Rabbit SQSTM1/p62 Polyclonal Antibody | anti-SQSTM1/p62 antibody
Phospho-SQSTM1/p62 (Ser366) Antibody
Predicted: Pig, Bovine, Horse, Sheep, Rabbit
Predicted: Pig, Bovine, Horse, Sheep, Rabbit
WB (Western Blot)
(Western blot analysis of Phospho-SQSTM1/p62 (Ser366) in lysates of HeLa treated with 2¦ÌM MG-132 for 18h, using Phospho-SQSTM1/p62 (Ser366) Antibody)
IHC (Immunohistochemistry)
(At 1/100 staining human gastric cancer tissue sections by IHC-P. The tissue was formaldehyde fixed and a heat mediated antigen retrieval step in citrate buffer was performed. The tissue was then blocked and incubated with the antibody for 1.5 hours at 22 degree C. An HRP conjugated goat anti-rabbit antibody was used as the secondary)
IHC (Immunohistochemisry)
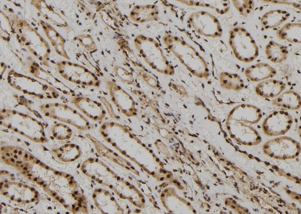
(At 1/100 staining human kidney tissue sections by IHC-P. The tissue was formaldehyde fixed and a heat mediated antigen retrieval step in citrate buffer was performed. The tissue was then blocked and incubated with the antibody for 1.5 hours at 22 degree C. An HRP conjugated goat anti-rabbit antibody was used as the secondary)
IHC (Immunohiostchemistry)
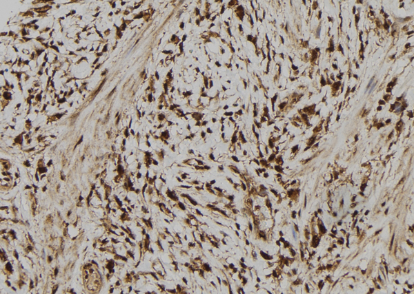
(At 1/100 staining rat heart tissue sections by IHC-P. The tissue was formaldehyde fixed and a heat mediated antigen retrieval step in citrate buffer was performed. The tissue was then blocked and incubated with the antibody for 1.5 hours at 22 degree C. An HRP conjugated goat anti-rabbit antibody was used as the secondary)
IHC (Immunohistochemistry)
(At 1/100 staining mouse kidney tissue sections by IHC-P. The tissue was formaldehyde fixed and a heat mediated antigen retrieval step in citrate buffer was performed. The tissue was then blocked and incubated with the antibody for 1.5 hours at 22 degree C. An HRP conjugated goat anti-rabbit antibody was used as the secondary)
Post Translational Modifications: Phosphorylated. May be phosphorylated by PRKCZ (By similarity). Phosphorylated in vitro by TTN. Phosphorylation at Ser-403 by ULK1 is stimulated by SESN2 (PubMed:25040165). Ubiquitinated by RNF26: ubiquitinated SQSTM1 attracts specific vesicle-associated adapters, forming a molecular bridge that restrains cognate vesicles in the perinuclear region and organizes the endosomal pathway for efficient cargo transport (PubMed:27368102). Deubiquitination by USP15 releases target vesicles for fast transport into the cell periphery (PubMed:27368102).
