Rabbit anti-Human, Mouse TMEM173 Polyclonal Antibody | anti-TMEM173 antibody
TMEM173 Rabbit Polyclonal Antibody
Gene Names
TMEM173; ERIS; MITA; MPYS; NET23; STING
Reactivity
Human, Mouse
Applications
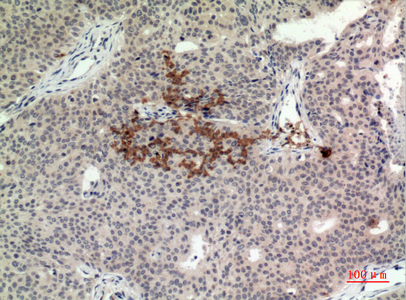
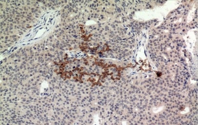
ELISA, Immunofluorescence, Immunohistochemistry, Western Blot
Purity
The antibody was affinity-purified from rabbit antiserum by affinity-chromatography using epitope-specific immunogen.
Synonyms
TMEM173, Antibody; TMEM173 Rabbit Polyclonal Antibody; TMEM173; ERIS; MITA; STING; Transmembrane protein 173; Endoplasmic reticulum interferon stimulator; Mediator of IRF3 activation; hMITA; Stimulator of interferon genes protein; hSTING; BH6842; anti-TMEM173 antibody
Host
Rabbit
Reactivity
Human, Mouse
Clonality
Polyclonal
Specificity
TMEM173 Polyclonal Antibody detects endogenous levels of TMEM173 protein.
Purity/Purification
The antibody was affinity-purified from rabbit antiserum by affinity-chromatography using epitope-specific immunogen.
Form/Format
Liquid in PBS containing 50% glycerol, 0.5% BSA and 0.02% sodium azide.
Concentration
1mg/ml (varies by lot)
Applicable Applications for anti-TMEM173 antibody
ELISA, IF (Immunofluorescence), IHC (Immunohistochemistry), WB (Western Blot)
Immunogen
Synthesized peptide derived from Transmembrane protein 173 at AA range: 301-350
Modification
Unmodified/Total
Preparation and Storage
Store at -20 degree C/1 year
Related Product Information for anti-TMEM173 antibody
This gene encodes a five transmembrane protein that functions as a major regulator of the innate immune response to viral and bacterial infections. The encoded protein is a pattern recognition receptor that detects Cytosolic nucleic acids and transmits signals that activate type I interferon responses. The encoded protein has also been shown to play a role in apoptotic signaling by associating with type II major histocompatibility complex. Mutations in this gene are the cause of infantile-onset STING-associated vasculopathy. Alternate splicing results in multiple transcript variants. [provided by RefSeq, Sep 2014]
NCBI and Uniprot Product Information
NCBI GI #
NCBI GeneID
NCBI Accession #
NCBI GenBank Nucleotide #
Molecular Weight
379
NCBI Official Full Name
stimulator of interferon genes protein
NCBI Official Synonym Full Names
transmembrane protein 173
NCBI Official Symbol
TMEM173
NCBI Official Synonym Symbols
ERIS; MITA; MPYS; NET23; STING
NCBI Protein Information
stimulator of interferon genes protein; hMITA; hSTING; mediator of IRF3 activation; endoplasmic reticulum IFN stimulator; mitochondrial mediator of IRF3 activation; endoplasmic reticulum interferon stimulator; N-terminal methionine-proline-tyrosine-serine
UniProt Protein Name
Stimulator of interferon genes protein
UniProt Gene Name
TMEM173
UniProt Synonym Gene Names
ERIS; MITA; STING; hSTING; ERIS; hMITA
UniProt Entry Name
STING_HUMAN
Customer Reviews
Loading reviews...
Share Your Experience
Similar Products
Product Notes
The TMEM173 tmem173 (Catalog #AAA318879) is an Antibody produced from Rabbit and is intended for research purposes only. The product is available for immediate purchase. The TMEM173 Rabbit Polyclonal Antibody reacts with Human, Mouse and may cross-react with other species as described in the data sheet. AAA Biotech's TMEM173 can be used in a range of immunoassay formats including, but not limited to, ELISA, IF (Immunofluorescence), IHC (Immunohistochemistry), WB (Western Blot). Researchers should empirically determine the suitability of the TMEM173 tmem173 for an application not listed in the data sheet. Researchers commonly develop new applications and it is an integral, important part of the investigative research process. It is sometimes possible for the material contained within the vial of "TMEM173, Polyclonal Antibody" to become dispersed throughout the inside of the vial, particularly around the seal of said vial, during shipment and storage. We always suggest centrifuging these vials to consolidate all of the liquid away from the lid and to the bottom of the vial prior to opening. Please be advised that certain products may require dry ice for shipping and that, if this is the case, an additional dry ice fee may also be required.Precautions
All products in the AAA Biotech catalog are strictly for research-use only, and are absolutely not suitable for use in any sort of medical, therapeutic, prophylactic, in-vivo, or diagnostic capacity. By purchasing a product from AAA Biotech, you are explicitly certifying that said products will be properly tested and used in line with industry standard. AAA Biotech and its authorized distribution partners reserve the right to refuse to fulfill any order if we have any indication that a purchaser may be intending to use a product outside of our accepted criteria.Disclaimer
Though we do strive to guarantee the information represented in this datasheet, AAA Biotech cannot be held responsible for any oversights or imprecisions. AAA Biotech reserves the right to adjust any aspect of this datasheet at any time and without notice. It is the responsibility of the customer to inform AAA Biotech of any product performance issues observed or experienced within 30 days of receipt of said product. To see additional details on this or any of our other policies, please see our Terms & Conditions page.Item has been added to Shopping Cart
If you are ready to order, navigate to Shopping Cart and get ready to checkout.
