Rabbit Syntrophin alpha 1 Polyclonal Antibody | anti-SNTA1 antibody
Syntrophin alpha 1 Antibody
Predicted Reactivity: Rabbit(88%), Dog(88%)
Predicted Reactivity: Rabbit(88%), Dog(88%)
ICC: 1:100-1:500
WB: 1:500-1:2000
IHC: 1:50-1:200
ELISA(peptide): 1:20,000-1:40,000
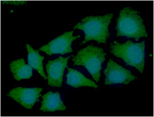
IF (Immunofluorescence)
(AAA31187 staining Hela cells by IF/ICC. The samples were fixed with PFA and permeabilized in 0.1% Triton X-100,then blocked in 10% serum for 45 minutes at 25°C. Samples were then incubated with primary Ab(AAA31187 1:200) and mouse anti-beta tubulin Ab(T0023 1:200) for 1 hour at 37°C. An AlexaFluor594 conjugated goat anti-rabbit IgG(H+L) Ab(Red) and an AlexaFluor488 conjugated goat anti-mouse IgG(H+L) Ab(Green) were used as the secondary antibody.The nuclear counter stain is DAPI(blue).)
IHC (Immunohistochemistry-Paraffin)
(AAA31187 at 1/100 staining Human colorectal cancer by IHC-P. The sample was formaldehyde fixed and a heat mediated antigen retrieval step in citrate buffer was performed. The sample was then blocked and incubated with the primary antibody at 4°C overnight. An HRP conjugated anti-Rabbit antibody was used as the secondary antibody.)
IHC (Immunohistchemistry-Paraffin)
(AAA31187 at 1/100 staining Mouse heart tissue by IHC-P. The sample was formaldehyde fixed and a heat mediated antigen retrieval step in citrate buffer was performed. The sample was then blocked and incubated with the primary antibody at 4°C overnight. An HRP conjugated anti-Rabbit antibody was used as the secondary antibody.)
IHC (Immunohistochemistry-Paraffin)
(AAA31187 at 1/100 staining Mouse kidney tissue by IHC-P. The sample was formaldehyde fixed and a heat mediated antigen retrieval step in citrate buffer was performed. The sample was then blocked and incubated with the primary antibody at 4°C overnight. An HRP conjugated anti-Rabbit antibody was used as the secondary antibody.)
IHC (Immunohistochemistry-Paraffin)
(AAA31187 at 1/100 staining Mouse muscle tissue by IHC-P. The sample was formaldehyde fixed and a heat mediated antigen retrieval step in citrate buffer was performed. The sample was then blocked and incubated with the primary antibody at 4°C overnight. An HRP conjugated anti-Rabbit antibody was used as the secondary antibody.)
IHC (Immunohistochemistry-Paraffin)
(AAA31187 at 1/100 staining Rat heart tissue by IHC-P. The sample was formaldehyde fixed and a heat mediated antigen retrieval step in citrate buffer was performed. The sample was then blocked and incubated with the primary antibody at 4°C overnight. An HRP conjugated anti-Rabbit antibody was used as the secondary antibody.)
IHC (Immunohistochemistry-Paraffin)
(AAA31187 at 1/100 staining Rat kidney tissue by IHC-P. The sample was formaldehyde fixed and a heat mediated antigen retrieval step in citrate buffer was performed. The sample was then blocked and incubated with the primary antibody at 4°C overnight. An HRP conjugated anti-Rabbit antibody was used as the secondary antibody.)
WB (Western Blot)
(Western blot analysis of extracts from A549, using Syntrophin alpha 1 Antibody. The lane on the left was treated with blocking peptide.)
Post Translational Modifications: Phosphorylated by CaM-kinase II. Phosphorylation may inhibit the interaction with DMD (By similarity).
Subcellular Location: Cell membrane>Sarcolemma>Peripheral membrane protein>Cytoplasmic side. Cell junction. Cytoplasm>Cytoskeleton. Note: In skeletal muscle, it localizes at the cytoplasmic side of the sarcolemmal membrane and at neuromuscular junctions.
Tissue Specificity: High expression in skeletal muscle and heart. Low expression in brain, pancreas, liver, kidney and lung. Not detected in placenta.
Subunit Structure: Monomer and homodimer. Interacts with the other members of the syntrophin family SNTB1 and SNTB2; SGCG and SGCA of the dystrophin glycoprotein complex; NOS1; GRB2; the sodium channel proteins SCN4A and SCN5A; F-actin and calmodulin (By similarity). Interacts with dystrophin protein DMD and related proteins DTNA and UTRN and with MAPK12, TGFA and GA. Interacts with MYOC; regulates muscle hypertrophy (By similarity).
Similarity: The PH 1 domain mediates the oligomerization in a calcium dependent manner, and the association with the phosphatidylinositol 4,5-bisphosphate.The PDZ domain binds to the last three or four amino acids of ion channels and receptor proteins. The association with dystrophin or related proteins probably leaves the PDZ domain available to recruit proteins to the membrane (By similarity).The SU domain binds calmodulin in a calcium-dependent manner.Belongs to the syntrophin family.
NCBI and Uniprot Product Information
Predicted Molecular Weight: (Calculated)54kDa.
Customer Reviews
Loading reviews...
Share Your Experience
Similar Products
SNTA1 Antibody
SNTA1 Antibody
Product Notes
The SNTA1 snta1 (Catalog #AAA31187) is an Antibody produced from Rabbit and is intended for research purposes only. The product is available for immediate purchase. The Syntrophin alpha 1 Antibody reacts with Human, Mouse, Rat Predicted Reactivity: Rabbit(88%), Dog(88%) and may cross-react with other species as described in the data sheet. AAA Biotech's Syntrophin alpha 1 can be used in a range of immunoassay formats including, but not limited to, IF (Immunofluorescence), ICC (Immunocytochemistry), ELISA. IF: 1:100-1:500 ICC: 1:100-1:500 WB: 1:500-1:2000 IHC: 1:50-1:200 ELISA(peptide): 1:20,000-1:40,000. Researchers should empirically determine the suitability of the SNTA1 snta1 for an application not listed in the data sheet. Researchers commonly develop new applications and it is an integral, important part of the investigative research process. It is sometimes possible for the material contained within the vial of "Syntrophin alpha 1, Polyclonal Antibody" to become dispersed throughout the inside of the vial, particularly around the seal of said vial, during shipment and storage. We always suggest centrifuging these vials to consolidate all of the liquid away from the lid and to the bottom of the vial prior to opening. Please be advised that certain products may require dry ice for shipping and that, if this is the case, an additional dry ice fee may also be required.Precautions
All products in the AAA Biotech catalog are strictly for research-use only, and are absolutely not suitable for use in any sort of medical, therapeutic, prophylactic, in-vivo, or diagnostic capacity. By purchasing a product from AAA Biotech, you are explicitly certifying that said products will be properly tested and used in line with industry standard. AAA Biotech and its authorized distribution partners reserve the right to refuse to fulfill any order if we have any indication that a purchaser may be intending to use a product outside of our accepted criteria.Disclaimer
Though we do strive to guarantee the information represented in this datasheet, AAA Biotech cannot be held responsible for any oversights or imprecisions. AAA Biotech reserves the right to adjust any aspect of this datasheet at any time and without notice. It is the responsibility of the customer to inform AAA Biotech of any product performance issues observed or experienced within 30 days of receipt of said product. To see additional details on this or any of our other policies, please see our Terms & Conditions page.Item has been added to Shopping Cart
If you are ready to order, navigate to Shopping Cart and get ready to checkout.
