Rabbit SELP/P-Selectin/CD62P Polyclonal Antibody | anti-SELP antibody
SELP/P-Selectin/CD62P Rabbit anti-Human Polyclonal (81-130 aa, N-terminal) Antibody
Gene Names
SELP; CD62; GRMP; PSEL; CD62P; GMP140; LECAM3; PADGEM
Reactivity
Mouse, Rat, Human
Applications
Western Blot, Immunohistochemistry, Immunohistochemistry, ELISA
Purity
Immunoaffinity purified
Synonyms
SELP/P-Selectin/CD62P, Antibody; SELP/P-Selectin/CD62P Rabbit anti-Human Polyclonal (81-130 aa, N-terminal) Antibody; IHC-plus SELP/P-Selectin/CD62P Antibody (81-130 aa; N-terminal); SELP; CD62P; CD62; GMP-140; GMRP; Granule membrane protein 140; LECAM3; P-selectin; PSEL; CD62P antigen; GMP140; Granulocyte membrane protein; GRMP; PADGEM; anti-SELP antibody
Host
Rabbit
Reactivity
Mouse, Rat, Human
Clonality
Polyclonal
Isotype
IgG
Specificity
P-Selectin Polyclonal Antibody detects endogenous levels of P-Selectin protein.
Purity/Purification
Immunoaffinity purified
Form/Format
PBS, 0.02% Sodium Azide, 50% Glycerol, 0.5% BSA
Concentration
1mg/ml (varies by lot)
Applicable Applications for anti-SELP antibody
WB (Western Blot), IHC (Immunohistochemistry), IHC (Immunohistochemistry), ELISA
Target
Human SELP/P-Selectin/CD62P
Immunogen
Synthesized peptide derived from human P-Selectin.
Conjugation
Unconjugated
Epitope
81-130 aa, N-terminal
Preparation and Storage
Store at -20 degree C. Avoid freeze-thaw cycles.
Related Product Information for anti-SELP antibody
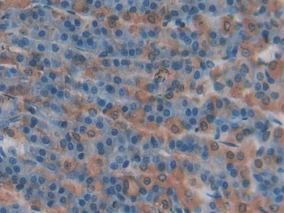
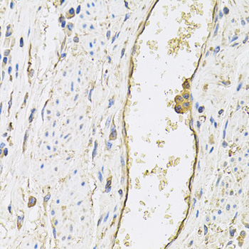
CD62P antibody is an unconjugated rabbit polyclonal antibody to CD62P (SELP/P-Selectin)(81-130 aa, N-terminal) from human. It is reactive with human, mouse and rat. Validated for ELISA, IHC and WB. Tested on 20 paraffin-embedded human tissues.
NCBI and Uniprot Product Information
NCBI GI #
NCBI GeneID
NCBI Accession #
NCBI GenBank Nucleotide #
Molecular Weight
90,834 Da
NCBI Official Full Name
P-selectin
NCBI Official Synonym Full Names
selectin P (granule membrane protein 140kDa, antigen CD62)
NCBI Official Symbol
SELP
NCBI Official Synonym Symbols
CD62; GRMP; PSEL; CD62P; GMP140; LECAM3; PADGEM
NCBI Protein Information
P-selectin; GMP-140; granule membrane protein 140; granulocyte membrane protein; CD62 antigen-like family member P; platelet alpha-granule membrane protein; leukocyte-endothelial cell adhesion molecule 3; platelet activation dependent granule-external mem
UniProt Protein Name
P-selectin
UniProt Gene Name
SELP
UniProt Synonym Gene Names
GMRP; GRMP; GMP-140; LECAM3; PADGEM
UniProt Entry Name
LYAM3_HUMAN
Customer Reviews
Loading reviews...
Share Your Experience
Similar Products
Product Notes
The SELP selp (Catalog #AAA162717) is an Antibody produced from Rabbit and is intended for research purposes only. The product is available for immediate purchase. The SELP/P-Selectin/CD62P Rabbit anti-Human Polyclonal (81-130 aa, N-terminal) Antibody reacts with Mouse, Rat, Human and may cross-react with other species as described in the data sheet. AAA Biotech's SELP/P-Selectin/CD62P can be used in a range of immunoassay formats including, but not limited to, WB (Western Blot), IHC (Immunohistochemistry), IHC (Immunohistochemistry), ELISA. Researchers should empirically determine the suitability of the SELP selp for an application not listed in the data sheet. Researchers commonly develop new applications and it is an integral, important part of the investigative research process. It is sometimes possible for the material contained within the vial of "SELP/P-Selectin/CD62P, Polyclonal Antibody" to become dispersed throughout the inside of the vial, particularly around the seal of said vial, during shipment and storage. We always suggest centrifuging these vials to consolidate all of the liquid away from the lid and to the bottom of the vial prior to opening. Please be advised that certain products may require dry ice for shipping and that, if this is the case, an additional dry ice fee may also be required.Precautions
All products in the AAA Biotech catalog are strictly for research-use only, and are absolutely not suitable for use in any sort of medical, therapeutic, prophylactic, in-vivo, or diagnostic capacity. By purchasing a product from AAA Biotech, you are explicitly certifying that said products will be properly tested and used in line with industry standard. AAA Biotech and its authorized distribution partners reserve the right to refuse to fulfill any order if we have any indication that a purchaser may be intending to use a product outside of our accepted criteria.Disclaimer
Though we do strive to guarantee the information represented in this datasheet, AAA Biotech cannot be held responsible for any oversights or imprecisions. AAA Biotech reserves the right to adjust any aspect of this datasheet at any time and without notice. It is the responsibility of the customer to inform AAA Biotech of any product performance issues observed or experienced within 30 days of receipt of said product. To see additional details on this or any of our other policies, please see our Terms & Conditions page.Item has been added to Shopping Cart
If you are ready to order, navigate to Shopping Cart and get ready to checkout.
