sheet. AAA Biotech's rad21 can be used in a range of immunoassay formats including, but not limited to, ELISA, ICC (Immunocytochemistry), IF (Immunofluorescence), IHC (Immunohistochemistry), WB (Western Blot). Researchers should empirically determine the suitability of the rad21 rad21 for an application not listed in the data sheet. Researchers commonly develop new applications and it is an integral, important part of the investigative research process. It is sometimes possible for the material contained within the vial of "rad21, Polyclonal Antibody" to become dispersed throughout the inside of the vial, particularly around the seal of said vial, during shipment and storage. We always suggest centrifuging these vials to consolidate all of the liquid away from the lid and to the bottom of the vial prior to opening. Please be advised that certain products may require dry ice for shipping and that, if this is the case, an additional dry ice fee may also be required.Precautions
All products in the AAA Biotech catalog are strictly for research-use only, and are absolutely not suitable for use in any sort of medical, therapeutic, prophylactic, in-vivo, or diagnostic capacity. By purchasing a product from AAA Biotech, you are explicitly certifying that said products will be properly tested and used in line with industry standard. AAA Biotech and its authorized distribution partners reserve the right to refuse to fulfill any order if we have any indication that a purchaser may be intending to use a product outside of our accepted criteria.Disclaimer
Though we do strive to guarantee the information represented in this datasheet, AAA Biotech cannot be held responsible for any oversights or imprecisions. AAA Biotech reserves the right to adjust any aspect of this datasheet at any time and without notice. It is the responsibility of the customer to inform AAA Biotech of any product performance issues observed or experienced within 30 days of receipt of said product. To see additional details on this or any of our other policies, please see our Terms & Conditions page.Item has been added to Shopping Cart
If you are ready to order, navigate to Shopping Cart and get ready to checkout.
