Rabbit anti-Human, Rat TBX20 Polyclonal Antibody | anti-TBX20 antibody
TBX20 Rabbit Polyclonal Antibody
Gene Names
TBX20; ASD4
Reactivity
Human, Rat
Applications
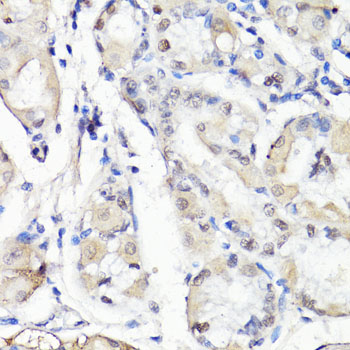
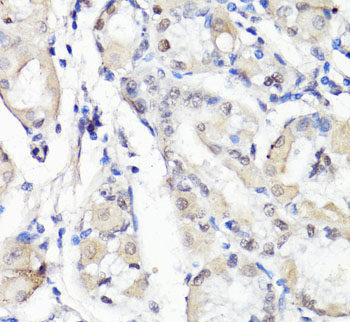
Immunohistochemistry, Western Blot
Purity
Affinity purification
Synonyms
TBX20, Antibody; TBX20 Rabbit Polyclonal Antibody; TBX20; ASD4; T-box 20; anti-TBX20 antibody
Host
Rabbit
Reactivity
Human, Rat
Clonality
Polyclonal
Isotype
IgG
Purity/Purification
Affinity purification
Form/Format
Buffer: PBS with 0.02% sodium azide, 50% glycerol, pH7.3.
Applicable Applications for anti-TBX20 antibody
IHC (Immunohistochemistry), WB (Western Blot)
Immunogen
Recombinant fusion protein of human TBX20 (NP_001071121.1).
Preparation and Storage
Store at -20 degree C. Avoid freeze/thaw cycles.
Related Product Information for anti-TBX20 antibody
This gene encodes a T-box family member. The T-box family members share a common DNA binding domain, termed the T-box, and they are transcription factors involved in the regulation of developmental processes. This gene is essential for heart development. Mutations in this gene are associated with diverse cardiac pathologies, including defects in septation, valvulogenesis and cardiomyopathy. Alternatively spliced transcript variants encoding different isoforms have been found for this gene.
Product Categories/Family for anti-TBX20 antibody
NCBI and Uniprot Product Information
NCBI GI #
NCBI GeneID
NCBI Accession #
NCBI GenBank Nucleotide #
Molecular Weight
49,232 Da
NCBI Official Full Name
T-box transcription factor TBX20 isoform 2
NCBI Official Synonym Full Names
T-box 20
NCBI Official Symbol
TBX20
NCBI Official Synonym Symbols
ASD4
NCBI Protein Information
T-box transcription factor TBX20; T-box protein 20
UniProt Protein Name
T-box transcription factor TBX20
UniProt Gene Name
TBX20
UniProt Synonym Gene Names
T-box protein 20
UniProt Entry Name
TBX20_HUMAN
Customer Reviews
Loading reviews...
Share Your Experience
Similar Products
Product Notes
The TBX20 tbx20 (Catalog #AAA313630) is an Antibody produced from Rabbit and is intended for research purposes only. The product is available for immediate purchase. The TBX20 Rabbit Polyclonal Antibody reacts with Human, Rat and may cross-react with other species as described in the data sheet. AAA Biotech's TBX20 can be used in a range of immunoassay formats including, but not limited to, IHC (Immunohistochemistry), WB (Western Blot). Researchers should empirically determine the suitability of the TBX20 tbx20 for an application not listed in the data sheet. Researchers commonly develop new applications and it is an integral, important part of the investigative research process. It is sometimes possible for the material contained within the vial of "TBX20, Polyclonal Antibody" to become dispersed throughout the inside of the vial, particularly around the seal of said vial, during shipment and storage. We always suggest centrifuging these vials to consolidate all of the liquid away from the lid and to the bottom of the vial prior to opening. Please be advised that certain products may require dry ice for shipping and that, if this is the case, an additional dry ice fee may also be required.Precautions
All products in the AAA Biotech catalog are strictly for research-use only, and are absolutely not suitable for use in any sort of medical, therapeutic, prophylactic, in-vivo, or diagnostic capacity. By purchasing a product from AAA Biotech, you are explicitly certifying that said products will be properly tested and used in line with industry standard. AAA Biotech and its authorized distribution partners reserve the right to refuse to fulfill any order if we have any indication that a purchaser may be intending to use a product outside of our accepted criteria.Disclaimer
Though we do strive to guarantee the information represented in this datasheet, AAA Biotech cannot be held responsible for any oversights or imprecisions. AAA Biotech reserves the right to adjust any aspect of this datasheet at any time and without notice. It is the responsibility of the customer to inform AAA Biotech of any product performance issues observed or experienced within 30 days of receipt of said product. To see additional details on this or any of our other policies, please see our Terms & Conditions page.Item has been added to Shopping Cart
If you are ready to order, navigate to Shopping Cart and get ready to checkout.
