Rabbit anti-Human, Mouse SMARCA1 Polyclonal Antibody | anti-SMARCA1 antibody
SMARCA1 Polyclonal Antibody
Gene Names
SMARCA1; SWI; ISWI; SWI2; SNF2L; SNF2L1; SNF2LB; SNF2LT; hSNF2L; NURF140
Reactivity
Human, Mouse
Applications
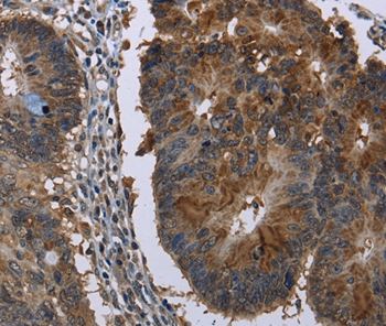
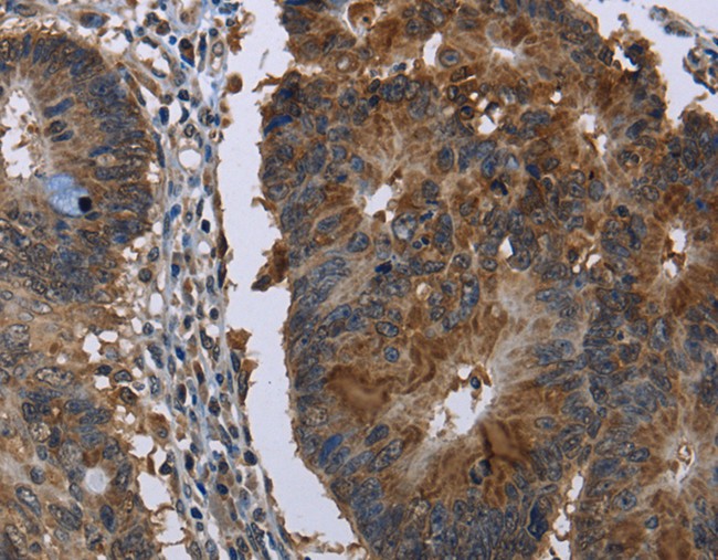
ELISA, Immunohistochemistry, Western Blot
Purity
Antigen Affinity Purification
Synonyms
SMARCA1, Antibody; SMARCA1 Polyclonal Antibody; ATP dependent helicase SMARCA1; Global transcription activator homologous sequence; ISWI; Nucleosome remodeling factor subunit SNF2L; NURF140; Probable global transcription activator SNF2L1; SMARCA1; SNF2-like 1; SNF2L; SNF2L1; SNF2LB; SNF2LT; Sucrose nonfermenting 2-like protein 1; SWI; SWI/SNF related matrix associated actin dependent regulator of chromatin a1; SWI/SNF related matrix associated actin dependent regulator of chromatin subfamily a member 1; SWI2; anti-SMARCA1 antibody
Host
Rabbit
Reactivity
Human, Mouse
Clonality
Polyclonal
Isotype
IgG
Purity/Purification
Antigen Affinity Purification
Form/Format
PBS with 0.05% NaN3 and 40% Glycerol, pH7.4
Concentration
1.3mg/mL (varies by lot)
Sequence Length
1058
Applicable Applications for anti-SMARCA1 antibody
ELISA, IHC (Immunohistochemistry), WB (Western Blot)
Immunogen
Synthetic peptide of human SMARCA1
Conjugation
Unconjugated
Preparation and Storage
Store at -20 degree C. Avoid freeze/thaw cycles.
Related Product Information for anti-SMARCA1 antibody
This gene encodes a member of the SWI/SNF family of proteins. The encoded protein is an ATPase which is expressed in diverse tissues and contributes to the chromatin remodeling complex that is involved in transcription. The protein may also play a role in DNA damage, growth inhibition and apoptosis of cancer cells. Alternative splicing results in multiple transcript variants.
Product Categories/Family for anti-SMARCA1 antibody
NCBI and Uniprot Product Information
NCBI GI #
NCBI GeneID
NCBI Accession #
NCBI GenBank Nucleotide #
UniProt Accession #
Molecular Weight
123 kDa
NCBI Official Full Name
probable global transcription activator SNF2L1 isoform c
NCBI Official Synonym Full Names
SWI/SNF related, matrix associated, actin dependent regulator of chromatin, subfamily a, member 1
NCBI Official Symbol
SMARCA1
NCBI Official Synonym Symbols
SWI; ISWI; SWI2; SNF2L; SNF2L1; SNF2LB; SNF2LT; hSNF2L; NURF140
NCBI Protein Information
probable global transcription activator SNF2L1
UniProt Protein Name
Probable global transcription activator SNF2L1
UniProt Gene Name
SMARCA1
UniProt Synonym Gene Names
SNF2L; SNF2L1
Similar Products
Product Notes
The SMARCA1 smarca1 (Catalog #AAA175759) is an Antibody produced from Rabbit and is intended for research purposes only. The product is available for immediate purchase. The SMARCA1 Polyclonal Antibody reacts with Human, Mouse and may cross-react with other species as described in the data sheet. AAA Biotech's SMARCA1 can be used in a range of immunoassay formats including, but not limited to, ELISA, IHC (Immunohistochemistry), WB (Western Blot). Researchers should empirically determine the suitability of the SMARCA1 smarca1 for an application not listed in the data sheet. Researchers commonly develop new applications and it is an integral, important part of the investigative research process. It is sometimes possible for the material contained within the vial of "SMARCA1, Polyclonal Antibody" to become dispersed throughout the inside of the vial, particularly around the seal of said vial, during shipment and storage. We always suggest centrifuging these vials to consolidate all of the liquid away from the lid and to the bottom of the vial prior to opening. Please be advised that certain products may require dry ice for shipping and that, if this is the case, an additional dry ice fee may also be required.Precautions
All products in the AAA Biotech catalog are strictly for research-use only, and are absolutely not suitable for use in any sort of medical, therapeutic, prophylactic, in-vivo, or diagnostic capacity. By purchasing a product from AAA Biotech, you are explicitly certifying that said products will be properly tested and used in line with industry standard. AAA Biotech and its authorized distribution partners reserve the right to refuse to fulfill any order if we have any indication that a purchaser may be intending to use a product outside of our accepted criteria.Disclaimer
Though we do strive to guarantee the information represented in this datasheet, AAA Biotech cannot be held responsible for any oversights or imprecisions. AAA Biotech reserves the right to adjust any aspect of this datasheet at any time and without notice. It is the responsibility of the customer to inform AAA Biotech of any product performance issues observed or experienced within 30 days of receipt of said product. To see additional details on this or any of our other policies, please see our Terms & Conditions page.Item has been added to Shopping Cart
If you are ready to order, navigate to Shopping Cart and get ready to checkout.
