Rabbit anti-Human, Rat SELPLG Polyclonal Antibody | anti-SELPLG antibody
SELPLG Antibody
Phosphate buffered saline, pH 7.4, 150mM NaCl, 0.02% sodium azide and 50% glycerol.
WB (Western Blot)
(Western blot analysis of extracts of Jurkat, using SELPLG antibody. The lane on the left is treated with the antigen-specific peptide.)
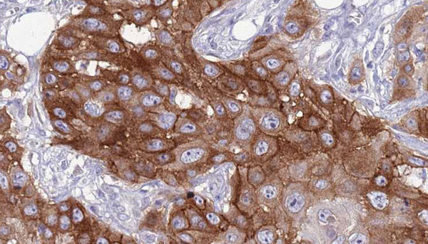
IHC (Immunohistochemistry)
(AAA326302 at 1/100 staining Human Head and neck cancer tissue by IHC-P. The sample was formaldehyde fixed and a heat mediated antigen retrieval step in citrate buffer was performed. The sample was then blocked and incubated with the antibody for 1.5 hours at 22 degree C. An HRP conjugated goat anti-rabbit antibody was used as the secondary.)
Function: A SLe(x)-type proteoglycan, which through high affinity, calcium-dependent interactions with E-, P-and L-selectins, mediates rapid rolling of leukocytes over vascular surfaces during the initial steps in inflammation. Critical for the initial leukocyte capture.
Subunit Structure: Homodimer; disulfide-linked. Interaction with P-, E-and L-selectins, through their lectin/EGF domains, is required for promoting recruitment and rolling of leukocytes. These interactions require sialyl Lewis X glycan modification but there is a differing dependence for tyrosine sulfations. Sulfation on Tyr-51 of PSGL1 is most important for high affinity L-selectin/SELL binding while P-selectin/SELP requires sulfation on Tyr-48. E-selectin/SELE binds with much lower affinity and requires the sLe(x) epitope, but apparantly not tyrosine sulfation. Dimerization appears not to be required for P-selectin/SELP binding. Interacts with SNX20. Interacts with MSN and SYK; mediates the activation of SYK by SELPLG.
Post-translational Modifications: Displays complex, core-2, sialylated and fucosylated O-linked oligosaccharides, at least some of which appear to contain poly-N-acetyllactosamine with varying degrees of substitution. Mainly disialylated or neutral forms of the core-2 tetrasaccharide, Galbeta1--> 4GlcNAcbeta1--> 6(Galbeta1--> 3)GalNAcOH. The GlcN:GalN ratio is approximately 2:1 and the Man:Fuc ratio 3:5. Contains about 14% fucose with alpha-1, 3 linkage present in two forms: One species is a disialylated, monofucosylated glycan, and the other, a monosialylated, trifucosylated glycan with a polylactosamine backbone. The fucosylated forms carry the Lewis antigen and are important for interaction with selectins and for functioning in leukocyte rolling. The modification containing the sialyl Lewis X glycan is on Thr-57. No sulfated O-glycans. Some N-glycosylation.Sulfation, in conjunction with the SLe(x)-containing glycan, is necessary for P-and L-selectin binding. High affinity P-selectin binding has a preferred requirement for the isomer sulfated on both Tyr-48 and Tyr-51, whereas L-selectin binding requires predominantly sulfation on Tyr-51 with sulfation on Tyr-48 playing only a minor role. These sulfations play an important role in L-and P-selectin-mediated neutrophil recruitment, and leukocyte rolling.
NCBI and Uniprot Product Information
Predicted: 44 kDa
Customer Reviews
Loading reviews...
Share Your Experience
Similar Products
Product Notes
The SELPLG selplg (Catalog #AAA326302) is an Antibody produced from Rabbit and is intended for research purposes only. The product is available for immediate purchase. The SELPLG Antibody reacts with Human, Rat and may cross-react with other species as described in the data sheet. AAA Biotech's SELPLG can be used in a range of immunoassay formats including, but not limited to, ELISA, IHC (Immunohistochemistry), WB (Western Blot). Researchers should empirically determine the suitability of the SELPLG selplg for an application not listed in the data sheet. Researchers commonly develop new applications and it is an integral, important part of the investigative research process. It is sometimes possible for the material contained within the vial of "SELPLG, Polyclonal Antibody" to become dispersed throughout the inside of the vial, particularly around the seal of said vial, during shipment and storage. We always suggest centrifuging these vials to consolidate all of the liquid away from the lid and to the bottom of the vial prior to opening. Please be advised that certain products may require dry ice for shipping and that, if this is the case, an additional dry ice fee may also be required.Precautions
All products in the AAA Biotech catalog are strictly for research-use only, and are absolutely not suitable for use in any sort of medical, therapeutic, prophylactic, in-vivo, or diagnostic capacity. By purchasing a product from AAA Biotech, you are explicitly certifying that said products will be properly tested and used in line with industry standard. AAA Biotech and its authorized distribution partners reserve the right to refuse to fulfill any order if we have any indication that a purchaser may be intending to use a product outside of our accepted criteria.Disclaimer
Though we do strive to guarantee the information represented in this datasheet, AAA Biotech cannot be held responsible for any oversights or imprecisions. AAA Biotech reserves the right to adjust any aspect of this datasheet at any time and without notice. It is the responsibility of the customer to inform AAA Biotech of any product performance issues observed or experienced within 30 days of receipt of said product. To see additional details on this or any of our other policies, please see our Terms & Conditions page.Item has been added to Shopping Cart
If you are ready to order, navigate to Shopping Cart and get ready to checkout.
