Goat anti-Human SERPINA1 / Alpha 1 Antitrypsin Polyclonal Antibody | anti-SERPINA1 antibody
Goat Polyclonal to Human SERPINA1 / Alpha 1 Antitrypsin
WB (Western Blot)
(Alpha-1-Anti-Trypsin Polyclonal Antibody-Multiplex Fluorescent Western blot. Goat-anti-Alpha-1-Anti-Trypsin, Rabbit anti-Transferrin, and Mouse-a-GST were used in a multiplex system to detect target proteins under reducing (R) conditions (+4% BME) in albumin depleted human serum with 320 ng of added GST. Sample was run by SDS-PAGE, transferred to 0.2 um PVDF using the BioRad Trans-Blot Turbo and blocked in 2.5% Blotto, 2.5% BSA, 0.02% Tween over night at 4C. Membrane was probed with three primary antibodies at 1:1000 dilution (in MB-070 over night at 4C). Detection shown was using DyLight549 Donkey anti-Rabbit IgG (green) DyLight 488 Donkey anti-Mouse IgG (blue), and DyLight 649 Donkey anti-Goat IgG (red) at 1:10000 (in MB-070 30 min RT). Blots were washed, rinsed in methanol, dried and Images were collected using the Bio-Rad VersaDoc System.)
WB (Western Blot)
(Alpha-1anti-Trypsin Polyclonal Antibody-Western blot. Goat anti-Alpha-1anti-Trypsin antibody (lot 5854) was used to detect Alpha-1anti-Trypsin under reducing conditions. Reduced sample of purified target protein contained 4% BME and were boiled for 5 minutes. Samples of ~1 ug of protein per lane were run by SDS-PAGE. Protein was transferred to nitrocellulose and probed with 1:3000 dilution of primary antibody (ON 4 C in MB-070). Detection shown was using Dylight 488 conjugated Donkey anti-goat (1:10K in TBS/MB-070 1 hr RT). Images were collected using the Bio-Rad VersaDoc System.)
WB (Western Blot)
(Alpha 1 anti-trypsin antibody-Fluorescent western blot. Primary and Dylight conjugated secondary antibodies were used to detect: Human transferrin; Alpha 1 anti-trypsin; and Human IgG in a multiplex fluorescent western blot of human serum. Each primary antibody was diluted to 1:1000 in IRdye blocking buffer (MB-070) and incubated for 2 hrs at RT. Blot was washed 3X in TTBS, 1X in TBS and probed with secondary antibodies diluted 1:10000) in IRdye blocking buffer and incubated ~1hr at 4 degrees. After wash 2X in TTBS and 2X in TBS, blot was rinsed 2X in MeOH, dried and imaged using the Bio-Rad VersaDoc4000.)
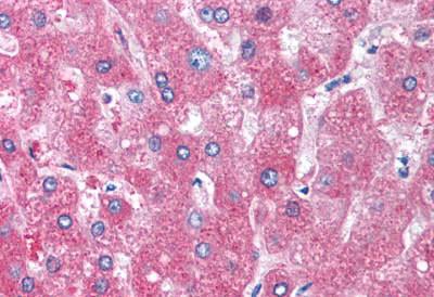
IHC (Immunohistochemistry)
(Anti-Alpha-1-Antitrypsin antibody IHC of human liver. Immunohistochemistry of formalin-fixed, paraffin-embedded tissue after heat-induced antigen retrieval. Antibody concentration 5 ug/ml.)
NCBI and Uniprot Product Information
Customer Reviews
Loading reviews...
Share Your Experience
Similar Products
Product Notes
The SERPINA1 serpina1 (Catalog #AAA50829) is an Antibody produced from Goat and is intended for research purposes only. The product is available for immediate purchase. The Goat Polyclonal to Human SERPINA1 / Alpha 1 Antitrypsin reacts with Human and may cross-react with other species as described in the data sheet. AAA Biotech's SERPINA1 / Alpha 1 Antitrypsin can be used in a range of immunoassay formats including, but not limited to, ELISA, IP (Immunoprecipitation), WB (Western Blot), IF (Immunofluorescence), IHC (Immunohistochemistry). Researchers should empirically determine the suitability of the SERPINA1 serpina1 for an application not listed in the data sheet. Researchers commonly develop new applications and it is an integral, important part of the investigative research process. It is sometimes possible for the material contained within the vial of "SERPINA1 / Alpha 1 Antitrypsin, Polyclonal Antibody" to become dispersed throughout the inside of the vial, particularly around the seal of said vial, during shipment and storage. We always suggest centrifuging these vials to consolidate all of the liquid away from the lid and to the bottom of the vial prior to opening. Please be advised that certain products may require dry ice for shipping and that, if this is the case, an additional dry ice fee may also be required.Precautions
All products in the AAA Biotech catalog are strictly for research-use only, and are absolutely not suitable for use in any sort of medical, therapeutic, prophylactic, in-vivo, or diagnostic capacity. By purchasing a product from AAA Biotech, you are explicitly certifying that said products will be properly tested and used in line with industry standard. AAA Biotech and its authorized distribution partners reserve the right to refuse to fulfill any order if we have any indication that a purchaser may be intending to use a product outside of our accepted criteria.Disclaimer
Though we do strive to guarantee the information represented in this datasheet, AAA Biotech cannot be held responsible for any oversights or imprecisions. AAA Biotech reserves the right to adjust any aspect of this datasheet at any time and without notice. It is the responsibility of the customer to inform AAA Biotech of any product performance issues observed or experienced within 30 days of receipt of said product. To see additional details on this or any of our other policies, please see our Terms & Conditions page.Item has been added to Shopping Cart
If you are ready to order, navigate to Shopping Cart and get ready to checkout.
