anti-Human S100A9 Polyclonal Antibody | anti-S100A9 antibody
Anti-S100A9 Antibody
IHC (Immunohistochemisry)
(Anti- S100A9 Picoband antibody, AAA46240, IHC(P)IHC(P): Human Appendicitis Tissue)
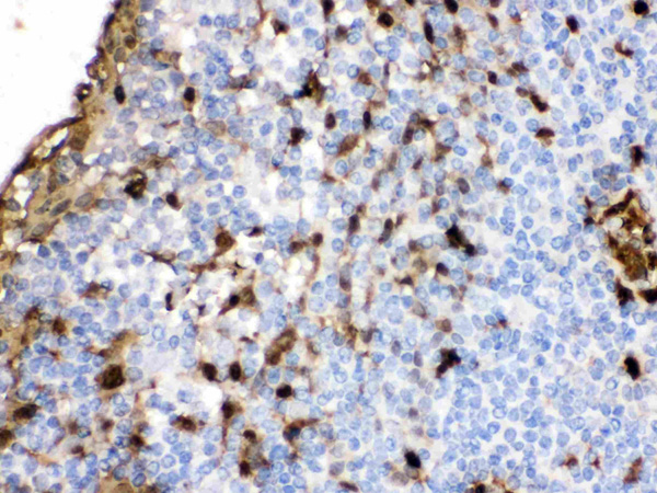
IHC (Immunohiostchemistry)
(Anti- S100A9 Picoband antibody, AAA46240, IHC(P)IHC(P): Human Tonsil Tissue)
WB (Western Blot)
(Anti- S100A9 Picoband antibody, AAA46240, Western blottingAll lanes: Anti S100A9 (AAA46240) at 0.5ug/mlLane 1: A431 Whole Cell Lysate at 40ugLane 2: MCF-7 Whole Cell Lysate at 40ugPredicted bind size: 13KDObserved bind size: 13KD)
Background: S100 calcium-binding protein A9 (S100A9), also known as migration inhibitory factor-related protein 14 (MRP14) or calgranulin B, is a protein that in humans is encoded by the S100A9 gene. S100-A9 is a member of the S100 family of proteins containing 2 EF hand calcium-binding motifs. And S100 proteins are localized in the cytoplasm and/or nucleus of a wide range of cells, and involved in the regulation of a number of cellular processes such as cell cycle progression and differentiation. S100 genes include at least 13 members which are located as a cluster on chromosome 1q21. This protein may function in the inhibition of casein kinase.
NCBI and Uniprot Product Information
Customer Reviews
Loading reviews...
Share Your Experience
Similar Products
Product Notes
The S100A9 s100a9 (Catalog #AAA46240) is an Antibody and is intended for research purposes only. The product is available for immediate purchase. The Anti-S100A9 Antibody reacts with Human and may cross-react with other species as described in the data sheet. AAA Biotech's S100A9 can be used in a range of immunoassay formats including, but not limited to, ELISA, IHC (Immunohistochemistry), WB (Western Blot). Researchers should empirically determine the suitability of the S100A9 s100a9 for an application not listed in the data sheet. Researchers commonly develop new applications and it is an integral, important part of the investigative research process. It is sometimes possible for the material contained within the vial of "S100A9, Polyclonal Antibody" to become dispersed throughout the inside of the vial, particularly around the seal of said vial, during shipment and storage. We always suggest centrifuging these vials to consolidate all of the liquid away from the lid and to the bottom of the vial prior to opening. Please be advised that certain products may require dry ice for shipping and that, if this is the case, an additional dry ice fee may also be required.Precautions
All products in the AAA Biotech catalog are strictly for research-use only, and are absolutely not suitable for use in any sort of medical, therapeutic, prophylactic, in-vivo, or diagnostic capacity. By purchasing a product from AAA Biotech, you are explicitly certifying that said products will be properly tested and used in line with industry standard. AAA Biotech and its authorized distribution partners reserve the right to refuse to fulfill any order if we have any indication that a purchaser may be intending to use a product outside of our accepted criteria.Disclaimer
Though we do strive to guarantee the information represented in this datasheet, AAA Biotech cannot be held responsible for any oversights or imprecisions. AAA Biotech reserves the right to adjust any aspect of this datasheet at any time and without notice. It is the responsibility of the customer to inform AAA Biotech of any product performance issues observed or experienced within 30 days of receipt of said product. To see additional details on this or any of our other policies, please see our Terms & Conditions page.Item has been added to Shopping Cart
If you are ready to order, navigate to Shopping Cart and get ready to checkout.
