Rabbit PC4 Polyclonal Antibody | anti-SUB1 antibody
Anti-PC4 Antibody
Each vial contains 5mg BSA, 0.9mg NaCl, 0.2mg Na2HPO4, 0.05mg NaN3.
By Heat: Boiling the paraffin sections in 10mM citrate buffer, pH6.0, for 20mins is required for the staining of formalin/paraffin sections.
Other applications have not been tested.
IHC (Immunohistochemistry)
(PC4 was detected in paraffin-embedded sections of human mammary cancer tissues using rabbit anti- PC4 Antigen Affinity purified polyclonal antibody at 1ug/mL. The immunohistochemical section was developed using SABC method.)
IHC (Immunohistochemisry)
(PC4 was detected in paraffin-embedded sections of rat liver tissues using rabbit anti- PC4 Antigen Affinity purified polyclonal antibody at 1ug/mL. The immunohistochemical section was developed using SABC method.)
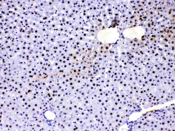
IHC (Immunohiostchemistry)
(PC4 was detected in paraffin-embedded sections of mouse liver tissues using rabbit anti- PC4 Antigen Affinity purified polyclonal antibody at 1ug/mL. The immunohistochemical section was developed using SABC method.)
WB (Western Blot)
(Western blot analysis of PC4 expression in rat liver extract (lane 1), HELA whole cell lysates (lane 2) and U2OS whole cell lysates (lane 3). PC4 at 19KD was detected using rabbit anti- PC4 Antigen Affinity purified polyclonal antibody at 0.5 ug/mL. The blot was developed using chemiluminescence (ECL) method.)
Background: Activated RNA polymerase II transcriptional coactivator p15, also known as positive cofactor 4 (PC4) or SUB1 homolog, is a protein that in humans is encoded by the SUB1 gene. This gene is mapped to 5p13.3. The transcriptional cofactor PC4 is an ancient single-strand DNA (ssDNA)-binding protein that has a homologue in bacteriophage T5 where it is likely the elusive replicative ssDNA-binding protein. The recombinant PC4 is shown to function identically to the native protein through its interaction with TAFs.
2. Kretzschmar M, Kaiser K, Lottspeich F, Meisterernst M (August 1994). "A novel mediator of class II gene transcription with homology to viral immediate-early transcriptional regulators". Cell 78 (3): 525-34.
3. Ge H, Roeder RG (August 1994). "Purification, cloning, and characterization of a human coactivator, PC4, that mediates transcriptional activation of class II genes". Cell 78 (3): 513-23.
NCBI and Uniprot Product Information
Customer Reviews
Loading reviews...
Share Your Experience
Similar Products
Product Notes
The SUB1 sub1 (Catalog #AAA46847) is an Antibody produced from Rabbit and is intended for research purposes only. The product is available for immediate purchase. The Anti-PC4 Antibody reacts with Human, Mouse, Rat and may cross-react with other species as described in the data sheet. AAA Biotech's PC4 can be used in a range of immunoassay formats including, but not limited to, IHC (Immunohistochemistry), WB (Western Blot). Researchers should empirically determine the suitability of the SUB1 sub1 for an application not listed in the data sheet. Researchers commonly develop new applications and it is an integral, important part of the investigative research process. It is sometimes possible for the material contained within the vial of "PC4, Polyclonal Antibody" to become dispersed throughout the inside of the vial, particularly around the seal of said vial, during shipment and storage. We always suggest centrifuging these vials to consolidate all of the liquid away from the lid and to the bottom of the vial prior to opening. Please be advised that certain products may require dry ice for shipping and that, if this is the case, an additional dry ice fee may also be required.Precautions
All products in the AAA Biotech catalog are strictly for research-use only, and are absolutely not suitable for use in any sort of medical, therapeutic, prophylactic, in-vivo, or diagnostic capacity. By purchasing a product from AAA Biotech, you are explicitly certifying that said products will be properly tested and used in line with industry standard. AAA Biotech and its authorized distribution partners reserve the right to refuse to fulfill any order if we have any indication that a purchaser may be intending to use a product outside of our accepted criteria.Disclaimer
Though we do strive to guarantee the information represented in this datasheet, AAA Biotech cannot be held responsible for any oversights or imprecisions. AAA Biotech reserves the right to adjust any aspect of this datasheet at any time and without notice. It is the responsibility of the customer to inform AAA Biotech of any product performance issues observed or experienced within 30 days of receipt of said product. To see additional details on this or any of our other policies, please see our Terms & Conditions page.Item has been added to Shopping Cart
If you are ready to order, navigate to Shopping Cart and get ready to checkout.
