Goat anti-Human TDP-43/TARDBP Polyclonal Antibody | anti-TARDBP antibody
TDP-43/TARDBP Goat anti-Human Polyclonal (aa140-153) Antibody
IHC (Immunohistochemistry)
(TDP-43/TARDBP Antibody-Human Placenta: Formalin-Fixed, Paraffin-Embedded (FFPE))
IHC (Immunohistochemisry)
(TDP-43/TARDBP Antibody-Human Prostate: Formalin-Fixed, Paraffin-Embedded (FFPE))
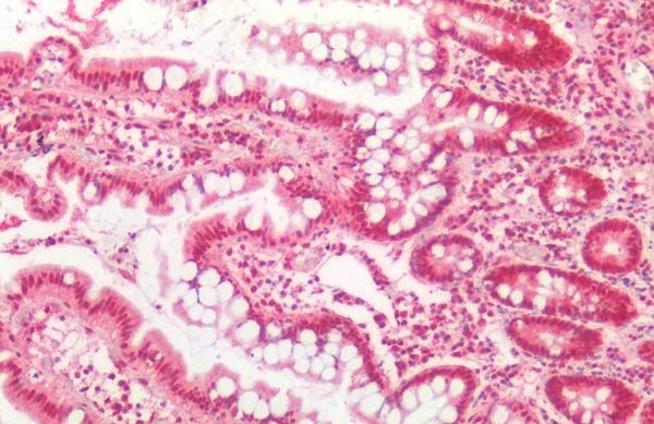
IHC (Immunohiostchemistry)
(TDP-43/TARDBP Antibody-Human SmallIntestine: Formalin-Fixed, Paraffin-Embedded (FFPE))
WB (Western Blot)
(TDP-43/TARDBP Antibody-Goat Anti-TARDBP Antibody (1ug/ml) staining of Human Cerebellum (A), Frontal Cotex (B) and Hippocampus (C) lysates (35ug protein in RIPA buffer). Primary incubation was 1 hour. Detected by chemiluminescencence.)
TARDBP (TAR DNA-binding protein 43, TDP-43) is a DNA and RNA-binding transcriptional repressor that regulates transcription and splicing. TARDBP is thought to be involved in microRNA biogenesis, apoptosis and cell division, and it can also repress HIV-1 transcription by binding to the HIV-1 long terminal repeat. It promotes CFTR exon 9 skipping, and the resulting aberrant splicing is associated with pathological features typical of cystic fibrosis. TARDBP binds to the mRNA of the neurofilament NEFL in spinal motor neurons, and it may be involved in regulating RNA transport, translation and stability in neurons in hippocampal dendrites. A pathogenic form of TARDBP plays a major role in frontotemporal dementia (FTLD-TDP) and amyotrophic lateral sclerosis (ALS). Furthermore, dysfunctional or upregulated TARDBP is found in Alzheimer's disease and in cases of chronic traumatic encephalopathy. In immunohistochemistry, TARDBP has high nuclear positivity in all tissues.
NCBI and Uniprot Product Information
Customer Reviews
Loading reviews...
Share Your Experience
Similar Products
Product Notes
The TARDBP tardbp (Catalog #AAA163105) is an Antibody produced from Goat and is intended for research purposes only. The product is available for immediate purchase. The TDP-43/TARDBP Goat anti-Human Polyclonal (aa140-153) Antibody reacts with Human and may cross-react with other species as described in the data sheet. AAA Biotech's TDP-43/TARDBP can be used in a range of immunoassay formats including, but not limited to, WB (Western Blot), ELISA (Peptide ELISA), IHC (Immunohistochemistry). Researchers should empirically determine the suitability of the TARDBP tardbp for an application not listed in the data sheet. Researchers commonly develop new applications and it is an integral, important part of the investigative research process. It is sometimes possible for the material contained within the vial of "TDP-43/TARDBP, Polyclonal Antibody" to become dispersed throughout the inside of the vial, particularly around the seal of said vial, during shipment and storage. We always suggest centrifuging these vials to consolidate all of the liquid away from the lid and to the bottom of the vial prior to opening. Please be advised that certain products may require dry ice for shipping and that, if this is the case, an additional dry ice fee may also be required.Precautions
All products in the AAA Biotech catalog are strictly for research-use only, and are absolutely not suitable for use in any sort of medical, therapeutic, prophylactic, in-vivo, or diagnostic capacity. By purchasing a product from AAA Biotech, you are explicitly certifying that said products will be properly tested and used in line with industry standard. AAA Biotech and its authorized distribution partners reserve the right to refuse to fulfill any order if we have any indication that a purchaser may be intending to use a product outside of our accepted criteria.Disclaimer
Though we do strive to guarantee the information represented in this datasheet, AAA Biotech cannot be held responsible for any oversights or imprecisions. AAA Biotech reserves the right to adjust any aspect of this datasheet at any time and without notice. It is the responsibility of the customer to inform AAA Biotech of any product performance issues observed or experienced within 30 days of receipt of said product. To see additional details on this or any of our other policies, please see our Terms & Conditions page.Item has been added to Shopping Cart
If you are ready to order, navigate to Shopping Cart and get ready to checkout.
