Rabbit anti-Human SHH Polyclonal Antibody | anti-SHH antibody
SHH Antibody
Gene Names
SHH; TPT; HHG1; HLP3; HPE3; SMMCI; TPTPS; MCOPCB5
Reactivity
Human
Applications
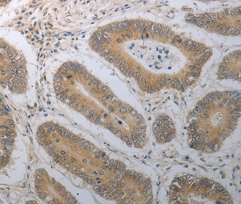
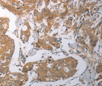
Immunohistochemistry
Purity
Antigen affinity purification.
Synonyms
SHH, Antibody; SHH Antibody; TPT; HHG1; HLP3; HPE3; SMMCI; TPTPS; MCOPCB5; anti-SHH antibody
Host
Rabbit
Reactivity
Human
Clonality
Polyclonal
Specificity
The antibody detects endogenous levels of total SHH protein.
Purity/Purification
Antigen affinity purification.
Form/Format
Rabbit IgG in pH7.3 PBS, 0.05% NaN3, 50% Glycerol.
Concentration
2.4 mg/ml (varies by lot)
Sequence Length
462
Applicable Applications for anti-SHH antibody
IHC (Immunohistochemistry)
Immunogen Type
Peptide
Immunogen Description
Synthetic peptide corresponding to residues near the C terminal of human Sonic hedgehog
Target Name
SHH
Preparation and Storage
Store at -20 degree C
Related Product Information for anti-SHH antibody
This gene encodes a protein that is instrumental in patterning the early embryo. It has been implicated as the key inductive signal in patterning of the ventral neural tube, the anterior-posterior limb axis, and the ventral somites. Of three human proteins showing sequence and functional similarity to the sonic hedgehog protein of Drosophila, this protein is the most similar. The protein is made as a precursor that is autocatalytically cleaved; the N-terminal portion is soluble and contains the signalling activity while the C-terminal portion is involved in precursor processing. More importantly, the C-terminal product covalently attaches a cholesterol moiety to the N-terminal product, restricting the N-terminal product to the cell surface and preventing it from freely diffusing throughout the developing embryo. Defects in this protein or in its signalling pathway are a cause of holoprosencephaly (HPE), a disorder in which the developing forebrain fails to correctly separate into right and left hemispheres. HPE is manifested by facial deformities. It is also thought that mutations in this gene or in its signalling pathway may be responsible for VACTERL syndrome, which is characterized by vertebral defects, anal atresia, tracheoesophageal fistula with esophageal atresia, radial and renal dysplasia, cardiac anomalies, and limb abnormalities. Additionally, mutations in a long range enhancer located approximately 1 megabase upstream of this gene disrupt limb patterning and can result in preaxial polydactyly.
Product Categories/Family for anti-SHH antibody
NCBI and Uniprot Product Information
NCBI GI #
NCBI GeneID
NCBI Accession #
NCBI GenBank Nucleotide #
Molecular Weight
49,607 Da
NCBI Official Full Name
sonic hedgehog protein isoform 1 preproprotein
NCBI Official Synonym Full Names
sonic hedgehog
NCBI Official Symbol
SHH
NCBI Official Synonym Symbols
TPT; HHG1; HLP3; HPE3; SMMCI; TPTPS; MCOPCB5
NCBI Protein Information
sonic hedgehog protein
UniProt Protein Name
Sonic hedgehog protein
UniProt Gene Name
SHH
UniProt Synonym Gene Names
SHH
UniProt Entry Name
SHH_HUMAN
Customer Reviews
Loading reviews...
Share Your Experience
Similar Products
Product Notes
The SHH shh (Catalog #AAA302491) is an Antibody produced from Rabbit and is intended for research purposes only. The product is available for immediate purchase. The SHH Antibody reacts with Human and may cross-react with other species as described in the data sheet. AAA Biotech's SHH can be used in a range of immunoassay formats including, but not limited to, IHC (Immunohistochemistry). Researchers should empirically determine the suitability of the SHH shh for an application not listed in the data sheet. Researchers commonly develop new applications and it is an integral, important part of the investigative research process. It is sometimes possible for the material contained within the vial of "SHH, Polyclonal Antibody" to become dispersed throughout the inside of the vial, particularly around the seal of said vial, during shipment and storage. We always suggest centrifuging these vials to consolidate all of the liquid away from the lid and to the bottom of the vial prior to opening. Please be advised that certain products may require dry ice for shipping and that, if this is the case, an additional dry ice fee may also be required.Precautions
All products in the AAA Biotech catalog are strictly for research-use only, and are absolutely not suitable for use in any sort of medical, therapeutic, prophylactic, in-vivo, or diagnostic capacity. By purchasing a product from AAA Biotech, you are explicitly certifying that said products will be properly tested and used in line with industry standard. AAA Biotech and its authorized distribution partners reserve the right to refuse to fulfill any order if we have any indication that a purchaser may be intending to use a product outside of our accepted criteria.Disclaimer
Though we do strive to guarantee the information represented in this datasheet, AAA Biotech cannot be held responsible for any oversights or imprecisions. AAA Biotech reserves the right to adjust any aspect of this datasheet at any time and without notice. It is the responsibility of the customer to inform AAA Biotech of any product performance issues observed or experienced within 30 days of receipt of said product. To see additional details on this or any of our other policies, please see our Terms & Conditions page.Item has been added to Shopping Cart
If you are ready to order, navigate to Shopping Cart and get ready to checkout.
