Rabbit SMPD1/ASM Polyclonal Antibody | anti-SMPD1/ASM antibody
SMPD1/ASM Polyclonal Antibody
Gene Names
SMPD1; ASM; NPD; ASMASE
Reactivity
Human, Mouse, Rat
Applications
Immunofluorescence, Western Blot
Purity
Affinity Purification
Synonyms
SMPD1/ASM, Antibody; SMPD1/ASM Polyclonal Antibody; SMPD1 Polyclonal Antibody; SMPD1; ASM; ASMASE; NPD; sphingomyelin phosphodiesterase; anti-SMPD1/ASM antibody
Host
Rabbit
Reactivity
Human, Mouse, Rat
Clonality
Polyclonal
Isotype
IgG
Purity/Purification
Affinity Purification
Form/Format
PBS with 0.05% proclin300,50% glycerol,pH7.3.
Concentration
3.46 mg/ml (varies by lot)
Sequence Length
629
Applicable Applications for anti-SMPD1/ASM antibody
IF (Immunofluorescence), WB (Western Blot)
Immunogen
Recombinant protein of human SMPD1/ASM.
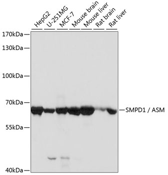
Positive Samples
THP-1, HepG2, U-251MG, MCF-7, Mouse Brain, Mouse Liver, Rat Brain, Rat Liver
Cellular Location
Lysosome
Preparation and Storage
Store at -20 degree C. Avoid freeze/thaw cycles.
Related Product Information for anti-SMPD1/ASM antibody
The protein encoded by this gene is a lysosomal acid sphingomyelinase that converts sphingomyelin to ceramide. The encoded protein also has phospholipase C activity. Defects in this gene are a cause of Niemann-Pick disease type A (NPA) and Niemann-Pick disease type B (NPB). Multiple transcript variants encoding different isoforms have been identified.
NCBI and Uniprot Product Information
NCBI GI #
NCBI GeneID
UniProt Accession #
Molecular Weight
Calculated: 63kDa; 64kDa; 69kDa
Observed: 60kDa
Observed: 60kDa
NCBI Official Full Name
acid sphingomyelinase
NCBI Official Synonym Full Names
sphingomyelin phosphodiesterase 1
NCBI Official Symbol
SMPD1
NCBI Official Synonym Symbols
ASM; NPD; ASMASE
NCBI Protein Information
sphingomyelin phosphodiesterase
UniProt Protein Name
Sphingomyelin phosphodiesterase
UniProt Gene Name
SMPD1
UniProt Synonym Gene Names
ASM; aSMase
UniProt Entry Name
ASM_HUMAN
Customer Reviews
Loading reviews...
Share Your Experience
Similar Products
Product Notes
The SMPD1/ASM smpd1 (Catalog #AAA281462) is an Antibody produced from Rabbit and is intended for research purposes only. The product is available for immediate purchase. The SMPD1/ASM Polyclonal Antibody reacts with Human, Mouse, Rat and may cross-react with other species as described in the data sheet. AAA Biotech's SMPD1/ASM can be used in a range of immunoassay formats including, but not limited to, IF (Immunofluorescence), WB (Western Blot). Researchers should empirically determine the suitability of the SMPD1/ASM smpd1 for an application not listed in the data sheet. Researchers commonly develop new applications and it is an integral, important part of the investigative research process. It is sometimes possible for the material contained within the vial of "SMPD1/ASM, Polyclonal Antibody" to become dispersed throughout the inside of the vial, particularly around the seal of said vial, during shipment and storage. We always suggest centrifuging these vials to consolidate all of the liquid away from the lid and to the bottom of the vial prior to opening. Please be advised that certain products may require dry ice for shipping and that, if this is the case, an additional dry ice fee may also be required.Precautions
All products in the AAA Biotech catalog are strictly for research-use only, and are absolutely not suitable for use in any sort of medical, therapeutic, prophylactic, in-vivo, or diagnostic capacity. By purchasing a product from AAA Biotech, you are explicitly certifying that said products will be properly tested and used in line with industry standard. AAA Biotech and its authorized distribution partners reserve the right to refuse to fulfill any order if we have any indication that a purchaser may be intending to use a product outside of our accepted criteria.Disclaimer
Though we do strive to guarantee the information represented in this datasheet, AAA Biotech cannot be held responsible for any oversights or imprecisions. AAA Biotech reserves the right to adjust any aspect of this datasheet at any time and without notice. It is the responsibility of the customer to inform AAA Biotech of any product performance issues observed or experienced within 30 days of receipt of said product. To see additional details on this or any of our other policies, please see our Terms & Conditions page.Item has been added to Shopping Cart
If you are ready to order, navigate to Shopping Cart and get ready to checkout.
