Rabbit anti-Human, Mouse TNFSF11 Polyclonal Antibody | anti-TNFSF11 antibody
TNFSF11 Rabbit Polyclonal Antibody
Gene Names
TNFSF11; ODF; OPGL; sOdf; CD254; OPTB2; RANKL; TRANCE; hRANKL2
Reactivity
Human, Mouse
Applications
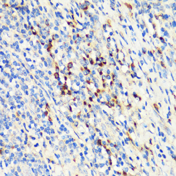
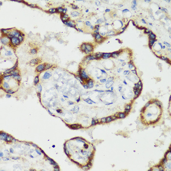
Immunofluorescence, Immunohistochemistry, Western Blot
Purity
Affinity purification
Synonyms
TNFSF11, Antibody; TNFSF11 Rabbit Polyclonal Antibody; TNFSF11; CD254; ODF; OPGL; OPTB2; RANKL; TNLG6B; TRANCE; hRANKL2; sOdf; anti-TNFSF11 antibody
Host
Rabbit
Reactivity
Human, Mouse
Clonality
Polyclonal
Isotype
IgG
Purity/Purification
Affinity purification
Form/Format
Buffer: PBS with 0.02% sodium azide, 50% glycerol, pH7.3.
Applicable Applications for anti-TNFSF11 antibody
IF (Immunofluorescence), IHC (Immunohistochemistry), WB (Western Blot)
Immunogen
Recombinant protein of human TNFSF11.
Preparation and Storage
Store at -20 degree C. Avoid freeze/thaw cycles.
Related Product Information for anti-TNFSF11 antibody
This gene encodes a member of the tumor necrosis factor (TNF) cytokine family which is a ligand for osteoprotegerin and functions as a key factor for osteoclast differentiation and activation. This protein was shown to be a dentritic cell survival factor and is involved in the regulation of T cell-dependent immune response. T cell activation was reported to induce expression of this gene and lead to an increase of osteoclastogenesis and bone loss. This protein was shown to activate antiapoptotic kinase AKT/PKB through a signaling complex involving SRC kinase and tumor necrosis factor receptor-associated factor (TRAF) 6, which indicated this protein may have a role in the regulation of cell apoptosis. Targeted disruption of the related gene in mice led to severe osteopetrosis and a lack of osteoclasts. The deficient mice exhibited defects in early differentiation of T and B lymphocytes, and failed to form lobulo-alveolar mammary structures during pregnancy. Two alternatively spliced transcript variants have been found.
Product Categories/Family for anti-TNFSF11 antibody
NCBI and Uniprot Product Information
NCBI GI #
NCBI GeneID
NCBI Accession #
NCBI GenBank Nucleotide #
Molecular Weight
35,478 Da
NCBI Official Full Name
tumor necrosis factor ligand superfamily member 11 isoform 1
NCBI Official Synonym Full Names
tumor necrosis factor (ligand) superfamily, member 11
NCBI Official Symbol
TNFSF11
NCBI Official Synonym Symbols
ODF; OPGL; sOdf; CD254; OPTB2; RANKL; TRANCE; hRANKL2
NCBI Protein Information
tumor necrosis factor ligand superfamily member 11; osteoprotegerin ligand; osteoclast differentiation factor; TNF-related activation-induced cytokine; receptor activator of nuclear factor kappa B ligand; receptor activator of nuclear factor kappa-B ligan
UniProt Protein Name
Tumor necrosis factor ligand superfamily member 11
UniProt Gene Name
TNFSF11
UniProt Synonym Gene Names
OPGL; RANKL; TRANCE; ODF; OPGL; RANKL; TRANCE
UniProt Entry Name
TNF11_HUMAN
Customer Reviews
Loading reviews...
Share Your Experience
Similar Products
TNFSF11 Antibody
Host: Rabbit
Reactivity: Human, Mouse
Apps: ELISA, Immunofluorescence, Western Blot
TNFSF11 Antibody
Host: Rabbit
Reactivity: Human, Mouse, Rat
Apps: Western Blot, Immunohistochemistry
Product Notes
The TNFSF11 tnfsf11 (Catalog #AAA313718) is an Antibody produced from Rabbit and is intended for research purposes only. The product is available for immediate purchase. The TNFSF11 Rabbit Polyclonal Antibody reacts with Human, Mouse and may cross-react with other species as described in the data sheet. AAA Biotech's TNFSF11 can be used in a range of immunoassay formats including, but not limited to, IF (Immunofluorescence), IHC (Immunohistochemistry), WB (Western Blot). Researchers should empirically determine the suitability of the TNFSF11 tnfsf11 for an application not listed in the data sheet. Researchers commonly develop new applications and it is an integral, important part of the investigative research process. It is sometimes possible for the material contained within the vial of "TNFSF11, Polyclonal Antibody" to become dispersed throughout the inside of the vial, particularly around the seal of said vial, during shipment and storage. We always suggest centrifuging these vials to consolidate all of the liquid away from the lid and to the bottom of the vial prior to opening. Please be advised that certain products may require dry ice for shipping and that, if this is the case, an additional dry ice fee may also be required.Precautions
All products in the AAA Biotech catalog are strictly for research-use only, and are absolutely not suitable for use in any sort of medical, therapeutic, prophylactic, in-vivo, or diagnostic capacity. By purchasing a product from AAA Biotech, you are explicitly certifying that said products will be properly tested and used in line with industry standard. AAA Biotech and its authorized distribution partners reserve the right to refuse to fulfill any order if we have any indication that a purchaser may be intending to use a product outside of our accepted criteria.Disclaimer
Though we do strive to guarantee the information represented in this datasheet, AAA Biotech cannot be held responsible for any oversights or imprecisions. AAA Biotech reserves the right to adjust any aspect of this datasheet at any time and without notice. It is the responsibility of the customer to inform AAA Biotech of any product performance issues observed or experienced within 30 days of receipt of said product. To see additional details on this or any of our other policies, please see our Terms & Conditions page.Item has been added to Shopping Cart
If you are ready to order, navigate to Shopping Cart and get ready to checkout.
