Rabbit Shc Polyclonal Antibody | anti-SHC1 antibody
Shc Antibody
Phosphate buffered saline, pH 7.4, 150mM NaCl, 0.02% sodium azide and 50% glycerol.
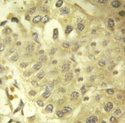
IHC (Immunohistochemistry)
(AAA322277 at 1/100 staining Mouse testis tissue by IHC-P. The sample was formaldehyde fixed and a heat mediated antigen retrieval step in citrate buffer was performed. The sample was then blocked and incubated with the antibody for 1.5 hours at 22 degree C. An HRP conjugated goat anti-rabbit antibody was used as the secondary.)
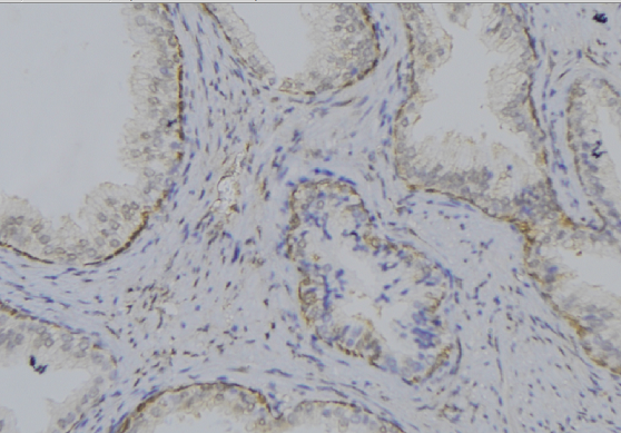
IHC (Immunohistochemisry)
(AAA322277 at 1/100 staining human breast tissues sections by IHC-P. The tissue was formaldehyde fixed and a heat mediated antigen retrieval step in citrate buffer was performed. The tissue was then blocked and incubated with the antibody for 1.5 hours at 95)
IF (Immunofluorescence)
(AAA322277 staining 293 cells by IF/ICC. The sample were fixed with PFA and permeabilized in 0.1% Triton X-100, then blocked in 10% serum for 45 minutes at 25 degree C. The primary antibody was diluted at 1/200 and incubated with the sample for 1 hour at 37 degree C. An Alexa Fluor 594 conjugated goat anti-rabbit IgG (H+L) antibody, diluted at 1/600, was used as secondary antibody.)
WB (Western Blot)
(Western blot analysis of Shc expression in CalyculinA treated HeLa whole cell lysates, The lane on the left is treated with the antigen-specific peptide.)
Subunit Structure: Interacts with CPNE3; this interaction may mediate the binding of CPNE3 with ERBB2 (PubMed:20010870). Interacts with the NPXY motif of tyrosine-phosphorylated IGF1R and INSR in vitro via the PID domain. Once activated, binds to GRB2. Interacts with tyrosine-phosphorylated CD3T and DDR2. Interacts with the N-terminal region of APS. Interacts with phosphorylated LRP1 and IRS4. Interacts with INPP5D/SHIP1 and INPPL1/SHIP2. Interacts with TRIM31. Interacts with PTPN6/SHP (tyrosine phosphorylated). Identified in a complex containing FGFR4, NCAM1, CDH2, PLCG1, FRS2, SRC, SHC1, GAP43 and CTT (By similarity). Interacts with ALK, GAB2, GRB7 and KIT. Interacts with FLT4 (tyrosine-phosphorylated). Interacts with EPHB1 and GRB2; activates the MAPK/ERK cascade to regulate cell migration. Interacts with PDGFRB (tyrosine-phosphorylated). Interacts with ERBB4. Interacts with TEK/TIE2 (tyrosine-phosphorylated). Interacts with the Trk receptors NTRK1, NTRK2 and NTRK3; in a phosphotyrosine-dependent manner. Interacts with PTK2/FAK1. Interacts with herpes simplex virus 1 UL46. Interacts with CEACAM1; this interaction is CEACAM1-phosphorylation-dependent and mediates interaction with EGFR or INSR resulting in decrease coupling of SHC1 to the MAPK3/ERK1-MAPK1/ERK2 pathway (By similarity).
