Rabbit anti-Human TOP2A Polyclonal Antibody | anti-TOP2A antibody
TOP2A Antibody
Phosphate buffered saline, pH 7.4, 150mM NaCl, 0.02% sodium azide and 50% glycerol.
IF (Immunofluorescence)
(AAA323796 staining Hela cells by IF/ICC. The sample were fixed with PFA and permeabilized in 0.1% Triton X-100, then blocked in 10% serum for 45 minutes at 25 degree C. The primary antibody was diluted at 1/200 and incubated with the sample for 1 hour at 37 degree C. An Alexa Fluor 594 conjugated goat anti-rabbit IgG (H+L) antibody, diluted at 1/600, was used as secondary antibody.)
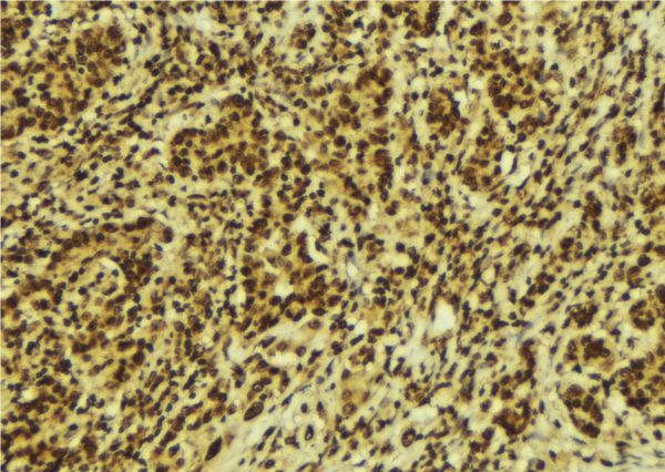
IHC (Immunohistochemistry)
(AAA323796 at 1/100 staining Human breast cancer tissue by IHC-P. The sample was formaldehyde fixed and a heat mediated antigen retrieval step in citrate buffer was performed. The sample was then blocked and incubated with the antibody for 1.5 hours at 22 degree C. An HRP conjugated goat anti-rabbit antibody was used as the secondary.)
Subunit Structure: Homodimer. Interacts with COPS5. Interacts with RECQL5; this stimulates DNA decatenation. Interacts with SETMAR; stimulates the topoisomerase activity (PubMed:18790802, PubMed:20457750). Interacts with DHX9; this interaction occurs in a E2 enzyme UBE2I-and RNA-dependent manner, negatively regulates DHX9-mediated double-stranded DNA and RNA duplex helicase activity and stimulates TOP2A-mediated supercoiled DNA relaxation activity (PubMed:12711669). Interacts with HNRNPU (via C-terminus); this interaction protects the topoisomerase TOP2A from degradation and positively regulates the relaxation of supercoiled DNA in a RNA-dependent manner (By similarity).
Post-translational Modifications: Phosphorylation has no effect on catalytic activity. However, phosphorylation at Ser-1106 by CSNK1D/CK1 promotes DNA cleavable complex formation.
Similarity: The N-terminus has several structural domains; the ATPase domain (about residues 1-265), the transducer domain (about 266-428) and the toprim domain (455-572) (PubMed:25202966). Comparing different structures shows ATP hydrolysis induces domain shifts in the N-terminus that are probably part of the mechanism of DNA cleavage and rejoining (PubMed:25202966). Belongs to the type II topoisomerase family.
NCBI and Uniprot Product Information
Predicted: 175 kDa
Customer Reviews
Loading reviews...
Share Your Experience
Similar Products
Product Notes
The TOP2A top2a (Catalog #AAA323796) is an Antibody produced from Rabbit and is intended for research purposes only. The product is available for immediate purchase. The TOP2A Antibody reacts with Human and may cross-react with other species as described in the data sheet. AAA Biotech's TOP2A can be used in a range of immunoassay formats including, but not limited to, ELISA, ICC (Immunocytochemistry), IF (Immunofluorescence), IHC (Immunohistochemistry), WB (Western Blot). Researchers should empirically determine the suitability of the TOP2A top2a for an application not listed in the data sheet. Researchers commonly develop new applications and it is an integral, important part of the investigative research process. It is sometimes possible for the material contained within the vial of "TOP2A, Polyclonal Antibody" to become dispersed throughout the inside of the vial, particularly around the seal of said vial, during shipment and storage. We always suggest centrifuging these vials to consolidate all of the liquid away from the lid and to the bottom of the vial prior to opening. Please be advised that certain products may require dry ice for shipping and that, if this is the case, an additional dry ice fee may also be required.Precautions
All products in the AAA Biotech catalog are strictly for research-use only, and are absolutely not suitable for use in any sort of medical, therapeutic, prophylactic, in-vivo, or diagnostic capacity. By purchasing a product from AAA Biotech, you are explicitly certifying that said products will be properly tested and used in line with industry standard. AAA Biotech and its authorized distribution partners reserve the right to refuse to fulfill any order if we have any indication that a purchaser may be intending to use a product outside of our accepted criteria.Disclaimer
Though we do strive to guarantee the information represented in this datasheet, AAA Biotech cannot be held responsible for any oversights or imprecisions. AAA Biotech reserves the right to adjust any aspect of this datasheet at any time and without notice. It is the responsibility of the customer to inform AAA Biotech of any product performance issues observed or experienced within 30 days of receipt of said product. To see additional details on this or any of our other policies, please see our Terms & Conditions page.Item has been added to Shopping Cart
If you are ready to order, navigate to Shopping Cart and get ready to checkout.
