Rabbit RPS3 Polyclonal Antibody | anti-RPS3 antibody
RPS3 Antibody
Phosphate buffered saline, pH 7.4, 150mM NaCl, 0.02% sodium azide and 50% glycerol.
IF (Immunofluorescence)
(AAA326742 staining HepG2 by IF/ICC. The sample were fixed with PFA and permeabilized in 0.1% Triton X-100, then blocked in 10% serum for 45 minutes at 25 degree C. The primary antibody was diluted at 1/200 and incubated with the sample for 1 hour at 37 degree C. An Alexa Fluor 594 conjugated goat anti-rabbit IgG (H+L) Ab, diluted at 1/600, was used as the secondary antibody.)
WB (Western Blot)
(Western blot analysis of Hepg2 whole cell lysates, using RPS3 Antibody. The lane on the left is treated with the antigen-specific peptide.)
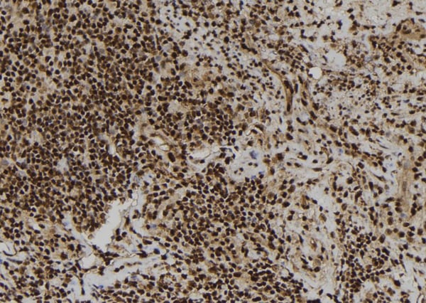
IHC (Immunohistochemistry)
(AAA326742 at 1/100 staining Human spleen tissue by IHC-P. The sample was formaldehyde fixed and a heat mediated antigen retrieval step in citrate buffer was performed. The sample was then blocked and incubated with the antibody for 1.5 hours at 22 degree C. An HRP conjugated goat anti-rabbit antibody was used as the secondary.)
Function: Involved in translation as a component of the 40S small ribosomal subunit (PubMed:8706699). Has endonuclease activity and plays a role in repair of damaged DNA (PubMed:7775413). Cleaves phosphodiester bonds of DNAs containing altered bases with broad specificity and cleaves supercoiled DNA more efficiently than relaxed DNA (PubMed:15707971). Displays high binding affinity for 7, 8-dihydro-8-oxoguanine (8-oxoG), a common DNA lesion caused by reactive oxygen species (ROS) (PubMed:14706345). Has also been shown to bind with similar affinity to intact and damaged DNA (PubMed:18610840). Stimulates the N-glycosylase activity of the base excision protein OGG1 (PubMed:15518571). Enhances the uracil excision activity of UNG1 (PubMed:18973764). Also stimulates the cleavage of the phosphodiester backbone by APEX1 (PubMed:18973764). When located in the mitochondrion, reduces cellular ROS levels and mitochondrial DNA damage (PubMed:23911537). Has also been shown to negatively regulate DNA repair in cells exposed to hydrogen peroxide (PubMed:17049931). Plays a role in regulating transcription as part of the NF-kappa-B p65-p50 complex where it binds to the RELA/p65 subunit, enhances binding of the complex to DNA and promotes transcription of target genes (PubMed:18045535). Represses its own translation by binding to its cognate mRNA (PubMed:20217897). Binds to and protects TP53/p53 from MDM2-mediated ubiquitination (PubMed:19656744). Involved in spindle formation and chromosome movement during mitosis by regulating microtubule polymerization (PubMed:23131551). Involved in induction of apoptosis through its role in activation of CASP8 (PubMed:14988002). Induces neuronal apoptosis by interacting with the E2F1 transcription factor and acting synergistically with it to up-regulate pro-apoptotic proteins BCL2L11/BIM and HRK/Dp5 (PubMed:20605787). Interacts with TRADD following exposure to UV radiation and induces apoptosis by caspase-dependent JNK activation (PubMed:22510408).
Subunit Structure: Component of the 40S small ribosomal subunit (PubMed:8706699). Identified in a IGF2BP1-dependent mRNP granule complex containing untranslated mRNAs (PubMed:17289661). Interacts with HNRPD (PubMed:24423872). Interacts with PRMT1; the interaction methylates RPS3 (PubMed:19460357). Interacts with SUMO1; the interaction sumoylates RPS3 (PubMed:21968017). Interacts with UBC9 (PubMed:21968017). Interacts with CDK1; the interaction phosphorylates RPS3 (PubMed:21871177). Interacts with PRKCD; the interaction phosphorylates RPS3 (PubMed:19059439). Interacts with PKB/AKT; the interaction phosphorylates RPS3 (PubMed:20605787). Interacts with E2F1; the interaction occurs in the absence of nerve growth factor and increases transcription of pro-apoptotic proteins BCL2L11/BIM and HRK/Dp5 (PubMed:20605787). Interacts with the base excision repair proteins APEX1 and OGG1; interaction with OGG1 increases OGG1 N-glycosylase activity (PubMed:15518571). Interacts with UNG; the interaction increases the uracil excision activity of UNG1 (PubMed:18973764). Interacts with HSP90; the interaction prevents the ubiquitination and proteasome-dependent degradation of RPS3 and is suppressed by increased ROS levels (PubMed:16314389). Interacts with TOM70; the interaction promotes translocation of RPS3 to the mitochondrion (PubMed:23911537). Interacts (via N-terminus) with RELA (via N-terminus); the interaction enhances the DNA-binding activity of the NF-kappa-B p65-p50 complex (PubMed:18045535). Interacts with NFKBIA; the interaction is direct and may bridge the interaction between RPS3 and RELA (PubMed:24457201). Interacts with IKKB; the interaction phosphorylates RPS3 and enhances its translocation to the nucleus (PubMed:21399639). Interacts (via KH domain) with MDM2 and TP53 (PubMed:19656744). Interacts with TRADD (PubMed:22510408). Interacts (via N-terminus) with E.coli O157:H7 (strain EDL933) nleH1 and nleH2; the interaction with nleH1 inhibits phosphorylation by IKKB, reduces RPS3 nuclear abundance and inhibits transcriptional activation by the NF-kappa-B p65-p50 complex (PubMed:20041225, PubMed:21399639). Identified in a HCV IRES-mediated translation complex, at least composed of EIF3C, IGF2BP1, RPS3 and HCV RNA-replicon (PubMed:19541769). Interacts with CRY1 (By similarity).
