Rabbit anti-Human SDHB Polyclonal Antibody | anti-SDHB antibody
SDHB Polyclonal Antibody
Gene Names
SDHB; IP; SDH; CWS2; PGL4; SDH1; SDH2; SDHIP
Reactivity
Human
Applications
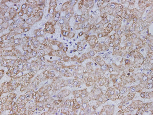
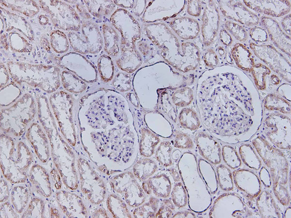
Immunohistochemistry
Purity
Antigen Affinity Purification
Synonyms
SDHB, Antibody; SDHB Polyclonal Antibody; CWS2; DHSB; Ip; Iron sulfur subunit; Iron sulfur subunit of complex II; Iron-sulfur subunit of complex II; mitochondrial; PGL 4; PGL4; SDH 1; SDH; SDH1; SDH2; homolog of; SdhB; SDHIP; Succinate dehydrogenase [ubiquinone] iron sulfur protein mitochondrial; Succinate dehydrogenase [ubiquinone] iron sulfur subunit; Succinate dehydrogenase [ubiquinone] iron-sulfur subunit; succinate dehydrogenase [ubiquinone] iron-sulfur subunit; Succinate Dehydrogenase 1 Iron Sulfur Subunit; Succinate Dehydrogenase 2; S. cerevisiae; Succinate dehydrogenase complex iron sulfur subunit B; Succinate dehydrogenase complex subunit B iron sulfur; Succinate Dehydrogenase Complex Subunit B Iron Sulfur Protein; succinate dehydrogenase complex; subunit B; iron sulfur (Ip); Succinate dehydrogenase iron sulfur protein; anti-SDHB antibody
Host
Rabbit
Reactivity
Human
Clonality
Polyclonal
Isotype
IgG
Purity/Purification
Antigen Affinity Purification
Form/Format
PBS with 0.02% sodium azide,1% protective protein and 50% glycerol,pH7.4
Concentration
1mg/mL (varies by lot)
Applicable Applications for anti-SDHB antibody
IHC (Immunohistochemistry)
Immunogen
Recombinant Human SDHB protein expressed by E coli
Preparation and Storage
Store at -20 degree C Valid for 12 months. Avoid freeze/thaw cycles.
Related Product Information for anti-SDHB antibody
Complex II of the respiratory chain, which is specifically involved in the oxidation of succinate, carries electrons from FADH to CoQ. The complex is composed of four nuclear-encoded subunits and is localized in the mitochondrial inner membrane. The iron-sulfur subunit is highly conserved and contains three cysteine-rich clusters which may comprise the iron-sulfur centers of the enzyme. Sporadic and familial mutations in this gene result in paragangliomas and pheochromocytoma, and support a link between mitochondrial dysfunction and tumorigenesis.
Product Categories/Family for anti-SDHB antibody
NCBI and Uniprot Product Information
NCBI GI #
NCBI GeneID
Molecular Weight
31,630 Da
NCBI Official Full Name
Succinate dehydrogenase
NCBI Official Synonym Full Names
succinate dehydrogenase complex, subunit B, iron sulfur (Ip)
NCBI Official Symbol
SDHB
NCBI Official Synonym Symbols
IP; SDH; CWS2; PGL4; SDH1; SDH2; SDHIP
NCBI Protein Information
succinate dehydrogenase [ubiquinone] iron-sulfur subunit, mitochondrial; succinate dehydrogenase [ubiquinone] iron-sulfur subunit, mitochondrial; iron-sulfur subunit of complex II
UniProt Protein Name
Succinate dehydrogenase [ubiquinone] iron-sulfur subunit, mitochondrial
UniProt Gene Name
SDHB
UniProt Synonym Gene Names
SDH; SDH1; Ip
UniProt Entry Name
SDHB_HUMAN
Similar Products
Product Notes
The SDHB sdhb (Catalog #AAA179797) is an Antibody produced from Rabbit and is intended for research purposes only. The product is available for immediate purchase. The SDHB Polyclonal Antibody reacts with Human and may cross-react with other species as described in the data sheet. AAA Biotech's SDHB can be used in a range of immunoassay formats including, but not limited to, IHC (Immunohistochemistry). Researchers should empirically determine the suitability of the SDHB sdhb for an application not listed in the data sheet. Researchers commonly develop new applications and it is an integral, important part of the investigative research process. It is sometimes possible for the material contained within the vial of "SDHB, Polyclonal Antibody" to become dispersed throughout the inside of the vial, particularly around the seal of said vial, during shipment and storage. We always suggest centrifuging these vials to consolidate all of the liquid away from the lid and to the bottom of the vial prior to opening. Please be advised that certain products may require dry ice for shipping and that, if this is the case, an additional dry ice fee may also be required.Precautions
All products in the AAA Biotech catalog are strictly for research-use only, and are absolutely not suitable for use in any sort of medical, therapeutic, prophylactic, in-vivo, or diagnostic capacity. By purchasing a product from AAA Biotech, you are explicitly certifying that said products will be properly tested and used in line with industry standard. AAA Biotech and its authorized distribution partners reserve the right to refuse to fulfill any order if we have any indication that a purchaser may be intending to use a product outside of our accepted criteria.Disclaimer
Though we do strive to guarantee the information represented in this datasheet, AAA Biotech cannot be held responsible for any oversights or imprecisions. AAA Biotech reserves the right to adjust any aspect of this datasheet at any time and without notice. It is the responsibility of the customer to inform AAA Biotech of any product performance issues observed or experienced within 30 days of receipt of said product. To see additional details on this or any of our other policies, please see our Terms & Conditions page.Item has been added to Shopping Cart
If you are ready to order, navigate to Shopping Cart and get ready to checkout.
