Rabbit anti-Mouse Toll Like Receptor Adaptor Molecule 1 Polyclonal Antibody | anti-TICAM1 antibody
Polyclonal Antibody to Toll Like Receptor Adaptor Molecule 1 (TICAM1)
Gene Names
Ticam1; TRIF; TICAM-1; AW046014; AW547018
Reactivity
Mouse
Applications
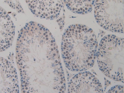
ELISA, Immunohistochemistry, Immunocytochemistry, Western Blot
Purity
Affinity Chromatography
Synonyms
Toll Like Receptor Adaptor Molecule 1, Antibody; Polyclonal Antibody to Toll Like Receptor Adaptor Molecule 1 (TICAM1); anti-TICAM1 antibody
Host
Rabbit
Reactivity
Mouse
Clonality
Polyclonal
Specificity
The antibody is a rabbit polyclonal antibody raised against TICAM1. It has beenselected for its ability to recognize TICAM1 in immunohistochemical staining andwestern blotting.
Purity/Purification
Affinity Chromatography
Form/Format
Liquid
Concentration
1mg/ml (varies by lot)
Sequence
Antigen: The target protein is fused with two N-terminal Tags, His-tag and T7-tag and its sequence is listed below.
MGSSHHHHHH SSGLVPRGSH MASMTGGQQM GRGSEF- SLGLPHEI SVPEVSPEEA SPILPDALAA PDTSVHCPIE CTELSTNSRS PLTSTTESVG KQWPITSQRS PQVPVGDDSL QNTTSSSPPA QPPSLQASPK LPPSPLSSAS SPSSYPAPPT STSPVLDHSE TSDQKFYNFV VIHARADEQV ALRIREKLET LGVPDGATFC EEFQVPGRGE LHCLQDAIDH SGFTILLLTA SFDCSLSLHQ INHALMNSLT QSGRQDCVIP LLPLECSQAQ LSPDTTRLLH SIVWLDEHSP
MGSSHHHHHH SSGLVPRGSH MASMTGGQQM GRGSEF- SLGLPHEI SVPEVSPEEA SPILPDALAA PDTSVHCPIE CTELSTNSRS PLTSTTESVG KQWPITSQRS PQVPVGDDSL QNTTSSSPPA QPPSLQASPK LPPSPLSSAS SPSSYPAPPT STSPVLDHSE TSDQKFYNFV VIHARADEQV ALRIREKLET LGVPDGATFC EEFQVPGRGE LHCLQDAIDH SGFTILLLTA SFDCSLSLHQ INHALMNSLT QSGRQDCVIP LLPLECSQAQ LSPDTTRLLH SIVWLDEHSP
Sequence Length
712
Applicable Applications for anti-TICAM1 antibody
ELISA, IHC (Immunohistochemistry), ICC (Immunocytochemistry), WB (Western Blot)
Fragment
TICAM1 (Ser263~Val526)
Organism Species
Mus musculus (Mouse)
Cross Reactivity
Mouse
Conjugate
No Conjugate
Immunogen
Recombinant TICAM1 (Ser263~Val526) expressed in E Coli.
Conjugated Antibody
The APC conjugated antibody version of this item is also available as
Preparation and Storage
Store at 4 degree C for frequent use. Stored at -20 degree C to -80 degree C in a manual defrost freezer for one year without detectable loss of activity. Avoid repeated freeze-thaw cycles.
NCBI and Uniprot Product Information
NCBI GI #
NCBI GeneID
NCBI Accession #
NCBI GenBank Nucleotide #
Molecular Weight
79,230 Da
NCBI Official Full Name
TIR domain-containing adapter molecule 1
NCBI Official Synonym Full Names
toll-like receptor adaptor molecule 1
NCBI Official Symbol
Ticam1
NCBI Official Synonym Symbols
TRIF; TICAM-1; AW046014; AW547018
NCBI Protein Information
TIR domain-containing adapter molecule 1
UniProt Protein Name
TIR domain-containing adapter molecule 1
UniProt Gene Name
Ticam1
UniProt Synonym Gene Names
Trif; TICAM-1; TIR domain-containing adapter protein inducing IFN-beta
Customer Reviews
Loading reviews...
Share Your Experience
Similar Products
Product Notes
The TICAM1 ticam1 (Catalog #AAA141791) is an Antibody produced from Rabbit and is intended for research purposes only. The product is available for immediate purchase. The Polyclonal Antibody to Toll Like Receptor Adaptor Molecule 1 (TICAM1) reacts with Mouse and may cross-react with other species as described in the data sheet. AAA Biotech's Toll Like Receptor Adaptor Molecule 1 can be used in a range of immunoassay formats including, but not limited to, ELISA, IHC (Immunohistochemistry), ICC (Immunocytochemistry), WB (Western Blot). Researchers should empirically determine the suitability of the TICAM1 ticam1 for an application not listed in the data sheet. Researchers commonly develop new applications and it is an integral, important part of the investigative research process. The amino acid sequence is listed below: Antigen: The target protein is fused with two N-terminal Tags, His-tag and T7-tag and its sequence is listed below. MGSSHHHHHH SSGLVPRGSH MASMTGGQQM GRGSEF- SLGLPHEI SVPEVSPEEA SPILPDALAA PDTSVHCPIE CTELSTNSRS PLTSTTESVG KQWPITSQRS PQVPVGDDSL QNTTSSSPPA QPPSLQASPK LPPSPLSSAS SPSSYPAPPT STSPVLDHSE TSDQKFYNFV VIHARADEQV ALRIREKLET LGVPDGATFC EEFQVPGRGE LHCLQDAIDH SGFTILLLTA SFDCSLSLHQ INHALMNSLT QSGRQDCVIP LLPLECSQAQ LSPDTTRLLH SIVWLDEHSP. It is sometimes possible for the material contained within the vial of "Toll Like Receptor Adaptor Molecule 1, Polyclonal Antibody" to become dispersed throughout the inside of the vial, particularly around the seal of said vial, during shipment and storage. We always suggest centrifuging these vials to consolidate all of the liquid away from the lid and to the bottom of the vial prior to opening. Please be advised that certain products may require dry ice for shipping and that, if this is the case, an additional dry ice fee may also be required.Precautions
All products in the AAA Biotech catalog are strictly for research-use only, and are absolutely not suitable for use in any sort of medical, therapeutic, prophylactic, in-vivo, or diagnostic capacity. By purchasing a product from AAA Biotech, you are explicitly certifying that said products will be properly tested and used in line with industry standard. AAA Biotech and its authorized distribution partners reserve the right to refuse to fulfill any order if we have any indication that a purchaser may be intending to use a product outside of our accepted criteria.Disclaimer
Though we do strive to guarantee the information represented in this datasheet, AAA Biotech cannot be held responsible for any oversights or imprecisions. AAA Biotech reserves the right to adjust any aspect of this datasheet at any time and without notice. It is the responsibility of the customer to inform AAA Biotech of any product performance issues observed or experienced within 30 days of receipt of said product. To see additional details on this or any of our other policies, please see our Terms & Conditions page.Item has been added to Shopping Cart
If you are ready to order, navigate to Shopping Cart and get ready to checkout.
