Rabbit RIPK2 Polyclonal Antibody | anti-RIPK2 antibody
Phospho-RIPK2 (Ser531) Antibody
Predicted: Horse
Predicted: Horse
WB (Western Blot)
(Western blot analysis of Phospho-RIPK2 (Ser531) in lysates of 293, using Phospho-RIPK2 (Ser531) Antibody.)
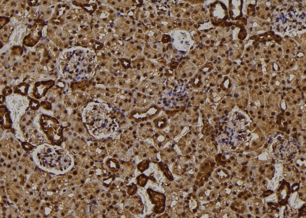
IHC (Immunohistochemisry)
(At 1/100 staining mouse kidney tissue sections by IHC-P. The tissue was formaldehyde fixed and a heat mediated antigen retrieval step in citrate buffer was performed. The tissue was then blocked and incubated with the antibody for 1.5 hours at 22 degree C. An HRP conjugated goat anti-rabbit antibody was used as the secondary)
IHC (Immunohiostchemistry)
(At 1/100 staining rat heart tissue sections by IHC-P. The tissue was formaldehyde fixed and a heat mediated antigen retrieval step in citrate buffer was performed. The tissue was then blocked and incubated with the antibody for 1.5 hours at 22 degree C. An HRP conjugated goat anti-rabbit antibody was used as the secondary)
IHC (Immunohistochemistry)
(At 1/100 staining human heart tissue sections by IHC-P. The tissue was formaldehyde fixed and a heat mediated antigen retrieval step in citrate buffer was performed. The tissue was then blocked and incubated with the antibody for 1.5 hours at 22 degree C. An HRP conjugated goat anti-rabbit antibody was used as the secondary)
Post Translational Modifications: Autophosphorylated. Autophosphorylation at Tyr-474 is necessary for effective NOD2 signaling. Phosphorylated. Phosphorylation at Tyr-381 by Src kinase CSK occurs in a ARHGEF2-dependent manner and is required for NOD2-dependent innate immune activation. Ubiquitinated on Lys-209; undergoes 'Lys-63'-linked polyubiquitination catalyzed by ITCH. Polyubiquitinated with 'Lys-48' and 'Lys-63'-linked chains by BIRC2/c-IAP1 and BIRC3/c-IAP2, leading to activation of NF-kappa-B. Also undergoes 'Met-1'-linked polyubiquitination; the head-to-tail linear polyubiquitination is mediated by the LUBAC complex in response to NOD2 stimulation. Linear polyubiquitination is restricted by FAM105B/otulin, probably to limit NOD2-dependent proinflammatory signaling activation of NF-kappa-B.
Subunit Structure: Found in a signaling complex consisting of at least ARHGEF2, NOD2 and RIPK2. Interacts with ARHGEF2; the interaction mediates tyrosine phosphorylation of RIPK2 by Src kinase CSK. Binds to CFLAR/CLARP and CASP1 via their CARD domains. Binds to BIRC3/c-IAP1 and BIRC2/c-IAP2, TRAF1, TRAF2, TRAF5 and TRAF6. May be a component of both the TNFRSF1A and TNRFSF5/CD40 receptor complex. Interacts with NOD1. Interacts (via CARD domain) with NOD2 (via CARD domain). Interacts with MAP3K4; this interaction sequesters RIPK2 from the NOD2 signaling pathway. Interacts with IKBKG/NEMO. The polyubiquitinated protein interacts with MAP3K7/TAK1. Interacts with XIAP/BIRC4. Interacts with NLRP10. Interacts with CARD9. Interacts with INAVA; the interaction takes place upon PRR stimulation (PubMed:28436939).
Similarity: Contains an N-terminal kinase domain and a C-terminal caspase activation and recruitment domain (CARD) that mediates the recruitment of CARD-containing proteins. Belongs to the protein kinase superfamily. TKL Ser/Thr protein kinase family.
NCBI and Uniprot Product Information
Predicted: 62 kDa
Customer Reviews
Loading reviews...
Share Your Experience
Similar Products
Product Notes
The RIPK2 ripk2 (Catalog #AAA328296) is an Antibody produced from Rabbit and is intended for research purposes only. The product is available for immediate purchase. The Phospho-RIPK2 (Ser531) Antibody reacts with Human, Mouse, Rat Predicted: Horse and may cross-react with other species as described in the data sheet. AAA Biotech's RIPK2 can be used in a range of immunoassay formats including, but not limited to, ELISA (Peptide ELISA), IHC (Immunohistochemistry), WB (Western Blot). Researchers should empirically determine the suitability of the RIPK2 ripk2 for an application not listed in the data sheet. Researchers commonly develop new applications and it is an integral, important part of the investigative research process. It is sometimes possible for the material contained within the vial of "RIPK2, Polyclonal Antibody" to become dispersed throughout the inside of the vial, particularly around the seal of said vial, during shipment and storage. We always suggest centrifuging these vials to consolidate all of the liquid away from the lid and to the bottom of the vial prior to opening. Please be advised that certain products may require dry ice for shipping and that, if this is the case, an additional dry ice fee may also be required.Precautions
All products in the AAA Biotech catalog are strictly for research-use only, and are absolutely not suitable for use in any sort of medical, therapeutic, prophylactic, in-vivo, or diagnostic capacity. By purchasing a product from AAA Biotech, you are explicitly certifying that said products will be properly tested and used in line with industry standard. AAA Biotech and its authorized distribution partners reserve the right to refuse to fulfill any order if we have any indication that a purchaser may be intending to use a product outside of our accepted criteria.Disclaimer
Though we do strive to guarantee the information represented in this datasheet, AAA Biotech cannot be held responsible for any oversights or imprecisions. AAA Biotech reserves the right to adjust any aspect of this datasheet at any time and without notice. It is the responsibility of the customer to inform AAA Biotech of any product performance issues observed or experienced within 30 days of receipt of said product. To see additional details on this or any of our other policies, please see our Terms & Conditions page.Item has been added to Shopping Cart
If you are ready to order, navigate to Shopping Cart and get ready to checkout.
