Rabbit anti-Mouse, Human SUB1 Polyclonal Antibody | anti-SUB1 antibody
SUB1 Rabbit anti-Human Polyclonal (aa77-127) Antibody
Gene Names
SUB1; P15; PC4; p14
Reactivity
Mouse, Human
Applications
Immunohistochemistry
Purity
Affinity purified
Synonyms
SUB1, Antibody; SUB1 Rabbit anti-Human Polyclonal (aa77-127) Antibody; IHC-plus SUB1 Antibody (aa77-127); SUB1; p15; p14; PC4; Positive cofactor 4; RPO2TC1; SUB1 homolog; SUB1 homolog (S. cerevisiae); anti-SUB1 antibody
Host
Rabbit
Reactivity
Mouse, Human
Clonality
Polyclonal
Isotype
IgG
Specificity
Region between residue 77 and 127 of human positive cofactor 4 using the numbering given in entry NP_006704.2 (GeneID 10923).
Purity/Purification
Affinity purified
Form/Format
TBS, 0.09% Sodium Azide, 0.1% BSA
Concentration
50ug/ml (varies by lot)
Applicable Applications for anti-SUB1 antibody
IHC (Immunohistochemistry)
Target
Human SUB1
Immunogen
A portion of GeneID: 10923 corresponding to amino acids between 77 and 127 of UniprotID: P53999
Conjugation
Unconjugated
Epitope
aa77-127
Preparation and Storage
Store at 2-8 degree C for up to one year.
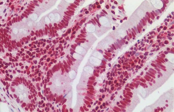
IHC (Immunohiostchemistry)
(SUB1 Antibody-Human Small Intestine: Formalin-Fixed, Paraffin-Embedded (FFPE))
Related Product Information for anti-SUB1 antibody
SUB1 antibody is an unconjugated rabbit polyclonal antibody to SUB1 (aa77-127) from human. It is reactive with human and mouse. Validated for IHC. Tested on 20 paraffin-embedded human tissues.
NCBI and Uniprot Product Information
NCBI GI #
NCBI GeneID
NCBI Accession #
NCBI GenBank Nucleotide #
Molecular Weight
14,395 Da
NCBI Official Full Name
activated RNA polymerase II transcriptional coactivator p15
NCBI Official Synonym Full Names
SUB1 homolog (S. cerevisiae)
NCBI Official Symbol
SUB1
NCBI Official Synonym Symbols
P15; PC4; p14
NCBI Protein Information
activated RNA polymerase II transcriptional coactivator p15; activated RNA polymerase II transcription cofactor 4; positive cofactor 4
UniProt Protein Name
Activated RNA polymerase II transcriptional coactivator p15
UniProt Gene Name
SUB1
UniProt Synonym Gene Names
PC4; RPO2TC1; PC4
UniProt Entry Name
TCP4_HUMAN
Customer Reviews
Loading reviews...
Share Your Experience
Similar Products
Product Notes
The SUB1 sub1 (Catalog #AAA163368) is an Antibody produced from Rabbit and is intended for research purposes only. The product is available for immediate purchase. The SUB1 Rabbit anti-Human Polyclonal (aa77-127) Antibody reacts with Mouse, Human and may cross-react with other species as described in the data sheet. AAA Biotech's SUB1 can be used in a range of immunoassay formats including, but not limited to, IHC (Immunohistochemistry). Researchers should empirically determine the suitability of the SUB1 sub1 for an application not listed in the data sheet. Researchers commonly develop new applications and it is an integral, important part of the investigative research process. It is sometimes possible for the material contained within the vial of "SUB1, Polyclonal Antibody" to become dispersed throughout the inside of the vial, particularly around the seal of said vial, during shipment and storage. We always suggest centrifuging these vials to consolidate all of the liquid away from the lid and to the bottom of the vial prior to opening. Please be advised that certain products may require dry ice for shipping and that, if this is the case, an additional dry ice fee may also be required.Precautions
All products in the AAA Biotech catalog are strictly for research-use only, and are absolutely not suitable for use in any sort of medical, therapeutic, prophylactic, in-vivo, or diagnostic capacity. By purchasing a product from AAA Biotech, you are explicitly certifying that said products will be properly tested and used in line with industry standard. AAA Biotech and its authorized distribution partners reserve the right to refuse to fulfill any order if we have any indication that a purchaser may be intending to use a product outside of our accepted criteria.Disclaimer
Though we do strive to guarantee the information represented in this datasheet, AAA Biotech cannot be held responsible for any oversights or imprecisions. AAA Biotech reserves the right to adjust any aspect of this datasheet at any time and without notice. It is the responsibility of the customer to inform AAA Biotech of any product performance issues observed or experienced within 30 days of receipt of said product. To see additional details on this or any of our other policies, please see our Terms & Conditions page.Item has been added to Shopping Cart
If you are ready to order, navigate to Shopping Cart and get ready to checkout.
