Rabbit SMAD6 Polyclonal Antibody | anti-SMAD6 antibody
SMAD6 antibody - N-terminal region
Gene Names
SMAD6; AOVD2; MADH6; MADH7; HsT17432
Reactivity
Cow, Dog, Guinea Pig, Horse, Human, Mouse, Pig, Rat, Zebrafish
Applications
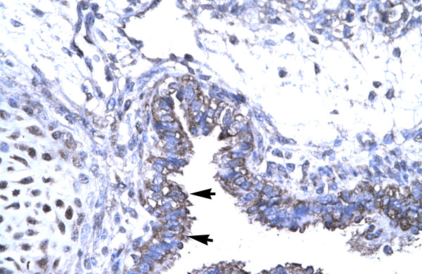
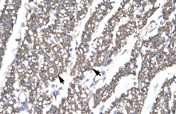
Western Blot, Immunohistochemistry
Purity
Protein A purified
Synonyms
SMAD6, Antibody; SMAD6 antibody - N-terminal region; anti-SMAD6 antibody
Host
Rabbit
Reactivity
Cow, Dog, Guinea Pig, Horse, Human, Mouse, Pig, Rat, Zebrafish
Clonality
Polyclonal
Purity/Purification
Protein A purified
Form/Format
Liquid. Purified antibody supplied in 1x PBS buffer with 0.09% (w/v) sodium azide and 2% sucrose.
Sequence
Synthetic peptide located within the following region: APRDASDPLAGAALEPAGGGRSREARSRLLLLEQELKTVTYSLLKR
Sequence Length
496
Applicable Applications for anti-SMAD6 antibody
WB (Western Blot), IHC (Immunohistochemistry)
Homology
Cow: 100%; Dog: 100%; Guinea Pig: 93%; Horse: 91%; Human: 100%; Mouse: 100%; Pig: 100%; Rat: 100%; Zebrafish: 86%
Immunogen
The immunogen is a synthetic peptide directed towards the N terminal region of human SMAD6
Preparation and Storage
For short term use, store at 2-8 degree C up to 1 week. For long term storage, store at -20 degree C in small aliquots to prevent freeze-thaw cycles.
Related Product Information for anti-SMAD6 antibody
This is a rabbit polyclonal antibody against SMAD6. It was validated on Western Blot and immunohistochemistry
Target Description: SMAD6 (mothers against decapentaplegic homolog 6) is an antagonist of signaling by TGF-beta (transforming growth factor) type 1 receptor superfamily members; has been shown to inhibit selectively BMP (bone morphogenetic proteins) signaling by competing with the co-SMAD SMAD4 for receptor-activated SMAD1. SMAD6 is an inhibitory SMAD (I-SMAD) or antagonistic SMAD.
Target Description: SMAD6 (mothers against decapentaplegic homolog 6) is an antagonist of signaling by TGF-beta (transforming growth factor) type 1 receptor superfamily members; has been shown to inhibit selectively BMP (bone morphogenetic proteins) signaling by competing with the co-SMAD SMAD4 for receptor-activated SMAD1. SMAD6 is an inhibitory SMAD (I-SMAD) or antagonistic SMAD.
Product Categories/Family for anti-SMAD6 antibody
NCBI and Uniprot Product Information
NCBI GI #
NCBI GeneID
NCBI Accession #
NCBI GenBank Nucleotide #
UniProt Accession #
Molecular Weight
53kDa
NCBI Official Full Name
Mothers against decapentaplegic homolog 6
NCBI Official Synonym Full Names
SMAD family member 6
NCBI Official Symbol
SMAD6
NCBI Official Synonym Symbols
AOVD2; MADH6; MADH7; HsT17432
NCBI Protein Information
mothers against decapentaplegic homolog 6
UniProt Protein Name
Mothers against decapentaplegic homolog 6
UniProt Gene Name
SMAD6
UniProt Synonym Gene Names
MADH6; MAD homolog 6; Mothers against DPP homolog 6; SMAD 6; Smad6; hSMAD6
UniProt Entry Name
SMAD6_HUMAN
Customer Reviews
Loading reviews...
Share Your Experience
Similar Products
Product Notes
The SMAD6 smad6 (Catalog #AAA197430) is an Antibody produced from Rabbit and is intended for research purposes only. The product is available for immediate purchase. The SMAD6 antibody - N-terminal region reacts with Cow, Dog, Guinea Pig, Horse, Human, Mouse, Pig, Rat, Zebrafish and may cross-react with other species as described in the data sheet. AAA Biotech's SMAD6 can be used in a range of immunoassay formats including, but not limited to, WB (Western Blot), IHC (Immunohistochemistry). Researchers should empirically determine the suitability of the SMAD6 smad6 for an application not listed in the data sheet. Researchers commonly develop new applications and it is an integral, important part of the investigative research process. The amino acid sequence is listed below: Synthetic peptide located within the following region: APRDASDPLA GAALEPAGGG RSREARSRLL LLEQELKTVT YSLLKR. It is sometimes possible for the material contained within the vial of "SMAD6, Polyclonal Antibody" to become dispersed throughout the inside of the vial, particularly around the seal of said vial, during shipment and storage. We always suggest centrifuging these vials to consolidate all of the liquid away from the lid and to the bottom of the vial prior to opening. Please be advised that certain products may require dry ice for shipping and that, if this is the case, an additional dry ice fee may also be required.Precautions
All products in the AAA Biotech catalog are strictly for research-use only, and are absolutely not suitable for use in any sort of medical, therapeutic, prophylactic, in-vivo, or diagnostic capacity. By purchasing a product from AAA Biotech, you are explicitly certifying that said products will be properly tested and used in line with industry standard. AAA Biotech and its authorized distribution partners reserve the right to refuse to fulfill any order if we have any indication that a purchaser may be intending to use a product outside of our accepted criteria.Disclaimer
Though we do strive to guarantee the information represented in this datasheet, AAA Biotech cannot be held responsible for any oversights or imprecisions. AAA Biotech reserves the right to adjust any aspect of this datasheet at any time and without notice. It is the responsibility of the customer to inform AAA Biotech of any product performance issues observed or experienced within 30 days of receipt of said product. To see additional details on this or any of our other policies, please see our Terms & Conditions page.Item has been added to Shopping Cart
If you are ready to order, navigate to Shopping Cart and get ready to checkout.
