Rabbit Snx6 Polyclonal Antibody | anti-SNX6 antibody
Snx6 Antibody
Predicted Reactivity: Pig(100%), Bovine(100%), Horse(100%), Sheep(100%), Rabbit(100%), Dog(100%), Chicken(100%), Xenopus(100%)
Predicted Reactivity: Pig(100%), Bovine(100%), Horse(100%), Sheep(100%), Rabbit(100%), Dog(100%), Chicken(100%), Xenopus(100%)
IHC: 1:50-1:200
ELISA(peptide): 1:20,000-1:40,000
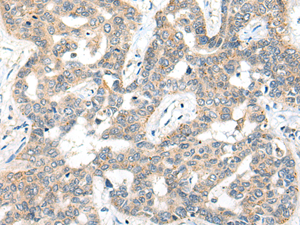
IHC (Immunohistochemistry-Paraffin)
(AAA31269 at 1/100 staining Human colorectal cancer by IHC-P. The sample was formaldehyde fixed and a heat mediated antigen retrieval step in citrate buffer was performed. The sample was then blocked and incubated with the primary antibody at 4°C overnight. An HRP conjugated anti-Rabbit antibody was used as the secondary antibody.)
IHC (Immunohistchemistry-Paraffin)
(AAA31269 at 1/100 staining Mouse testis tissue by IHC-P. The sample was formaldehyde fixed and a heat mediated antigen retrieval step in citrate buffer was performed. The sample was then blocked and incubated with the primary antibody at 4°C overnight. An HRP conjugated anti-Rabbit antibody was used as the secondary antibody.)
IHC (Immunohistochemistry-Paraffin)
(AAA31269 at 1/100 staining Rat colorectal tissue by IHC-P. The sample was formaldehyde fixed and a heat mediated antigen retrieval step in citrate buffer was performed. The sample was then blocked and incubated with the primary antibody at 4°C overnight. An HRP conjugated anti-Rabbit antibody was used as the secondary antibody.)
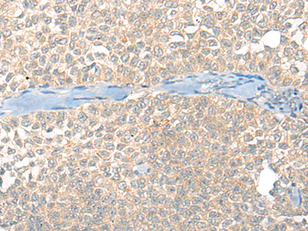
IHC (Immunohistochemistry-Paraffin)
(AAA31269 at 1/100 staining Rat testis tissue by IHC-P. The sample was formaldehyde fixed and a heat mediated antigen retrieval step in citrate buffer was performed. The sample was then blocked and incubated with the primary antibody at 4°C overnight. An HRP conjugated anti-Rabbit antibody was used as the secondary antibody.)
WB (Western Blot)
(Western blot analysis of extracts from HepG2 cells, using Snx6 Antibody. The lane on the left was treated with blocking peptide.)
WB (Western Blot)
(Western blot analysis of extracts from 3T3-7, using Snx6 Antibody. The lane on the left was treated with blocking peptide.Observed bands: 40 kDa.)
WB (Western Blot)
(Western blot analysis of extracts from Human placenta, using Snx6 Antibody. The lane on the left was treated with blocking peptide.)
Post Translational Modifications: In vitro phosphorylated by PIM1; not affecting PIM1-dependent nuclear translocation (PubMed:11591366).
Subcellular Location: Early endosome. Early endosome membrane>Peripheral membrane protein>Cytoplasmic side. Cytoplasmic vesicle. Cytoplasm. Nucleus. Note: Interaction with SNX1 or SNX2 promotes location at endosome membranes (PubMed:19935774). Only a minor proportion is seen in the nucleus.
Subunit Structure: Forms heterodimers with BAR domain-containing sorting nexins SNX1 and SNX2 (PubMed:23085988). The heterodimers are proposed to self-assemble into helical arrays on the membrane to stabilize and expand local membrane curvature underlying endosomal tubule formation. Thought to be a component of the originally described retromer complex (also called SNX-BAR retromer) which is a pentamer containing the heterotrimeric retromer cargo-selective complex (CSC), also descibed as vacuolar protein sorting subcomplex (VPS), and a heterodimeric membrane-deforming subcomplex formed between SNX1 or SNX2 and SNX5 or SNX6 (also called SNX-BAR subcomplex); the respective CSC and SNX-BAR subcomplexes associate with low affinity (Probable). Interacts with SNX1, SNX2, VPS26A, VPS29, VPS35, CDKN1B, TGFB receptors, BACE1, BRMS1, PIP5K1C isoform 3. Interacts with DCTN1; the association with DCTN1 is involved in movement of retromer-c ontaining vesicles toward the TGN (PubMed:11279102, PubMed:17148574, PubMed:19935774, PubMed:19619496, PubMed:20354142, PubMed:20830743, PubMed:23085988, PubMed:24610942). Interacts with CDKN1B and GIT1 (By similarity). Interacts with PIM1; translocating SNX6 to the nucleus (PubMed:11591366).
Similarity: The PX domain mediates interaction with membranes enriched in phosphatidylinositol 3,4-bisphosphate and/or phosphatidylinositol 4,5-bisphosphate.The BAR domain is able to sense membrane curvature upon dimerization. Membrane remodeling seems to implicate insertion of an amphipatric helix (AH) in the membrane (Probable).Belongs to the sorting nexin family.
NCBI and Uniprot Product Information
Predicted Molecular Weight: (Calculated)47kDa.
Customer Reviews
Loading reviews...
Share Your Experience
Similar Products
Product Notes
The SNX6 snx6 (Catalog #AAA31269) is an Antibody produced from Rabbit and is intended for research purposes only. The product is available for immediate purchase. The Snx6 Antibody reacts with Human, Mouse, Rat Predicted Reactivity: Pig(100%), Bovine(100%), Horse(100%), Sheep(100%), Rabbit(100%), Dog(100%), Chicken(100%), Xenopus(100%) and may cross-react with other species as described in the data sheet. AAA Biotech's Snx6 can be used in a range of immunoassay formats including, but not limited to, ELISA. WB: 1:500-1:2000 IHC: 1:50-1:200 ELISA(peptide): 1:20,000-1:40,000. Researchers should empirically determine the suitability of the SNX6 snx6 for an application not listed in the data sheet. Researchers commonly develop new applications and it is an integral, important part of the investigative research process. It is sometimes possible for the material contained within the vial of "Snx6, Polyclonal Antibody" to become dispersed throughout the inside of the vial, particularly around the seal of said vial, during shipment and storage. We always suggest centrifuging these vials to consolidate all of the liquid away from the lid and to the bottom of the vial prior to opening. Please be advised that certain products may require dry ice for shipping and that, if this is the case, an additional dry ice fee may also be required.Precautions
All products in the AAA Biotech catalog are strictly for research-use only, and are absolutely not suitable for use in any sort of medical, therapeutic, prophylactic, in-vivo, or diagnostic capacity. By purchasing a product from AAA Biotech, you are explicitly certifying that said products will be properly tested and used in line with industry standard. AAA Biotech and its authorized distribution partners reserve the right to refuse to fulfill any order if we have any indication that a purchaser may be intending to use a product outside of our accepted criteria.Disclaimer
Though we do strive to guarantee the information represented in this datasheet, AAA Biotech cannot be held responsible for any oversights or imprecisions. AAA Biotech reserves the right to adjust any aspect of this datasheet at any time and without notice. It is the responsibility of the customer to inform AAA Biotech of any product performance issues observed or experienced within 30 days of receipt of said product. To see additional details on this or any of our other policies, please see our Terms & Conditions page.Item has been added to Shopping Cart
If you are ready to order, navigate to Shopping Cart and get ready to checkout.
