Rabbit STEAP1 Polyclonal Antibody | anti-STEAP1 antibody
STEAP1 Antibody
Reactivity
Human, Mouse, Rat
Applications
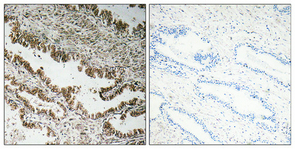
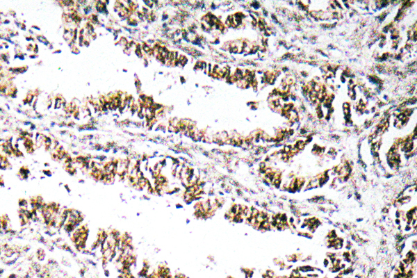
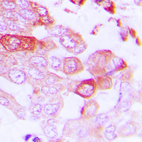
Immunohistochemistry, Western Blot, ELISA
Purity
STEAP1 Antibody is affinity chromatography purified via peptide column.
Synonyms
STEAP1, Antibody; STEAP1 Antibody; STEAP1; STEAP; PRSS24; Metalloreductase STEAP1; Six-transmembrane epithelial antigen of prostate 1; six transmembrane epithelial antigen of the prostate 1; anti-STEAP1 antibody
Host
Rabbit
Reactivity
Human, Mouse, Rat
Clonality
Polyclonal
Isotype
IgG
Specificity
This STEAP1 antibody does not cross-react with other STEAP proteins.
Purity/Purification
STEAP1 Antibody is affinity chromatography purified via peptide column.
Form/Format
Liquid
Concentration
1 mg/mL (varies by lot)
Sequence Length
486
Applicable Applications for anti-STEAP1 antibody
IHC (Immunohistochemistry), WB (Western Blot), ELISA
Conjugate
Unconjugated
Immunogen
STEAP1 antibody was raised against a 18 amino acid synthetic peptide from near the carboxy terminus of human STEAP1.
Buffer
STEAP1 Antibody is supplied in PBS containing 0.02% sodium azide.
Preparation and Storage
STEAP1 antibody can be stored at 4 degree C for three months and -20 degree C, stable for up to one year. As with all antibodies care should be taken to avoid repeated freeze thaw cycles. Antibodies should not be exposed to prolonged high temperatures.
Related Product Information for anti-STEAP1 antibody
STEAP1 Antibody: The six-transmembrane epithelial antigen of prostate 1 (STEAP1) was the first member of a family of metalloreductases identified as cell-surface antigens in prostate tissue. The normal function of STEAP is still uncertain; unlike other members of the STEAP family, STEAP1 does not promote iron or copper reduction or uptake and lacks the FNO-like reductase domain critical for activity. However, its expression is highly increased in multiple cancer cell lines, including prostate, bladder, colon, and ovarian cancers. Supporting this is evidence that STEAP1 peptides can be used to stimulate CD8+ T cells from healthy donors, enabling them to recognize STEAP1-positive human tumor cells, suggesting that STEAP1 may a potential target for cancer immunotherapy. At least three isoforms of STEAP1 are known to exist.
NCBI and Uniprot Product Information
NCBI GI #
NCBI GeneID
Molecular Weight
39,851 Da
NCBI Official Full Name
similar to Six transmembrane epithelial antigen of prostate
UniProt Protein Name
Metalloreductase STEAP1
UniProt Gene Name
STEAP1
UniProt Synonym Gene Names
PRSS24; STEAP
UniProt Entry Name
STEA1_HUMAN
Customer Reviews
Loading reviews...
Share Your Experience
Similar Products
Product Notes
The STEAP1 steap1 (Catalog #AAA39403) is an Antibody produced from Rabbit and is intended for research purposes only. The product is available for immediate purchase. The STEAP1 Antibody reacts with Human, Mouse, Rat and may cross-react with other species as described in the data sheet. AAA Biotech's STEAP1 can be used in a range of immunoassay formats including, but not limited to, IHC (Immunohistochemistry), WB (Western Blot), ELISA. Researchers should empirically determine the suitability of the STEAP1 steap1 for an application not listed in the data sheet. Researchers commonly develop new applications and it is an integral, important part of the investigative research process. It is sometimes possible for the material contained within the vial of "STEAP1, Polyclonal Antibody" to become dispersed throughout the inside of the vial, particularly around the seal of said vial, during shipment and storage. We always suggest centrifuging these vials to consolidate all of the liquid away from the lid and to the bottom of the vial prior to opening. Please be advised that certain products may require dry ice for shipping and that, if this is the case, an additional dry ice fee may also be required.Precautions
All products in the AAA Biotech catalog are strictly for research-use only, and are absolutely not suitable for use in any sort of medical, therapeutic, prophylactic, in-vivo, or diagnostic capacity. By purchasing a product from AAA Biotech, you are explicitly certifying that said products will be properly tested and used in line with industry standard. AAA Biotech and its authorized distribution partners reserve the right to refuse to fulfill any order if we have any indication that a purchaser may be intending to use a product outside of our accepted criteria.Disclaimer
Though we do strive to guarantee the information represented in this datasheet, AAA Biotech cannot be held responsible for any oversights or imprecisions. AAA Biotech reserves the right to adjust any aspect of this datasheet at any time and without notice. It is the responsibility of the customer to inform AAA Biotech of any product performance issues observed or experienced within 30 days of receipt of said product. To see additional details on this or any of our other policies, please see our Terms & Conditions page.Item has been added to Shopping Cart
If you are ready to order, navigate to Shopping Cart and get ready to checkout.