Subunit Structure: Homooligomer or heterooligomer; may form homotypic arrays. Dimerization interferes with ubiquitin binding. Interacts directly with PRKCI and PRKCZ (Probable). Forms ternary complexes with PRKCZ and KCNAB2 or PRKCZ and GABBR3. Also interacts with KCNAB1, GABRR1, GABRR2 and GABRR3. Forms an NGF-induced complex with IKBKB, PRKCI and TRAF6 (By similarity). Interacts with EBI3, LCK, RASA1, PRKCZ, PRKCI, NR2F2, NTRK1, NTRK2, NTRK3, NBR1, MAP2K5, TRIM13, TRIM55 and MAPKAPK5. Interacts with the proteasome subunits PSMD4 and PSMC2. Interacts with K63-polyubiquitinated MAPT/TAU. Interacts with IKBKB through PRKCZ and PRKCI. Interacts with NGFR through TRAF6 and bridges that complex to NTRK1. Forms a complex with MAP2K5 and PRKCZ or PRKCI. Component of a ternary complex with PAWR and PRKCZ. Upon TNF-alpha stimulation, interacts with RIPK1 probably bridging IKBKB to the TNF-R1 complex composed of TNF-R1/TNFRSF1A, TRADD and RIPK1. Forms a complex with JUB/Ajuba, PRKCZ and TRAF6. Interacts with TRAF6 and CYLD. Identified in a complex with TRAF6 and CYLD (By similarity). Identified in a heterotrimeric complex with ubiquitin and ZFAND5, where ZFAND5 and SQSTM1 both interact with the same ubiquitin molecule. Directly interacts with MAP1LC3A and MAP1LC3B, as well as with other MAP1 LC3 family members, including GABARAP, GABARAPL1 and GABARAPL2; these interactions are necessary for the recruitment MAP1 LC3 family members to inclusion bodies containing polyubiquitinated protein aggregates and for their degradation by autophagy. Interacts with FHOD3. Interacts with TRMI5. Interacts with SESN1 (PubMed:23274085). Interacts with SESN2 (PubMed:23274085, PubMed:25040165). Interacts with ULK1 (PubMed:25040165). Interacts with UBD (PubMed:25422469). Interacts with WDR81; the interaction is direct and regulates the interaction of SQSTM1 with ubiquitinated proteins (PubMed:28404643). Interacts with WDFY3; this interaction is required to recruit WDFY3 to cytoplasmic bodies and to PML bodies (PubMed:20168092). Interacts with TRIM23 (PubMed:28871090). Interacts with LRRC25 (PubMed:29288164).
Similarity: The UBA domain binds specifically 'Lys-63'-linked polyubiquitin chains of polyubiquitinated substrates. Mediates the interaction with TRIM55. Both the UBA and PB1 domains are necessary and sufficient for the localization into the ubiquitin-containing inclusion bodies. The PB1 domain mediates homooligomerization and interactions with FHOD3, MAP2K5, NBR1, PRKCI, PRKCZ and WDR81. Both the PB1 and UBA domains are necessary and sufficient for the localization into the ubiquitin-containing inclusion bodies. The ZZ-type zinc finger mediates the interaction with RIPK1. The LIR (LC3-interacting region) motif mediates the interaction with ATG8 family proteins.
NCBI and Uniprot Product Information
Predicted: 48 kDa
Customer Reviews
Loading reviews...
Share Your Experience
Similar Products
Product Notes
The SQSTM1/p62 sqstm1 (Catalog #AAA328504) is an Antibody produced from Rabbit and is intended for research purposes only. The product is available for immediate purchase. The Phospho-SQSTM1/p62 (Ser366) Antibody reacts with Human, Mouse, Rat Predicted: Pig, Bovine, Horse, Sheep, Rabbit and may cross-react with other species as described in the data sheet. AAA Biotech's SQSTM1/p62 can be used in a range of immunoassay formats including, but not limited to, ELISA (Peptide ELISA), IHC (Immunohistochemistry), WB (Western Blot). Researchers should empirically determine the suitability of the SQSTM1/p62 sqstm1 for an application not listed in the data sheet. Researchers commonly develop new applications and it is an integral, important part of the investigative research process. It is sometimes possible for the material contained within the vial of "SQSTM1/p62, Polyclonal Antibody" to become dispersed throughout the inside of the vial, particularly around the seal of said vial, during shipment and storage. We always suggest centrifuging these vials to consolidate all of the liquid away from the lid and to the bottom of the vial prior to opening. Please be advised that certain products may require dry ice for shipping and that, if this is the case, an additional dry ice fee may also be required.Precautions
All products in the AAA Biotech catalog are strictly for research-use only, and are absolutely not suitable for use in any sort of medical, therapeutic, prophylactic, in-vivo, or diagnostic capacity. By purchasing a product from AAA Biotech, you are explicitly certifying that said products will be properly tested and used in line with industry standard. AAA Biotech and its authorized distribution partners reserve the right to refuse to fulfill any order if we have any indication that a purchaser may be intending to use a product outside of our accepted criteria.Disclaimer
Though we do strive to guarantee the information represented in this datasheet, AAA Biotech cannot be held responsible for any oversights or imprecisions. AAA Biotech reserves the right to adjust any aspect of this datasheet at any time and without notice. It is the responsibility of the customer to inform AAA Biotech of any product performance issues observed or experienced within 30 days of receipt of said product. To see additional details on this or any of our other policies, please see our Terms & Conditions page.Item has been added to Shopping Cart
If you are ready to order, navigate to Shopping Cart and get ready to checkout.
