Rabbit anti-Human, Mouse Smad 6 Polyclonal Antibody | anti-SMAD6 antibody
Smad 6 Antibody
Phosphate buffered saline, pH 7.4, 150mM NaCl, 0.02% sodium azide and 50% glycerol.
WB (Western Blot)
(Western blot analysis of Smad 6 expression in mouse brain, The lane on the left is treated with the antigen-specific peptide.)
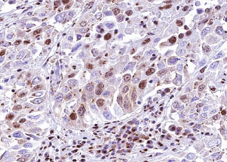
IHC (Immunohistochemistry)
(AAA321835 at 1/100 staining human lung tissue sections by IHC-P. The tissue was formaldehyde fixed and a heat mediated antigen retrieval step in citrate buffer was performed. The tissue was then blocked and incubated with the antibody for 1.5 hours at 22 degree C. An HRP conjugated goat anti-rabbit antibody was used as the secondary.)
Subunit Structure: Interacts with NEDD4L (By similarity). Interacts with WWP1 (By similarity). Interacts with STAMBP and PRKX. Interacts with RNF111 and AXIN1. Interacts with TGF-beta type I receptor superfamily members, including ACVR1B, BMPR1B and TGFBR1. In response to BMP2, but not to TGFB treatment, interacts with SMAD1, but not with SMAD2, nor with SMAD4; this interaction may inhibit SMAD1 binding to SMAD4. Interacts with HOXC8 and HOXC9. Interacts with PELI1; this interaction interferes with PELI1 complex formation with TRAF6, IRAK1, IRAK4 and MYD88 in response to IL1B and hence negatively regulates IL1R-TLR signaling.
Post-translational Modifications: Phosphorylated by BMP type 1 receptor kinase and by PRKX. Monoubiquitinated at Lys-173 by the E2/E3 hybrid ubiquitin-protein ligase UBE2O, leading to reduced binding affinity for the activated BMP type I receptor ACVR1/ALK2, thereby enhancing BMP7 and regulating adipocyte differentiation (PubMed:23455153). Ubiquitinated by WWP1 (By similarity). Ubiquitinated by RNF165, promoting proteasomal degradation, leading to enhance the BMP-Smad signaling (By similarity). Arginine methylation by PRMT1, which is recruited by BMPR2, initiates BMP-Induced signaling and induces dissociation from the BMPR1B receptor at the cell surface leading to derepress downstream Smad1/Smad5 signaling.
Similarity: Belongs to the dwarfin/SMAD family.
NCBI and Uniprot Product Information
Predicted: 54 kDa
Customer Reviews
Loading reviews...
Share Your Experience
Similar Products
Product Notes
The SMAD6 smad6 (Catalog #AAA321835) is an Antibody produced from Rabbit and is intended for research purposes only. The product is available for immediate purchase. The Smad 6 Antibody reacts with Human, Mouse and may cross-react with other species as described in the data sheet. AAA Biotech's Smad 6 can be used in a range of immunoassay formats including, but not limited to, ELISA, IHC (Immunohistochemistry), WB (Western Blot). Researchers should empirically determine the suitability of the SMAD6 smad6 for an application not listed in the data sheet. Researchers commonly develop new applications and it is an integral, important part of the investigative research process. It is sometimes possible for the material contained within the vial of "Smad 6, Polyclonal Antibody" to become dispersed throughout the inside of the vial, particularly around the seal of said vial, during shipment and storage. We always suggest centrifuging these vials to consolidate all of the liquid away from the lid and to the bottom of the vial prior to opening. Please be advised that certain products may require dry ice for shipping and that, if this is the case, an additional dry ice fee may also be required.Precautions
All products in the AAA Biotech catalog are strictly for research-use only, and are absolutely not suitable for use in any sort of medical, therapeutic, prophylactic, in-vivo, or diagnostic capacity. By purchasing a product from AAA Biotech, you are explicitly certifying that said products will be properly tested and used in line with industry standard. AAA Biotech and its authorized distribution partners reserve the right to refuse to fulfill any order if we have any indication that a purchaser may be intending to use a product outside of our accepted criteria.Disclaimer
Though we do strive to guarantee the information represented in this datasheet, AAA Biotech cannot be held responsible for any oversights or imprecisions. AAA Biotech reserves the right to adjust any aspect of this datasheet at any time and without notice. It is the responsibility of the customer to inform AAA Biotech of any product performance issues observed or experienced within 30 days of receipt of said product. To see additional details on this or any of our other policies, please see our Terms & Conditions page.Item has been added to Shopping Cart
If you are ready to order, navigate to Shopping Cart and get ready to checkout.
