Rabbit Tie-2 Polyclonal Antibody | anti-Tie-2 antibody
Tie-2 Antibody
Phosphate buffered saline, pH 7.4, 150mM NaCl, 0.02% sodium azide and 50% glycerol.
IHC (Immunohistochemistry)
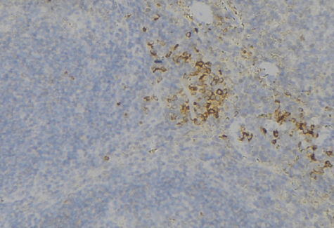
(AAA327171 at 1/100 staining Human lymph node tissue by IHC-P. The sample was formaldehyde fixed and a heat mediated antigen retrieval step in citrate buffer was performed. The sample was then blocked and incubated with the antibody for 1.5 hours at 22 degree C. An HRP conjugated goat anti-rabbit antibody was used as the secondary.)
Subunit Structure: Homodimer. Heterodimer with TIE1. Interacts with ANGPT1, ANGPT2 and ANGPT4. At cell-cell contacts in quiescent cells, forms a signaling complex composed of ANGPT1 plus TEK molecules from two adjoining cells. In the absence of endothelial cell-cell contacts, interaction with ANGPT1 mediates contacts with the extracellular matrix. Interacts with PTPRB; this promotes endothelial cell-cell adhesion. Interacts with DOK2, GRB2, GRB7, GRB14, PIK3R1 and PTPN11/SHP2. Colocalizes with DOK2 at contacts with the extracellular matrix in migrating cells. Interacts (tyrosine phosphorylated) with TNIP2. Interacts (tyrosine phosphorylated) with SHC1 (via SH2 domain).
Post-translational Modifications: Proteolytic processing leads to the shedding of the extracellular domain (soluble TIE-2 alias sTIE-2). Autophosphorylated on tyrosine residues in response to ligand binding. Autophosphorylation occurs in trans, i.e. one subunit of the dimeric receptor phosphorylates tyrosine residues on the other subunit. Autophosphorylation occurs in a sequential manner, where Tyr-992 in the kinase activation loop is phosphorylated first, followed by autophosphorylation at Tyr-1108 and at additional tyrosine residues. ANGPT1-induced phosphorylation is impaired during hypoxia, due to increased expression of ANGPT2. Phosphorylation is important for interaction with GRB14, PIK3R1 and PTPN11. Phosphorylation at Tyr-1102 is important for interaction with SHC1, GRB2 and GRB7. Phosphorylation at Tyr-1108 is important for interaction with DOK2 and for coupling to downstream signal transduction pathways in endothelial cells. Dephosphorylated by PTPRB. Ubiquitinated. The phosphorylated receptor is ubiquitinated and internalized, leading to its degradation.
Similarity: The soluble extracellular domain is functionally active in angiopoietin binding and can modulate the activity of the membrane-bound form by competing for angiopoietins. Belongs to the protein kinase superfamily. Tyr protein kinase family. Tie subfamily.
NCBI and Uniprot Product Information
Predicted: 126 kDa
Customer Reviews
Loading reviews...
Share Your Experience
Similar Products
Product Notes
The Tie-2 tek (Catalog #AAA327171) is an Antibody produced from Rabbit and is intended for research purposes only. The product is available for immediate purchase. The Tie-2 Antibody reacts with Human, Mouse, Rat and may cross-react with other species as described in the data sheet. AAA Biotech's Tie-2 can be used in a range of immunoassay formats including, but not limited to, ELISA, IHC (Immunohistochemistry), WB (Western Blot). Researchers should empirically determine the suitability of the Tie-2 tek for an application not listed in the data sheet. Researchers commonly develop new applications and it is an integral, important part of the investigative research process. It is sometimes possible for the material contained within the vial of "Tie-2, Polyclonal Antibody" to become dispersed throughout the inside of the vial, particularly around the seal of said vial, during shipment and storage. We always suggest centrifuging these vials to consolidate all of the liquid away from the lid and to the bottom of the vial prior to opening. Please be advised that certain products may require dry ice for shipping and that, if this is the case, an additional dry ice fee may also be required.Precautions
All products in the AAA Biotech catalog are strictly for research-use only, and are absolutely not suitable for use in any sort of medical, therapeutic, prophylactic, in-vivo, or diagnostic capacity. By purchasing a product from AAA Biotech, you are explicitly certifying that said products will be properly tested and used in line with industry standard. AAA Biotech and its authorized distribution partners reserve the right to refuse to fulfill any order if we have any indication that a purchaser may be intending to use a product outside of our accepted criteria.Disclaimer
Though we do strive to guarantee the information represented in this datasheet, AAA Biotech cannot be held responsible for any oversights or imprecisions. AAA Biotech reserves the right to adjust any aspect of this datasheet at any time and without notice. It is the responsibility of the customer to inform AAA Biotech of any product performance issues observed or experienced within 30 days of receipt of said product. To see additional details on this or any of our other policies, please see our Terms & Conditions page.Item has been added to Shopping Cart
If you are ready to order, navigate to Shopping Cart and get ready to checkout.