Post-translational Modifications: Phosphorylated by activated epidermal growth factor receptor. Phosphorylated in response to FLT4 and KIT signaling. Isoform p46Shc and isoform p52Shc are phosphorylated on tyrosine residues of the Pro-rich domain. Isoform p66Shc is phosphorylated on Ser-36 by PRKCB upon treatment with insulin, hydrogen peroxide or irradiation with ultraviolet light (By similarity). Tyrosine phosphorylated in response to FLT3 signaling (By similarity). Tyrosine phosphorylated by activated PTK2B/PYK2 (By similarity). Tyrosine phosphorylated by ligand-activated ALK. Tyrosine phosphorylated by ligand-activated PDGFRB. Tyrosine phosphorylated by TEK/TIE2. May be tyrosine phosphorylated by activated PTK2/FAK1; tyrosine phosphorylation was seen in an astrocytoma biopsy, where PTK2/FAK1 kinase activity is high, but not in normal brain tissue. Isoform p52Shc dephosphorylation by PTPN2 may regulate interaction with GRB2.
Similarity: In response to a variety of growth factors, isoform p46Shc and isoform p52Shc bind to phosphorylated Trk receptors through their phosphotyrosine binding (PID) and/or SH2 domains. The PID and SH2 domains bind to specific phosphorylated tyrosine residues in the Asn-Pro-Xaa-Tyr(P) motif of the Trk receptors. Isoform p46Shc and isoform p52Shc are in turn phosphorylated on three tyrosine residues within the extended proline-rich domain. These phosphotyrosines act as docking site for GRB2 and thereby are involved in Ras activation (By similarity).
NCBI and Uniprot Product Information
Predicted: 63 kDa
Customer Reviews
Loading reviews...
Share Your Experience
Similar Products
Product Notes
The SHC1 shc1 (Catalog #AAA322277) is an Antibody produced from Rabbit and is intended for research purposes only. The product is available for immediate purchase. The Shc Antibody reacts with Human, Mouse, Rat and may cross-react with other species as described in the data sheet. AAA Biotech's Shc can be used in a range of immunoassay formats including, but not limited to, ELISA, IP (Immunoprecipitation), ICC (Immunocytochemistry), IF (Immunofluorescence), IHC (Immunohistochemistry), WB (Western Blot). Researchers should empirically determine the suitability of the SHC1 shc1 for an application not listed in the data sheet. Researchers commonly develop new applications and it is an integral, important part of the investigative research process. It is sometimes possible for the material contained within the vial of "Shc, Polyclonal Antibody" to become dispersed throughout the inside of the vial, particularly around the seal of said vial, during shipment and storage. We always suggest centrifuging these vials to consolidate all of the liquid away from the lid and to the bottom of the vial prior to opening. Please be advised that certain products may require dry ice for shipping and that, if this is the case, an additional dry ice fee may also be required.Precautions
All products in the AAA Biotech catalog are strictly for research-use only, and are absolutely not suitable for use in any sort of medical, therapeutic, prophylactic, in-vivo, or diagnostic capacity. By purchasing a product from AAA Biotech, you are explicitly certifying that said products will be properly tested and used in line with industry standard. AAA Biotech and its authorized distribution partners reserve the right to refuse to fulfill any order if we have any indication that a purchaser may be intending to use a product outside of our accepted criteria.Disclaimer
Though we do strive to guarantee the information represented in this datasheet, AAA Biotech cannot be held responsible for any oversights or imprecisions. AAA Biotech reserves the right to adjust any aspect of this datasheet at any time and without notice. It is the responsibility of the customer to inform AAA Biotech of any product performance issues observed or experienced within 30 days of receipt of said product. To see additional details on this or any of our other policies, please see our Terms & Conditions page.Item has been added to Shopping Cart
If you are ready to order, navigate to Shopping Cart and get ready to checkout.
