Rabbit anti-Human Tau-tubulin kinase 2 Polyclonal Antibody | anti-TTBK2 antibody
Rabbit anti-human Tau-tubulin kinase 2 polyclonal Antibody(TTBK2)
Gene Names
TTBK2; TTBK; SCA11
Reactivity
Human
Applications
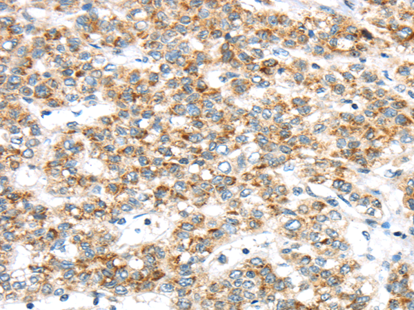
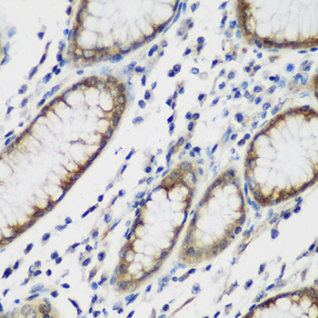
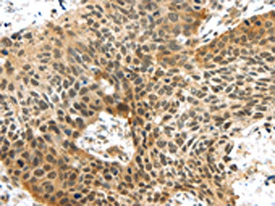
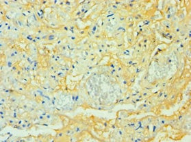
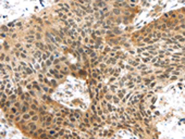
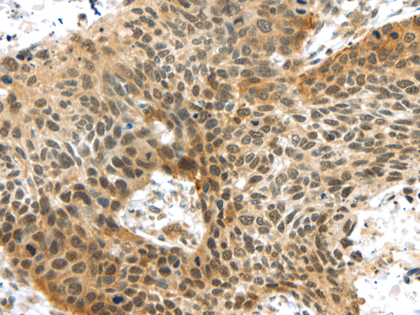
Immunohistochemistry, ELISA
Purity
Antigen Affinity Purified
Synonyms
Tau-tubulin kinase 2, Antibody; Rabbit anti-human Tau-tubulin kinase 2 polyclonal Antibody(TTBK2); TTBK2; anti-TTBK2 antibody
Host
Rabbit
Reactivity
Human
Clonality
Polyclonal
Isotype
IgG
Purity/Purification
Antigen Affinity Purified
Sequence Length
1244
Applicable Applications for anti-TTBK2 antibody
IHC (Immunohistochemistry), ELISA
Storage Buffer
PBS with 0.02% sodium azide, 50% glycerol, pH7.3.
Conjugate
Non-conjugated
Immunogen
Recombinant human Tau-tubulin kinase 2 protein (1185-1244aa)
Santa Cruz Alternative
Potential replacement for Santa Cruz Biotechnology antibody catalog# sc-165430
Preparation and Storage
Shipped at 4 degree C. Upon delivery aliquot and store at -20 degree C or -80 degree C. Avoid repeated freeze.
Related Product Information for anti-TTBK2 antibody
Serine/threonine kinase that acts as a key regulator of ciliogenesis: controls the initiation of ciliogenesis by binding to the distal end of the basal body and promoting the removal of CCP110, which caps the mother centriole, leading to the recruitment of IFT proteins, which build the ciliary axoneme. Has some substrate preference for proteins that are already phosphorylated on a Tyr residue at the +2 position relative to the phosphorylation site. Able to phosphorylate tau on serines in vitro.
NCBI and Uniprot Product Information
NCBI GI #
NCBI GeneID
NCBI Accession #
NCBI GenBank Nucleotide #
Molecular Weight
54,037 Da
NCBI Official Full Name
tau-tubulin kinase 2
NCBI Official Synonym Full Names
tau tubulin kinase 2
NCBI Official Symbol
TTBK2
NCBI Official Synonym Symbols
TTBK; SCA11
NCBI Protein Information
tau-tubulin kinase 2
UniProt Protein Name
Tau-tubulin kinase 2
UniProt Gene Name
TTBK2
UniProt Synonym Gene Names
KIAA0847
UniProt Entry Name
TTBK2_HUMAN
Customer Reviews
Loading reviews...
Share Your Experience
Similar Products
Product Notes
The TTBK2 ttbk2 (Catalog #AAA114214) is an Antibody produced from Rabbit and is intended for research purposes only. The product is available for immediate purchase. The Rabbit anti-human Tau-tubulin kinase 2 polyclonal Antibody(TTBK2) reacts with Human and may cross-react with other species as described in the data sheet. AAA Biotech's Tau-tubulin kinase 2 can be used in a range of immunoassay formats including, but not limited to, IHC (Immunohistochemistry), ELISA. Researchers should empirically determine the suitability of the TTBK2 ttbk2 for an application not listed in the data sheet. Researchers commonly develop new applications and it is an integral, important part of the investigative research process. It is sometimes possible for the material contained within the vial of "Tau-tubulin kinase 2, Polyclonal Antibody" to become dispersed throughout the inside of the vial, particularly around the seal of said vial, during shipment and storage. We always suggest centrifuging these vials to consolidate all of the liquid away from the lid and to the bottom of the vial prior to opening. Please be advised that certain products may require dry ice for shipping and that, if this is the case, an additional dry ice fee may also be required.Precautions
All products in the AAA Biotech catalog are strictly for research-use only, and are absolutely not suitable for use in any sort of medical, therapeutic, prophylactic, in-vivo, or diagnostic capacity. By purchasing a product from AAA Biotech, you are explicitly certifying that said products will be properly tested and used in line with industry standard. AAA Biotech and its authorized distribution partners reserve the right to refuse to fulfill any order if we have any indication that a purchaser may be intending to use a product outside of our accepted criteria.Disclaimer
Though we do strive to guarantee the information represented in this datasheet, AAA Biotech cannot be held responsible for any oversights or imprecisions. AAA Biotech reserves the right to adjust any aspect of this datasheet at any time and without notice. It is the responsibility of the customer to inform AAA Biotech of any product performance issues observed or experienced within 30 days of receipt of said product. To see additional details on this or any of our other policies, please see our Terms & Conditions page.Item has been added to Shopping Cart
If you are ready to order, navigate to Shopping Cart and get ready to checkout.
