Rabbit anti-Human TNFSF15/TL1A/VEGI Polyclonal Antibody | anti-TNFSF15/TL1A/VEGI antibody
Anti-TNFSF15/TL1A/VEGI Antibody
Gene Names
TNFSF15; TL1; TL1A; VEGI; TNLG1B; VEGI192A
Reactivity
Human
Applications
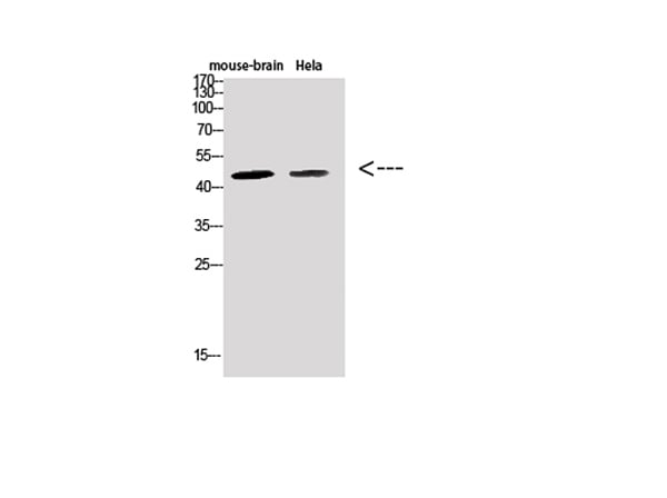
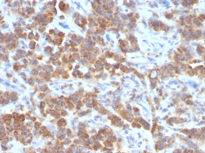
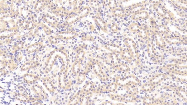
Western Blot, Immunohistochemistry, ELISA
Purity
Immunoaffinity Purified
Synonyms
TNFSF15/TL1A/VEGI, Antibody; Anti-TNFSF15/TL1A/VEGI Antibody; Mouse Monoclonal [clone L4G9] (IgG1) to Human TNFSF15/TL1A/VEGI; TNFSF15; TL1; TL1A; TNF ligand-related molecule 1; TNF superfamily ligand TL1A; VEGI192A; VEGI; anti-TNFSF15/TL1A/VEGI antibody
Host
Rabbit
Reactivity
Human
Clonality
Polyclonal
Isotype
IgG
Specificity
Human TL-1A
Purity/Purification
Immunoaffinity Purified
Form/Format
Lyophilized from PBS, pH 7.2
Sequence Length
251
Applicable Applications for anti-TNFSF15/TL1A/VEGI antibody
WB (Western Blot), IHC (Immunohistochemistry), ELISA
Immunogen
E Coli derived recombinant Human TL-1A.
Conjugation
Unconjugated
Resuspension Liquid
Sterile water
Preparation and Storage
Store Lyophilized at room temperature up to 1 month.
Reconstituted for up to two weeks at 2-8 degree C.
Aliquot and freeze at -20 degree C for long term storage.
Avoid freeze/thaw cycles.
Reconstituted for up to two weeks at 2-8 degree C.
Aliquot and freeze at -20 degree C for long term storage.
Avoid freeze/thaw cycles.
Related Product Information for anti-TNFSF15/TL1A/VEGI antibody
TNFSF15/TL1A/VEGI is a cytokine that belongs to the tumor necrosisfactor (TNF) lig and family. This protein is abundantly expressed inendothelial cells, but is not expressed in either B or T cells. the expression of this protein is inducible by TNF and IL-1 alpha. Thiscytokine is a lig and for receptor TNFRSF25 and decoy receptorTNFRSF21/DR6. It can activate NF-kappaB and MAP kinases, and acts as anautocrine factor to induce apoptosis in endothelial cells.
Product Categories/Family for anti-TNFSF15/TL1A/VEGI antibody
NCBI and Uniprot Product Information
NCBI GI #
NCBI GeneID
NCBI Accession #
NCBI GenBank Nucleotide #
Molecular Weight
20,131 Da
NCBI Official Full Name
tumor necrosis factor ligand superfamily member 15 isoform VEGI-251
NCBI Official Synonym Full Names
TNF superfamily member 15
NCBI Official Symbol
TNFSF15
NCBI Official Synonym Symbols
TL1; TL1A; VEGI; TNLG1B; VEGI192A
NCBI Protein Information
tumor necrosis factor ligand superfamily member 15
UniProt Protein Name
Tumor necrosis factor ligand superfamily member 15
UniProt Gene Name
TNFSF15
UniProt Synonym Gene Names
TL1; VEGI
Customer Reviews
Loading reviews...
Share Your Experience
Similar Products
Product Notes
The TNFSF15/TL1A/VEGI tnfsf15 (Catalog #AAA162254) is an Antibody produced from Rabbit and is intended for research purposes only. The product is available for immediate purchase. The Anti-TNFSF15/TL1A/VEGI Antibody reacts with Human and may cross-react with other species as described in the data sheet. AAA Biotech's TNFSF15/TL1A/VEGI can be used in a range of immunoassay formats including, but not limited to, WB (Western Blot), IHC (Immunohistochemistry), ELISA. Researchers should empirically determine the suitability of the TNFSF15/TL1A/VEGI tnfsf15 for an application not listed in the data sheet. Researchers commonly develop new applications and it is an integral, important part of the investigative research process. It is sometimes possible for the material contained within the vial of "TNFSF15/TL1A/VEGI, Polyclonal Antibody" to become dispersed throughout the inside of the vial, particularly around the seal of said vial, during shipment and storage. We always suggest centrifuging these vials to consolidate all of the liquid away from the lid and to the bottom of the vial prior to opening. Please be advised that certain products may require dry ice for shipping and that, if this is the case, an additional dry ice fee may also be required.Precautions
All products in the AAA Biotech catalog are strictly for research-use only, and are absolutely not suitable for use in any sort of medical, therapeutic, prophylactic, in-vivo, or diagnostic capacity. By purchasing a product from AAA Biotech, you are explicitly certifying that said products will be properly tested and used in line with industry standard. AAA Biotech and its authorized distribution partners reserve the right to refuse to fulfill any order if we have any indication that a purchaser may be intending to use a product outside of our accepted criteria.Disclaimer
Though we do strive to guarantee the information represented in this datasheet, AAA Biotech cannot be held responsible for any oversights or imprecisions. AAA Biotech reserves the right to adjust any aspect of this datasheet at any time and without notice. It is the responsibility of the customer to inform AAA Biotech of any product performance issues observed or experienced within 30 days of receipt of said product. To see additional details on this or any of our other policies, please see our Terms & Conditions page.Item has been added to Shopping Cart
If you are ready to order, navigate to Shopping Cart and get ready to checkout.
