Rabbit RUVBL2 Polyclonal Antibody | anti-RUVBL2 antibody
RUVBL2 Antibody
Phosphate buffered saline, pH 7.4, 150mM NaCl, 0.02% sodium azide and 50% glycerol.
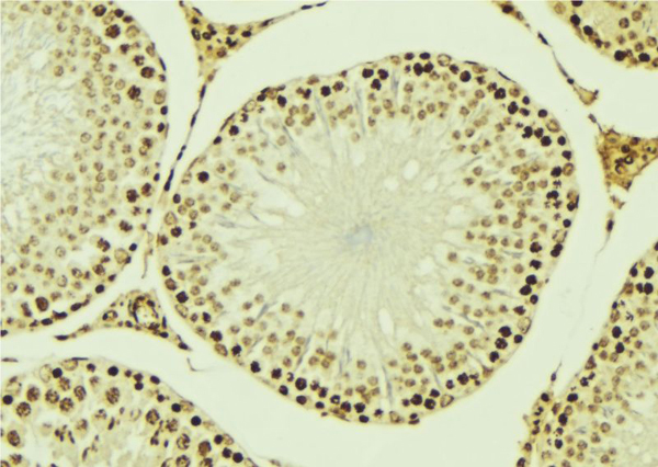
IHC (Immunohiostchemistry)
(AAA326449 at 1/100 staining Mouse testis tissue by IHC-P. The sample was formaldehyde fixed and a heat mediated antigen retrieval step in citrate buffer was performed. The sample was then blocked and incubated with the antibody for 1.5 hours at 22 degree C. An HRP conjugated goat anti-rabbit antibody was used as the secondary.)
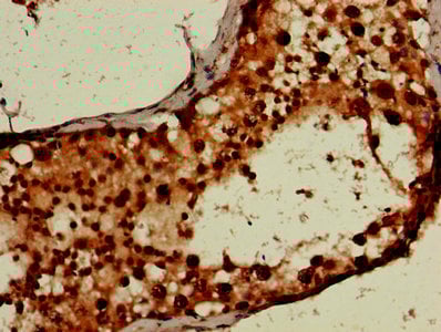
WB (Western Blot)
(Western blot analysis of Hela whole cell lysates, using RUVBL2 Antibody. The lane on the left is treated with the antigen-specific peptide.)
Function: Possesses single-stranded DNA-stimulated ATPase and ATP-dependent DNA helicase (5' to 3') activity; hexamerization is thought to be critical for ATP hydrolysis and adjacent subunits in the ring-like structure contribute to the ATPase activity.
Subunit Structure: Forms homohexameric rings (Probable). Can form a dodecamer with RUVBL1 made of two stacked hexameric rings; however, even though RUVBL1 and RUVBL2 are present in equimolar ratio, the oligomeric status of each hexamer is not known. Oligomerization may regulate binding to nucleic acids and conversely, binding to nucleic acids may affect the dodecameric assembly. Interacts with the transcriptional activation domain of MYC. Interacts With ATF2. Component of the RNA polymerase II holoenzyme complex. May also act to bridge the LEF1/TCF1-CTNNB1 complex and TBP. Component of the NuA4 histone acetyltransferase complex which contains the catalytic subunit KAT5/TIP60 and the subunits EP400, TRRAP/PAF400, BRD8/SMAP, EPC1, DMAP1/DNMAP1, RUVBL1/TIP49, RUVBL2, ING3, actin, ACTL6A/BAF53A, MORF4L1/MRG15, MORF4L2/MRGX, MRGBP, YEATS4/GAS41, VPS72/YL1 and MEAF6. The NuA4 complex interacts with MYC and the adenovirus E1A protein. RUVBL2 interacts with EP400. Component of a NuA4-related complex which contains EP400, TRRAP/PAF400, SRCAP, BRD8/SMAP, EPC1, DMAP1/DNMAP1, RUVBL1/TIP49, RUVBL2, actin, ACTL6A/BAF53A, VPS72 and YEATS4/GAS41. Interacts with NPAT. Component of the chromatin-remodeling INO80 complex; specifically part of a complex module associated with the helicase ATP-binding and the helicase C-terminal domain of INO80. Component of some MLL1/MLL complex, at least composed of the core components KMT2A/MLL1, ASH2L, HCFC1/HCF1, WDR5 and RBBP5, as well as the facultative components BAP18, CHD8, E2F6, HSP70, INO80C, KANSL1, LAS1L, MAX, MCRS1, MGA, MYST1/MOF, PELP1, PHF20, PRP31, RING2, RUVB1/TIP49A, RUVB2/TIP49B, SENP3, TAF1, TAF4, TAF6, TAF7, TAF9 and TEX10. Interacts with IGHMBP2. Interacts with TELO2. Interacts with HINT1. Component of a SWR1-like complex. Component of the R2TP complex composed at least of PIHD1, RUVBL1, RUVBL2 and RPAP3 (PubMed:20864032). Interacts with ITFG1 (PubMed:25437307). Interacts with WAC; WAC positively regulates MTOR activity by promoting the assembly of the TTT complex composed of TELO2, TTI1 and TTI2 and the RUVBL complex composed of RUVBL1 and RUVBL2 into the TTT-RUVBL complex which leads to the dimerization of the mTORC1 complex and its subsequent activation (PubMed:26812014).
Similarity: The C-terminal domain is required for association with ATF2. Belongs to the RuvB family.
NCBI and Uniprot Product Information
Predicted: 52 kDa
Customer Reviews
Loading reviews...
Share Your Experience
Similar Products
Product Notes
The RUVBL2 ruvbl2 (Catalog #AAA326449) is an Antibody produced from Rabbit and is intended for research purposes only. The product is available for immediate purchase. The RUVBL2 Antibody reacts with Human, Mouse, Rat and may cross-react with other species as described in the data sheet. AAA Biotech's RUVBL2 can be used in a range of immunoassay formats including, but not limited to, ELISA, IHC (Immunohistochemistry), WB (Western Blot). Researchers should empirically determine the suitability of the RUVBL2 ruvbl2 for an application not listed in the data sheet. Researchers commonly develop new applications and it is an integral, important part of the investigative research process. It is sometimes possible for the material contained within the vial of "RUVBL2, Polyclonal Antibody" to become dispersed throughout the inside of the vial, particularly around the seal of said vial, during shipment and storage. We always suggest centrifuging these vials to consolidate all of the liquid away from the lid and to the bottom of the vial prior to opening. Please be advised that certain products may require dry ice for shipping and that, if this is the case, an additional dry ice fee may also be required.Precautions
All products in the AAA Biotech catalog are strictly for research-use only, and are absolutely not suitable for use in any sort of medical, therapeutic, prophylactic, in-vivo, or diagnostic capacity. By purchasing a product from AAA Biotech, you are explicitly certifying that said products will be properly tested and used in line with industry standard. AAA Biotech and its authorized distribution partners reserve the right to refuse to fulfill any order if we have any indication that a purchaser may be intending to use a product outside of our accepted criteria.Disclaimer
Though we do strive to guarantee the information represented in this datasheet, AAA Biotech cannot be held responsible for any oversights or imprecisions. AAA Biotech reserves the right to adjust any aspect of this datasheet at any time and without notice. It is the responsibility of the customer to inform AAA Biotech of any product performance issues observed or experienced within 30 days of receipt of said product. To see additional details on this or any of our other policies, please see our Terms & Conditions page.Item has been added to Shopping Cart
If you are ready to order, navigate to Shopping Cart and get ready to checkout.
