Rabbit SLC18A2 Polyclonal Antibody | anti-SLC18A2 antibody
SLC18A2 Antibody
Gene Names
SLC18A2; SVAT; SVMT; VAT2; VMAT2
Reactivity
Human, Mouse, Rat
Applications
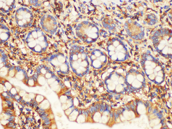
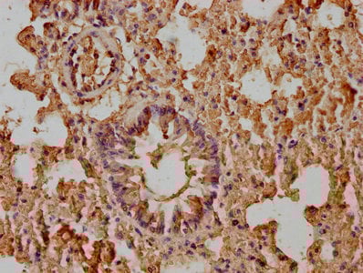
Immunohistochemistry, Western Blot
Purity
Antigen affinity purification
Synonyms
SLC18A2, Antibody; SLC18A2 Antibody; SVAT; SVMT; VAT2; VMAT2; anti-SLC18A2 antibody
Host
Rabbit
Reactivity
Human, Mouse, Rat
Clonality
Polyclonal
Isotype
IgG
Purity/Purification
Antigen affinity purification
Concentration
1mg/mL (varies by lot)
Sequence Length
209
Applicable Applications for anti-SLC18A2 antibody
IHC (Immunohistochemistry), WB (Western Blot)
Immunogen
A synthetic peptide of human SLC18A2
Buffer
PBS with 0.02% sodium azide, 50% glycerol, pH7.3
Preparation and Storage
Store at -20 degree C (regular) and -80 degree C (long term). Avoid freeze / thaw cycles.
Related Product Information for anti-SLC18A2 antibody
The vesicular monoamine transporter acts to accumulate cytosolic monoamines into synaptic vesicles, using the proton gradient maintained across the synaptic vesicular membrane. Its proper function is essential to the correct activity of the monoaminergic systems that have been implicated in several human neuropsychiatric disorders. The transporter is a site of action of important drugs, including reserpine and tetrabenazine.
NCBI and Uniprot Product Information
NCBI GI #
NCBI GeneID
Molecular Weight
22,980 Da
NCBI Official Full Name
SLC18A2 protein
NCBI Official Synonym Full Names
solute carrier family 18 (vesicular monoamine transporter), member 2
NCBI Official Symbol
SLC18A2
NCBI Official Synonym Symbols
SVAT; SVMT; VAT2; VMAT2
NCBI Protein Information
synaptic vesicular amine transporter; monoamine neurotransmitter transporter; monoamine transporter; solute carrier family 18 (vesicular monoamine), member 2; solute carrier family 18 member 2; vesicle monoamine transporter type 2; vesicle monoamine/H+ antiporter; vesicular amine transporter 2
UniProt Protein Name
Synaptic vesicular amine transporter
UniProt Gene Name
SLC18A2
UniProt Synonym Gene Names
SVMT; VMAT2; VAT2
UniProt Entry Name
VMAT2_HUMAN
Customer Reviews
Loading reviews...
Share Your Experience
Similar Products
Product Notes
The SLC18A2 slc18a2 (Catalog #AAA170099) is an Antibody produced from Rabbit and is intended for research purposes only. The product is available for immediate purchase. The SLC18A2 Antibody reacts with Human, Mouse, Rat and may cross-react with other species as described in the data sheet. AAA Biotech's SLC18A2 can be used in a range of immunoassay formats including, but not limited to, IHC (Immunohistochemistry), WB (Western Blot). Researchers should empirically determine the suitability of the SLC18A2 slc18a2 for an application not listed in the data sheet. Researchers commonly develop new applications and it is an integral, important part of the investigative research process. It is sometimes possible for the material contained within the vial of "SLC18A2, Polyclonal Antibody" to become dispersed throughout the inside of the vial, particularly around the seal of said vial, during shipment and storage. We always suggest centrifuging these vials to consolidate all of the liquid away from the lid and to the bottom of the vial prior to opening. Please be advised that certain products may require dry ice for shipping and that, if this is the case, an additional dry ice fee may also be required.Precautions
All products in the AAA Biotech catalog are strictly for research-use only, and are absolutely not suitable for use in any sort of medical, therapeutic, prophylactic, in-vivo, or diagnostic capacity. By purchasing a product from AAA Biotech, you are explicitly certifying that said products will be properly tested and used in line with industry standard. AAA Biotech and its authorized distribution partners reserve the right to refuse to fulfill any order if we have any indication that a purchaser may be intending to use a product outside of our accepted criteria.Disclaimer
Though we do strive to guarantee the information represented in this datasheet, AAA Biotech cannot be held responsible for any oversights or imprecisions. AAA Biotech reserves the right to adjust any aspect of this datasheet at any time and without notice. It is the responsibility of the customer to inform AAA Biotech of any product performance issues observed or experienced within 30 days of receipt of said product. To see additional details on this or any of our other policies, please see our Terms & Conditions page.Item has been added to Shopping Cart
If you are ready to order, navigate to Shopping Cart and get ready to checkout.
