Rabbit anti-Human, Mouse TLR4 Polyclonal Antibody | anti-TLR4 antibody
TLR4 Antibody: ATTO 488
IHC (Immunohistochemistry)
(Immunohistochemistry analysis using Rabbit Anti-TLR4 Polyclonal Antibody (SPC-200). Tissue: spleen tissue. Species: Mouse. Primary Antibody: Rabbit Anti-TLR4 Polyclonal Antibody (SPC-200) at 1:100.)
IHC (Immunohistochemisry)
(Immunohistochemistry analysis using Rabbit Anti-TLR4 Polyclonal Antibody (SPC-200). Tissue: Spleen tissue. Species: Mouse. Primary Antibody: Rabbit Anti-TLR4 Polyclonal Antibody (SPC-200) at 1:100.)
WB (Western Blot)
(Western blot analysis of Human, Mouse Cell line lysates showing detection of TLR4 protein using Rabbit Anti-TLR4 Polyclonal Antibody (SPC-200). Primary Antibody: Rabbit Anti-TLR4 Polyclonal Antibody (SPC-200) at 1:1000.)
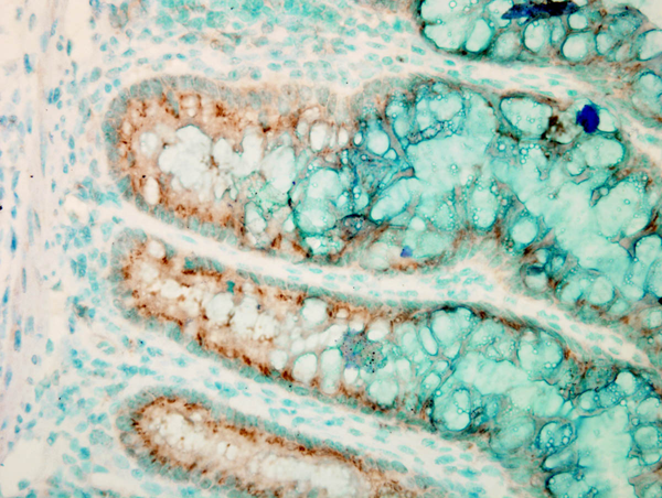
IHC (Immunohistochemistry)
(Immunohistochemistry analysis using Rabbit Anti-TLR4 Polyclonal Antibody (SPC-200). Tissue: colon colitis. Species: Mouse. Fixation: Formalin. Primary Antibody: Rabbit Anti-TLR4 Polyclonal Antibody (SPC-200) at 1:100000 for 12 hours at 4 degree C. Secondary Antibody: Biotin Goat Anti-Rabbit at 1:2000 for 1 hour at RT. Counterstain: Methyl Green at 200uL for 2 min at RT. Localization: Inflammatory cells.)
Scientific Background: The Toll-like receptor (TLR) family in mammal comprises a family of trans-membrane proteins characterized by multiple copies of leucine rich repeats in the extracellular domain and 1L-1 receptor motif in the cytoplasmic domain. Like its counterparts in Drosophila, TLRs signal through adaptor molecules (1). The TLR family is a phylo-genetically conserved mediator of innate immunity that is essential for microbial recognition (2). Ten human homologs of TLRs (TLR1-10) have been described (3). Amount this family of receptors, TLR2 and TLR4 have been most studied. These studies have suggested that TLR2 and TLR4 may serve as potential main mediators of LPS signaling (4,5). The mouse TLR4 cDNA codes for a protein consisting of 839 amino acids, with an approximate molecular weight of 90kDa (6).
NCBI and Uniprot Product Information
Customer Reviews
Loading reviews...
Share Your Experience
Similar Products
Product Notes
The TLR4 tlr4 (Catalog #AAA103588) is an Antibody produced from Rabbit and is intended for research purposes only. The product is available for immediate purchase. The TLR4 Antibody: ATTO 488 reacts with Human, Mouse and may cross-react with other species as described in the data sheet. AAA Biotech's TLR4 can be used in a range of immunoassay formats including, but not limited to, WB (Western Blot), ICC (Immunocytochemistry), IHC (Immunohistochemistry), FCM/FACS (Flow Cytometry). Researchers should empirically determine the suitability of the TLR4 tlr4 for an application not listed in the data sheet. Researchers commonly develop new applications and it is an integral, important part of the investigative research process. It is sometimes possible for the material contained within the vial of "TLR4, Polyclonal Antibody" to become dispersed throughout the inside of the vial, particularly around the seal of said vial, during shipment and storage. We always suggest centrifuging these vials to consolidate all of the liquid away from the lid and to the bottom of the vial prior to opening. Please be advised that certain products may require dry ice for shipping and that, if this is the case, an additional dry ice fee may also be required.Precautions
All products in the AAA Biotech catalog are strictly for research-use only, and are absolutely not suitable for use in any sort of medical, therapeutic, prophylactic, in-vivo, or diagnostic capacity. By purchasing a product from AAA Biotech, you are explicitly certifying that said products will be properly tested and used in line with industry standard. AAA Biotech and its authorized distribution partners reserve the right to refuse to fulfill any order if we have any indication that a purchaser may be intending to use a product outside of our accepted criteria.Disclaimer
Though we do strive to guarantee the information represented in this datasheet, AAA Biotech cannot be held responsible for any oversights or imprecisions. AAA Biotech reserves the right to adjust any aspect of this datasheet at any time and without notice. It is the responsibility of the customer to inform AAA Biotech of any product performance issues observed or experienced within 30 days of receipt of said product. To see additional details on this or any of our other policies, please see our Terms & Conditions page.Item has been added to Shopping Cart
If you are ready to order, navigate to Shopping Cart and get ready to checkout.