Post-translational Modifications: Methylation by PRMT1 is required for import into the nucleolus and for ribosome assembly. Sumoylation by SUMO1 enhances protein stability through increased resistance to proteolysis. Sumoylation occurs at one or more of the three consensus sites, Lys-18, Lys-214 and Lys-230. Phosphorylation at Thr-221 by CDK1 occurs mainly in G2/M phase (PubMed:21871177). Phosphorylation by PRKCD occurs on a non-ribosomal-associated form which results in translocation of RPS3 to the nucleus and enhances its endonuclease activity (PubMed:19059439). Phosphorylated on Ser-209 by IKKB in response to activation of the NF-kappa-B p65-p50 complex which enhances the association of RPS3 with importin-alpha and mediates the nuclear translocation of RPS3 (PubMed:21399639). Phosphorylation by MAPK is required for translocation to the nucleus following exposure of cells to DNA damaging agents such as hydrogen peroxide (PubMed:17560175). Phosphorylation by PKB/AKT mediates RPS3 nuclear translocation, enhances RPS3 endonuclease activity and suppresses RPS3-induced neuronal apoptosis (PubMed:20605787). Ubiquitinated (PubMed:16314389). This is prevented by interaction with HSP90 which stabilizes the protein (PubMed:16314389). Monoubiquitinated at Lys-214 by ZNF598 when a ribosome has stalled during translation of poly(A) sequences, leading to preclude synthesis of a long poly-lysine tail and initiate the ribosome quality control (RQC) pathway to degrade the potentially detrimental aberrant nascent polypeptide (PubMed:28065601, PubMed:28132843).
Similarity: Belongs to the universal ribosomal protein uS3 family.
NCBI and Uniprot Product Information
Predicted: 27 kDa
Customer Reviews
Loading reviews...
Share Your Experience
Similar Products
Product Notes
The RPS3 rps3 (Catalog #AAA326742) is an Antibody produced from Rabbit and is intended for research purposes only. The product is available for immediate purchase. The RPS3 Antibody reacts with Human, Mouse, Rat and may cross-react with other species as described in the data sheet. AAA Biotech's RPS3 can be used in a range of immunoassay formats including, but not limited to, ELISA, ICC (Immunocytochemistry), IF (Immunofluorescence), IHC (Immunohistochemistry), WB (Western Blot). Researchers should empirically determine the suitability of the RPS3 rps3 for an application not listed in the data sheet. Researchers commonly develop new applications and it is an integral, important part of the investigative research process. It is sometimes possible for the material contained within the vial of "RPS3, Polyclonal Antibody" to become dispersed throughout the inside of the vial, particularly around the seal of said vial, during shipment and storage. We always suggest centrifuging these vials to consolidate all of the liquid away from the lid and to the bottom of the vial prior to opening. Please be advised that certain products may require dry ice for shipping and that, if this is the case, an additional dry ice fee may also be required.Precautions
All products in the AAA Biotech catalog are strictly for research-use only, and are absolutely not suitable for use in any sort of medical, therapeutic, prophylactic, in-vivo, or diagnostic capacity. By purchasing a product from AAA Biotech, you are explicitly certifying that said products will be properly tested and used in line with industry standard. AAA Biotech and its authorized distribution partners reserve the right to refuse to fulfill any order if we have any indication that a purchaser may be intending to use a product outside of our accepted criteria.Disclaimer
Though we do strive to guarantee the information represented in this datasheet, AAA Biotech cannot be held responsible for any oversights or imprecisions. AAA Biotech reserves the right to adjust any aspect of this datasheet at any time and without notice. It is the responsibility of the customer to inform AAA Biotech of any product performance issues observed or experienced within 30 days of receipt of said product. To see additional details on this or any of our other policies, please see our Terms & Conditions page.Item has been added to Shopping Cart
If you are ready to order, navigate to Shopping Cart and get ready to checkout.
