Loading...

Skip to main content
Call us at +1-800-604-9114 for more information about our products or contact us online Need help? +1-800-604-9114 or contact us

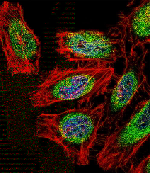
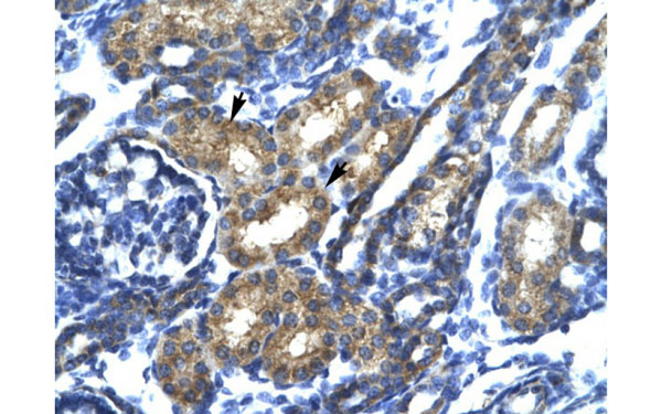
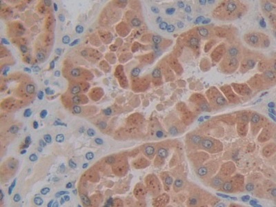
Rabbit anti-Mouse, Rat SP140 Polyclonal Antibody | anti-SP140 antibody

SP140 Polyclonal Conjugated Antibody

Average rating 0.0
No ratings yet
Gene Names
SP140; LYSP100; LYSP100-A; LYSP100-B
Reactivity
Mouse, Rat
Purity
Affinity purification
Synonyms
SP140, Antibody; SP140 Polyclonal Conjugated Antibody; SP140 Conjugated Antibody; LYSP100; LYSP100-A; LYSP100-B; anti-SP140 antibody
Ordering
Host
Rabbit
Reactivity
Mouse, Rat
Clonality
Polyclonal
Isotype
IgG
Purity/Purification
Affinity purification
Form/Format
0.01M Sodium Phosphate, 0.25M NaCl, pH 7.6, 5mg/ml Bovine Serum Albumin, 0.02% Sodium Azide
Sequence Length
840
Immunogen
Recombinant fusion protein of human SP140 (NP_001265380).
Conjugation
Biotin AF350 AF405 AF488 AF555 AF594 AF647 AF680 AF750
Excitation Emission
AF350: 346nm/442nm
AF405: 401nm/421nm
AF488: 493nm/519nm
AF555: 555nm/565nm
AF594: 591nm/614nm
AF647: 651nm/667nm
AF680: 679nm/702nm
AF750: 749nm/775nm
Preparation and Storage
Store at 4°C in dark for 6 months.
Related Product Information for anti-SP140 antibody
This gene encodes a member of the SP100 family of proteins, which are share common domains including an N-terminal homogeneously staining region domain followed by a SP100/autoimmune regulator/NucP41/P75/deformed epidermal autoregulatory factor domain, a plant homeobox zinc finger, and a bromodomain. The encoded protein is interferon-inducible and is expressed at high levels in the nuclei of leukocytes. Variants of this gene have been associated with multiple sclerosis, Crohn's disease, and chronic lymphocytic leukemia. Alternative splicing results in multiple variants. [provided by RefSeq, Aug 2016]

NCBI and Uniprot Product Information

NCBI GI #
NCBI GeneID
NCBI Accession #
NCBI GenBank Nucleotide #
UniProt Accession #
Molecular Weight
98kDa
NCBI Official Full Name
nuclear body protein SP140 isoform 3
NCBI Official Synonym Full Names
SP140 nuclear body protein
NCBI Official Symbol
SP140
NCBI Official Synonym Symbols
LYSP100; LYSP100-A; LYSP100-B
NCBI Protein Information
nuclear body protein SP140
UniProt Protein Name
Nuclear body protein SP140
UniProt Gene Name
SP140
UniProt Entry Name
SP140_HUMAN

Customer Reviews

View All Reviews

Loading reviews...

Share Your Experience

Rating

Similar Products

Product Notes

The SP140 sp140 (Catalog #AAA312742) is an Antibody produced from Rabbit and is intended for research purposes only. The product is available for immediate purchase. The SP140 Polyclonal Conjugated Antibody reacts with Mouse, Rat and may cross-react with other species as described in the data sheet. It is sometimes possible for the material contained within the vial of "SP140, Polyclonal Antibody" to become dispersed throughout the inside of the vial, particularly around the seal of said vial, during shipment and storage. We always suggest centrifuging these vials to consolidate all of the liquid away from the lid and to the bottom of the vial prior to opening. Please be advised that certain products may require dry ice for shipping and that, if this is the case, an additional dry ice fee may also be required.

Precautions

All products in the AAA Biotech catalog are strictly for research-use only, and are absolutely not suitable for use in any sort of medical, therapeutic, prophylactic, in-vivo, or diagnostic capacity. By purchasing a product from AAA Biotech, you are explicitly certifying that said products will be properly tested and used in line with industry standard. AAA Biotech and its authorized distribution partners reserve the right to refuse to fulfill any order if we have any indication that a purchaser may be intending to use a product outside of our accepted criteria.

Disclaimer

Though we do strive to guarantee the information represented in this datasheet, AAA Biotech cannot be held responsible for any oversights or imprecisions. AAA Biotech reserves the right to adjust any aspect of this datasheet at any time and without notice. It is the responsibility of the customer to inform AAA Biotech of any product performance issues observed or experienced within 30 days of receipt of said product. To see additional details on this or any of our other policies, please see our Terms & Conditions page.

Item has been added to Shopping Cart

If you are ready to order, navigate to Shopping Cart and get ready to checkout.

Submit a Question

Please complete the form below and a representative will contact you as soon as possible.

Request more Information

Please complete the form below and a representative will contact you as soon as possible.

Request a Manual

Please complete the form below and a representative will contact you as soon as possible.

Request a Quote

Please complete the form below and a representative will contact you as soon as possible.